침묵 속에 자라나는 신장암…유일한 생존 열쇠는 초음파
초기엔 수술로 완치, 전이 땐 표적·면역치료 병행해야
(시사저널=노진섭 의학전문기자)
혈뇨, 옆구리 혹, 옆구리 통증은 신장암의 3대 증상이다. 이런 증상이 나타나면 이미 신장암이 많이 진행한 상태다. 이런 증상이 없는 초기에 신장암을 발견하면 5년 생존율은 95%로 높다. 신장암을 조기에 발견할 방법으론 정기적인 복부 초음파 검사가 유일하다. 치료는 비뇨의학과 의사 중 신장암 전문의에게 받는 것이 유리하다.
콩팥에 생기는 악성종양인 신장암은 아주 흔하지는 않지만 치료할 때 고려할 변수가 많은 암이다. 정창욱 서울대병원 비뇨의학과 교수는 "신장암은 남성 암 중 10위권에 들고, 서울대병원에서만 1년에 400~500건 수술할 정도다. 드물지 않은 암이다. 신장암은 '여러 얼굴을 가진 암'이라고 할 수 있다. 종류가 많고 위험도도 다양해 진단과 치료에 고려해야 할 것이 많다"고 소개했다.

대부분 복부 초음파로 우연히 발견
또 암 전문의들 사이에서 '소리 없이 다가와 생명을 앗아가는 암'으로도 통한다. 초기 증상이 없어 늦게 발견하는 경우가 있는데, 신장암 3기 이후의 5년 생존율은 50% 이하다. 따라서 치료 과정에서 다양한 변수를 고려해 가장 적합한 치료법을 제시할 수 있는 신장암 전문의에게 암 치료를 맡기는 것이 이롭다. 예전에는 한 비뇨의학과 의사가 전립선암, 방광암, 신장암 모두를 담당했으나 지금은 의사마다 전문 분야가 따로 있다.
일반적으로 신장암이라고 하면 신세포암을 의미한다. 신장 신질실(겉표면)에 발생하는 신세포암이 전체 신장암의 90% 이상을 차지한다. 나머지 신장암에는 신우(소변의 이동 통로)에 발생하는 신우암 등이 포함된다. 신장암은 한 해 국내에서 5000~6000건 발생하고 남성 환자가 여성 환자보다 약 2배 많다.
대부분은 암을 조기에 발견했다. 증상도 없는 신장암을 일찍 발견할 수 있는 이유는 정기적인 건강검진을 통해 복부 초음파 검사를 받은 덕분이다. 다른 소화기계 검사 도중에 우연히 신장암을 발견하는 경우도 많다. 아무런 증상이 없을 때 발견한 신장암은 대부분 초기이고 크기도 작아 치료로 완치될 가능성이 크다. 정진수 국립암센터 비뇨의학과 교수는 "소화 장애 등으로 복부 초음파 검사를 하다가 우연히 신장암을 발견하는 비율이 70~80%나 된다. 다른 나라와 달리 우리나라는 40대부터 암 검진을 받아 일찍 암을 발견한다. 따라서 정기적인 건강검진을 통한 복부 초음파 검사가 신장암을 조기에 발견하는 방법"이라고 강조했다.
신장암이 많이 진행되면 증상이 나타난다. 신장암의 3대 증상 중 가장 흔한 것은 소변에서 피가 섞여 나오는 혈뇨다. 암이 혈관을 침범하거나 소변이 배출되는 경로에 영향을 미쳐 출혈이 발생한다. 혈뇨 초기에는 눈으로 확인하기 어려운 미세 혈뇨 증상을 보이지만 시간이 지날수록 출혈량이 늘어나면서 소변 색이 붉거나 갈색으로 보인다. 두 번째는 옆구리 혹이다. 종양이 커져 주변 조직을 압박하거나 신장 바깥으로 돌출된 경우다. 처음에는 통증 없이 덩어리만 만져지지만 시간이 지날수록 커지는 옆구리 통증이 세 번째 증상이다. 암이 신장이나 주변 조직을 침범하면서 옆구리 통증은 점점 심해지며, 암 위치에 따라 배꼽 부위나 등 쪽으로 확산하기도 한다.

