"메스껍고 배 아파" 15세女 충수 떼어보니...요충이 한가득, 어쩌다?
![급성 충수염 증상을 보이던 15세 여성의 몸에서 요충이 발견된 사례가 보고됐다. [사진=Cureus]](https://img2.daumcdn.net/thumb/R658x0.q70/?fname=https://t1.daumcdn.net/news/202504/27/KorMedi/20250427200414709pugo.jpg)
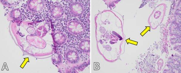
급성 충수염 증상을 보이던 15세 여성의 몸에서 요충이 발견된 사례가 보고됐다.
이 환자는 극심한 복통과 메스꺼움, 식욕 부진 등 전형적인 급성 충수염 증세를 보이며 응급실을 찾았다. 하지만 체온은 정상이었고, 혈액 검사와 영상 검사에서도 뚜렷한 염증 소견은 보이지 않았다.
골반 초음파 검사에서 작은 난소 낭종이, CT 검사에서 가벼운 변비가 확인됐지만 정확하게 충수염을 시사하는 증상은 발견되지 않았다. 이틀 동안 환자의 증상은 악화됐고, 의료진은 예방 차원에서 충수를 제거하기로 결정했다. 충수는 맹장에서 돌출된 가느다란 관 모양의 구조물이다. 흔히 말하는 '꼬리처럼 붙은' 구조로 길이는 약 5~10cm, 지름은 약 6mm 정도에 이른다.
놀랍게도 제거한 충수 속에는 요충(pinworms, enterobius vermicularis)이 가득했다. 이번 사례를 보고한 미국 베클리 애팔래치아 지역병원 의료진은 "요충에 감염된 충수는 환자의 초기 증상과 임상적 악화를 유발한 원인이었다"고 지적했다. 환자는 알벤다졸이라는 항기생충제를 처방 받았으며, 치료 후 완전히 회복됐다.
요충은 가장 흔한 장내 기생충 중 하나로, 특히 6~15세 어린이에서 자주 발견된다. 주로 입을 통해 감염되며 손이나 음식, 오염된 표면을 통해 전파된다. 체내에 들어온 요충 알은 장에서 부화해 성충으로 자라며, 항문 주위 가려움증을 유발하는 것이 대표적인 증상이다. 심각한 경우에는 신체 다른 부위에도 감염을 일으킬 수 있다.
요충에 감염된 경우, 다른 가족 구성원은 증상이 없더라도 동시에 치료를 받는 것이 바람직하다. 또한 재감염을 예방하기 위해서는 손 씻기, 속옷 및 침구 고온 세탁 등 엄격한 위생 관리가 필수다. 요충은 감염이 되더라도 면역성이 생기지 않기 때문에 다시 노출되면 재감염될 수 있다.
의료진은 "요충 감염은 어린이와 청소년에서 흔하게 나타나지만, 충수염과 유사한 증상을 보이는 경우는 비교적 드물다"며 "이러한 사례는 급성 충수염으로 보이는 증상에서 요충을 잠재적 원인으로 인식하는 것이 중요함을 보여준다. 이를 통해 불필요한 충수절제술을 피할 수 있다"고 설명했다.
이 사례는 국제학술지 《큐레우스(Cureus)》에 게재됐다.
지해미 기자 (pcraemi@kormedi.com)
Copyright © 코메디닷컴. 무단전재 및 재배포 금지.
- “어떻게 만져주는 게 좋아?”…침대서 꼭 물어보라, 본질은 기브앤테이크! - 코메디닷컴
- “1년 만에 107kg 감량”…40대男, 개찰구에 몸 끼인 후 환골탈태, 비법은? - 코메디닷컴
- 옥주현 “통통한 눈꺼풀 꺼져”…아이홀 움푹, ‘이것’ 부족해서? - 코메디닷컴
- “성관계하라, 진심으로 행복해지고 싶다면”…다만 ‘이런 식’으로 - 코메디닷컴
- 8kg 감량 정주리, ‘이 운동’ 열심…열량 소모에 좋다고? - 코메디닷컴
- "앱에서 만나 '이 성관계' 하다"...알레르기 쇼크로 사망한 男, 무슨 일? - 코메디닷컴
- 서효림 “너무 야한가요?”…옷 너머 비치는 늘씬 몸매, 비결은? - 코메디닷컴
- "이유없이 39℃까지 고열"...식사 때 삼킨 2.5cm '이것', 간에 박혔다고? - 코메디닷컴
- “가슴 보형물 덕에 ‘암’ 빨리 발견?”...샤워 중 멍울 쉽게 잡혔다는 32세女, 진짜? - 코메디닷
- 61세 남보라母 "13명 자녀 낳고도 40대 미모"...가족 모두 '동안 DNA'? - 코메디닷컴