파킨슨병 줄기세포 치료 잇따라 성공…안전·효능 확인
전체 맥락을 이해하기 위해서는 본문 보기를 권장합니다.
파킨슨병 환자 뇌에 도파민 줄기세포를 심어도 안전하다는 임상시험 결과 두 건이 동시에 나왔다.
미국 비비안 타바르 메모리얼 슬론 케터링 암 센터 박사 연구진은 "인간 배아(胚芽)줄기세포에서 만든 도파민 신경전구세포를 파킨슨병 환자에게 투여해 안전성을 확인했다"고 17일(현지 시각) 국제 학술지 네이처에 밝혔다.
연구진은 배아줄기세포를 도파민 신경전구세포로 분화시킨 뒤 냉동 보관했다가 파킨슨병 환자 12명의 뇌에 이식했다.
이 글자크기로 변경됩니다.
(예시) 가장 빠른 뉴스가 있고 다양한 정보, 쌍방향 소통이 숨쉬는 다음뉴스를 만나보세요. 다음뉴스는 국내외 주요이슈와 실시간 속보, 문화생활 및 다양한 분야의 뉴스를 입체적으로 전달하고 있습니다.


파킨슨병 환자 뇌에 도파민 줄기세포를 심어도 안전하다는 임상시험 결과 두 건이 동시에 나왔다. 파킨슨병은 뇌 흑질(黑質)에서 도파민을 분비하는 신경세포가 망가져 운동 기능을 잃고 온몸이 떨리는 퇴행성 질환이다. 심하면 인지 기능도 떨어진다.
세계 파킨슨병 환자는 1000만명이 넘는 것으로 추산된다. 파킨슨병에 걸리면 약물, 전기 자극 치료를 하지만 근본적인 치료가 어렵기 때문에 줄기세포를 뇌에 이식해 신경세포를 복원하는 연구가 활발하다. 이번 임상시험으로 파킨슨병 환자들이 건강을 회복할 수 있을지 기대감이 높아진다.
◇배아줄기세포로 환자 근육 살아났다
미국 비비안 타바르 메모리얼 슬론 케터링 암 센터 박사 연구진은 “인간 배아(胚芽)줄기세포에서 만든 도파민 신경전구세포를 파킨슨병 환자에게 투여해 안전성을 확인했다”고 17일(현지 시각) 국제 학술지 네이처에 밝혔다. 배아줄기세포는 정자, 난자가 만나 생긴 수정란에서 인체 220여 개 세포로 자라는 원시(原始) 세포다.
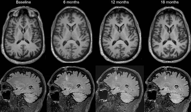
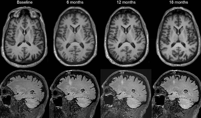
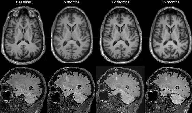
배아줄기세포 치료의 비밀을 푸는 열쇠는 ‘동결 보존’에 있었다. 연구진은 배아줄기세포를 도파민 신경전구세포로 분화시킨 뒤 냉동 보관했다가 파킨슨병 환자 12명의 뇌에 이식했다. 뇌에 구멍을 뚫어 특정 부위에 세포를 넣었다. 환자는 투여한 세포에 따라 저용량(5명), 고용량(7명) 그룹으로 나눴다.