조기암은 수술로 완치까지 기대
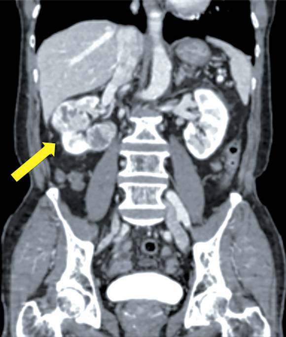
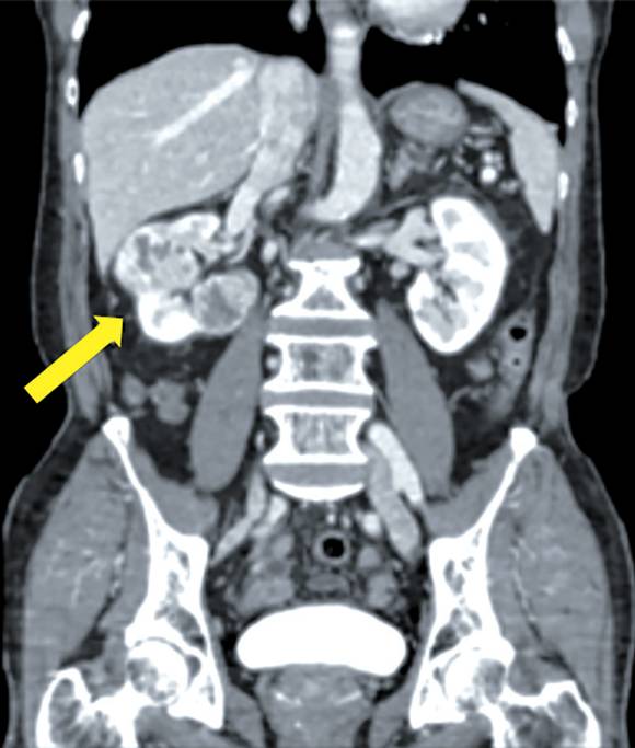
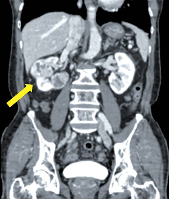
이런 증상은 비뇨기질환(요로 감염, 요로 결석 등)과 비뇨기암(방광암, 전립선암 등)으로도 발생할 수 있다. 따라서 이들 증상만으로 신장암을 진단하지 않는다. 신장암이 의심되는 경우에는 영상 진단을 통해 암 여부를 확인한다. 위험이나 고통이 적고 복부 내 여러 장기를 함께 관찰할 수 있는 영상 진단은 복부 초음파 검사다. 이 검사로 단순 낭종(물혹)인지 고형종물(덩어리)인지를 감별할 수 있다.
복부 초음파 검사에서 단순한 물혹이 아닌 고형종물이 발견되면 CT(전산화단층촬영) 검사를 진행해 악성종양 여부와 병기(병의 진행 정도)를 판단하고 치료 방침을 결정한다. CT 검사로 간, 대장, 췌장 등 주변 장기로 암이 침범 또는 전이됐는지 여부도 알 수 있다. 최근 개발된 인공지능을 결합한 CT는 기존보다 더 높은 정확도를 보인다. 정창욱 교수는 "신장암이 잘 전이되는 부위가 폐와 뼈다. 그래서 신장암을 발견한 후에는 폐와 뼈 전이 여부도 확인한다. 악성종양인지 양성종양인지 애매할 때는 MRI(자기공명영상) 검사를 진행한다"고 설명했다.
신장암 치료는 크게 두 가지 방식으로 발전하고 있다. 전이가 없는 조기암은 대부분 수술로 치료해 완치까지 기대할 수 있다. 예전에는 아예 암이 발생한 신장을 적출했다. 신장은 두 개이므로 하나를 떼어내도 큰 문제가 되지 않을 것으로 판단한 것이다. 그러나 신장 하나를 제거한 후 심혈관질환 위험이 커져 생존율이 떨어진다는 연구 결과가 나온 후부터는 되도록 신장을 보존하는 방향으로 수술을 진행한다. 암의 크기가 작고 위치가 양호한 경우는 암과 신장 일부만 제거하는 부분 절제술이 효과적이다.
과거에는 개복 수술이 일반적이었지만 지금은 의료 기술의 발전으로 복강경이나 로봇을 활용한 수술을 진행한다. 개복 수술만큼의 치료 효과를 보이면서도 환자가 느끼는 통증이 적고 회복 기간도 단축된다는 장점이 있다. 물론 10cm 이상으로 큰 암은 개복 수술로 제거한다. 정창욱 교수는 "복강경과 로봇을 이용한 부분 절제술 효과가 매우 좋다. 특히 우리나라의 복강경과 로봇 수술을 이용한 신장암 치료 성적은 의료 선진국보다 우수하다"고 말했다.
고령자나 내과 질환으로 수술이 힘든 환자는 고주파 치료나 냉동치료를 받을 수 있다. 고주파 치료는 고주파 전류를 발생시키는 전극 바늘을 종양 내부에 삽입해 고열로 종양 세포를 괴사시키는 방법이고, 냉동치료는 액체 질소 같은 차가운 가스를 종양 부위에 전달해 종양을 영하 40도까지 얼려 파괴하는 방식이다.
다른 장기로 전이된 신장암은 수술로 치료하기가 쉽지 않다. 방사선 치료나 항암요법도 통하지 않는다. 첫 진단 시 신장암이 다른 장기로 전이된 상태로 발견되는 경우는 10~30%다. 정진수 교수는 "고강도 방사선 치료 효과에 대한 임상시험이 진행 중이다. 초기 단계지만, 원발성 병변(다른 원인 없이 발생한 종양)에 방사선 치료가 효과를 보인다는 보고가 있다. 그러나 방사선량이 강하므로 그만큼 부작용도 많다"고 설명했다.
전이성 신장암의 일차 치료는 표적치료나 면역치료다. 표적치료란 암의 성장과 진행에 관여하는 신생혈관 형성이나 세포 증식 등 특정 부분을 억제해 암의 성장을 방해하는 방법이다. 면역치료는 면역 체계를 자극해 암세포를 공격하거나 암이 면역을 회피하지 못하도록 하는 방식이다. 최근에는 표적치료와 면역치료를 병행하는 치료법도 시행되고 있다. 정진수 교수는 "표적치료제와 면역억제제를 조합해 사용할 때 더 효과적으로, 즉 시너지 효과가 난다는 연구 결과가 보고된 바 있다"고 설명했다.
신장암의 재발률은 20~50%이고, 수술 후 1~2년 사이에 주로 발생한다. 수술 후 10~15년 이상 지나 재발한 사례도 있다. 아직 초기 단계지만 재발을 예방하는 개인 맞춤형 암 백신을 개발하는 연구가 있다. 미국 다나-파버 암연구소가 개발한 암 백신을 투여한 신장암 환자 9명을 3년 이상 관찰한 결과, 한 명도 암이 재발하지 않았다는 보고가 있다. 면역세포가 암세포를 공격하는 반응까지 관찰된 환자는 7명에 달했다.

체중 조절 같은 건강 상식이 예방법
신장암은 원인이 명확하지 않아 뾰족한 예방법도 없다. 그렇지만 신장암 발생률을 높이는 위험 요인을 피하는 생활습관은 예방에 큰 도움이 된다. 가장 유력한 위험 요인은 흡연으로, 신장암 발병의 약 30%는 흡연과 관련이 있다. 특히 흡연량과 흡연 기간에 비례해 위험도가 높아지며 금연하면 그 위험도가 점진적으로 낮아진다. 따라서 금연은 전반적인 암 위험을 줄이는 가장 효과적인 방법의 하나로 권고된다.
신장암 발병의 약 20%는 비만과 관련이 있다. 여러 연구를 통해 비만 정도가 심할수록 신장암 위험도가 더 높아지는 것으로 확인됐고, 특히 남성보다 여성에게 그 위험도가 더 높다. 따라서 신장암 위험을 감소시키기 위해 꾸준한 체중 관리가 필요하다.
고혈압과 당뇨병도 신장암 위험인자로 인정됐다. 의학계는 고혈압으로 인한 신장 손상과 염증 등이 신장암 발생과 연관이 있는 것으로 추정한다. 적절한 약물치료와 생활습관 개선을 통해 고혈압과 당뇨병을 효과적으로 관리할 필요가 있다.
신장암은 식습관과 관련성이 매우 높은 암종은 아니지만, 여러 역학연구에서 과다한 동물성 지방 섭취, 튀기거나 심하게 구운 육류 섭취, 고칼로리 음식 섭취 등이 신장암 발생과 관련이 있는 것으로 보고됐다. 반대로 과일과 채소류 섭취, 저칼로리 식이는 신장암 발생의 위험도를 낮추는 것으로 나타났다. 그 외에 중금속, 유기용매, 가죽 등 특정 물질을 다루는 직업군과 가족력이 있는 사람에게 신장암 발병 위험이 크다는 연구 결과가 있다. 특히 신장암 가족력이 있으면 그 위험도는 4~5배 증가한다.
이런 위험 요인을 피하는 생활습관은 신장암 발생 위험을 낮출 수 있다. 아울러 정기적인 건강검진을 통한 복부 초음파 검사로 신장암을 조기에 발견해 치료하면 완치 가능성이 매우 높다. 신장암 5년 생존율은 1기에 95%, 2기에도 80% 이상이다. 정창욱 교수 "신장암 재발을 방지하기 위해서는 금연이 필수적이다. 수술받은 환자 중 금연하지 않으면 재발할 가능성이 매우 크다. 체중 조절과 고칼로리 음식 제한 등 일반 건강 상식이 신장암 예방에 도움이 된다. 특정 건강보조식품 섭취보다 건강한 식단을 유지하고, 정기적으로 건강검진을 받는 것이 중요하다"고 강조했다.
Copyright © 시사저널. 무단전재 및 재배포 금지.