이식한 세포는 뇌에서 도파민을 만드는 신경세포가 됐다. 연구진이 환자들을 18개월 추적 관찰한 결과 별다른 부작용은 발견되지 않았다. 배아줄기세포는 분화(分化) 능력이 뛰어나 자칫하면 종양이 될 수 있다. 다행히 그런 문제는 없었다고 연구진은 밝혔다.
줄기세포 이식 시술은 파킨슨병 증상도 줄였다. 연구진은 환자들을 대상으로 근육 경직, 떨림, 운동 속도 저하같은 파킨슨병 증상을 평가했다. 그 결과 저용량·고용량 그룹 모두 파킨슨병 증상이 호전됐다. 특히 고용량 그룹은 파킨슨병 증상이 50% 감소한 것으로 나타났다. 줄기세포를 많이 이식할수록 치료 효과가 좋다는 것을 의미한다.
◇유도만능 줄기세포, 파킨슨병 환자 희망될까
이날 일본 도쿄대 다카하시 료스케·다카하시 준 교수 연구진도 “유도만능줄기세포(iPS세포)로 도파민 신경전구세포를 만들어 파킨슨병 환자에게 투여해 안전성과 효과를 확인했다”고 네이처에 밝혔다.
유도만능줄기세포는 다 자란 세포에 특정 유전자를 넣어 배아줄기세포 상태로 만든 것이다. 정자·난자가 만난 수정란을 사용하는 것이 아니기 때문에 윤리 문제에서 자유롭다.
연구진은 유도만능줄기세포로 만든 도파민 신경전구세포를 환자 7명(저용량 3명·고용량 4명)의 뇌에 이식했다. 환자 7명을 추적한 결과 안전성에 문제가 없었다고 한다. 연구진은 “이식 세포가 과도하게 자라 종양이 되는 부작용이 나타나지 않았다”고 했다.

연구진은 또 환자 중 6명(저용량 2명·고용량 4명)을 대상으로 파킨슨병 치료 효과를 검사했다. 연구진은 “저용량·고용량 그룹 모두 뇌에서 도파민이 증가했다”면서 “특히 고용량 그룹에서 도파민이 많이 생성됐다”고 했다. 다만 두 연구진은 모두 “연구 기간이 짧았기 때문에 장기적인 연구가 필요하다”고 했다.
히데유키 오카노 일본 게이오대 의대 교수는 이날 네이처에 같이 실린 논평 논문에서 “두 임상시험 모두 안전성을 보였고 잠재적 효능을 보였다”며 “파킨슨병을 세포로 치료하는 방법이 보다 넓은 영역으로 나아가는 중요한 단계”라고 밝혔다.
다만 임상시험에서 연구진과 환자 모두 어떤 치료를 받는지 알고 있었다는 점은 한계라고 지적했다. 임상시험은 다수 환자를 대상으로 진짜 약과 가짜 약 투여군을 무작위로 정하고 진행해야 결과를 인정받을 수 있다.
참고 자료
Nature(2025), DOI:
https://doi.org/10.1038/s41586-025-08845-y
Nature(2025), DOI: https://doi.org/10.1038/s41586-025-08700-0
Nature(2025), DOI: https://doi.org/10.1038/d41586-025-00688-x
- Copyright ⓒ 조선비즈 & Chosun.com -
Copyright © 조선비즈. 무단전재 및 재배포 금지.
- [줌인] 재벌은 아닌데 억만장자만큼 쓴다… 美 경제 바꾸는 ‘숨은 부자들’
- 곽노정 SK하이닉스 대표이사, 새로움과 빠른 실행력 갖춘 현장 전문가 [인상경영]
- 예술의전당·세브란스 시계탑 왜 같나… ‘공직 재산 1위’ 이세웅 이북5도위원장 기부
- 중동 전쟁 4주차 ‘유조선 품귀 연쇄반응’… 수에즈막스급 확보전에 훈풍 탄 韓 조선사는
- 현기증 나는 증시에 ‘갈 곳 잃은 돈’ 속출…MMF·CMA에 뭉칫돈
- [정책 인사이트] 李 “팔자 고칠 만큼 주라”는 신고 포상금, 별도 기금으로 재원 만들기 들어간
- 李대통령 “5급 이상 공직자, 손해 감수하며 다주택 유지하겠다면 자유”
- [비즈톡톡] 구글 ‘메모리 절감 기술’에 흔들린 반도체株… “수요 꺾임 아닌 확대 신호”
- “AI 시대엔 변호사보다 배관공… 손기술 천대하던 시대 끝났다"
- 페르시아만에 갇힌 韓 선박 26척… 이란 기류 완화에도 “통과는 부담”