‘일회용 전담’ 즐기다 ‘팝콘 폐’ 갖게 된 17세 소녀 “회복 불가능”
전체 맥락을 이해하기 위해서는 본문 보기를 권장합니다.
수년간 일회용 전자담배를 사용해온 미국의 한 10대 소녀가 이른바 '팝콘 폐'로 알려진 폐쇄성 세기관지염 진단을 받았다.
9일(현지시간) 영국 일간 메트로에 따르면 미국 네바다주 출신의 브리앤 컬런은 코로나바이러스 봉쇄 이후 학교로 복귀하면서 불안감을 해소하기 위해 베이핑을 시작했다.
브리앤은 당황해서 엄마에게 전화를 걸었고, 병원으로 이송된 후 '팝콘 폐' 진단을 받았다.
이 글자크기로 변경됩니다.
(예시) 가장 빠른 뉴스가 있고 다양한 정보, 쌍방향 소통이 숨쉬는 다음뉴스를 만나보세요. 다음뉴스는 국내외 주요이슈와 실시간 속보, 문화생활 및 다양한 분야의 뉴스를 입체적으로 전달하고 있습니다.
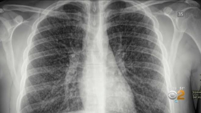
![팝콘 폐(popcorn lung). [CBS]](https://img4.daumcdn.net/thumb/R658x0.q70/?fname=https://t1.daumcdn.net/news/202504/10/ned/20250410143658611pthx.jpg)
[헤럴드경제=김보영 기자] 수년간 일회용 전자담배를 사용해온 미국의 한 10대 소녀가 이른바 ‘팝콘 폐’로 알려진 폐쇄성 세기관지염 진단을 받았다.
9일(현지시간) 영국 일간 메트로에 따르면 미국 네바다주 출신의 브리앤 컬런은 코로나바이러스 봉쇄 이후 학교로 복귀하면서 불안감을 해소하기 위해 베이핑을 시작했다. 당시 그의 나이는 겨우 14세였다.
이후 3년간 매일 전자담배를 사용하던 그는 4개월 전 치어리딩 연습 도중 호흡곤란을 느끼기 시작했다. 브리앤은 당황해서 엄마에게 전화를 걸었고, 병원으로 이송된 후 ‘팝콘 폐’ 진단을 받았다.
‘팝콘 폐’는 폐의 세기관지가 염증으로 상처가 생기고 위축되면서 산소의 흐름이 줄어드는 치명적인 폐질환이다. 전자담배의 합성 향료 성분인 디아세틸을 장기간 흡입하면 발생할 수 있는 것으로 알려져 있다. 현재까지 폐 이식 외에는 별다른 치료법이 없다.
![베이핑 습관으로 인해 ‘팝콘 폐’ 진단을 받은 브리앤(17) [케네디 뉴스 & 미디어]](https://img4.daumcdn.net/thumb/R658x0.q70/?fname=https://t1.daumcdn.net/news/202504/10/ned/20250410143659086ogcc.jpg)
엄마 크리스티 마틴은 브리앤이 갑자기 전화를 걸어서 “계속 숨을 쉴 수 없다고 말했다. 정말 무서웠다”고 말했다.
크리스티는 “의사는 팝콘 폐가 영구적인 질병이고, 아이들이 그것 때문에 죽어가고 있다고 했다”며 “일반적인 흡연은 시간이 지나면 폐가 어느 정도 회복될 수 있지만, 팝콘 폐는 회복이 불가능하다고 들었다”고 말했다.
브리앤은 흡입기를 사용하면서 베이핑 습관을 끊었지만, 적용 가능한 치료 방법은 거의 없는 상황이다.
크리스티는 “현재 딸의 폐 상태는 알 수 없다”며 “장기적인 영향이 있을지도 아직 예측할 수 없다”고 말했다.
그는 딸의 사례가 다른 청소년들이 베이핑을 시작하는 것을 막고, 부모들의 인식을 높이는 데 도움이 되길 바라고 있다.
크리스티는 “딸의 방에 늘 들어갔지만 베이핑하는 모습을 한 번도 보지 못했다”며 “치명적인 진단을 받고 나서야 베이핑을 멈출 수 있었다”라고 말했다.
그는 “제조업체들은 전자담배가 건강에 해롭지 않다고 하지만 이제 우리는 진실을 알고 있다”며 “아이들은 여전히 가게에 직접 들어가서 손쉽게 전자담배를 살 수 있다. 돈벌이에 이용당하고 있다”고 덧붙였다.
Copyright © 헤럴드경제. 무단전재 및 재배포 금지.
- “지드래곤 보러 왔는데” 뜻밖의 광경에 ‘난리’…재미·감동 다 잡았다
- 전한길 “26년간 강의했는데, 그만둬야 하나 생각…주변 연락 끊기고 운명 완전히 바뀌어”
- “MBC가 뭐했나”…‘故오요안나 사망’ 국회가 직접 묻는다
- 유연석 세금추징 70억→30억대 낮아진 이유는
- “재범 가능성 높아”…‘집단 마약’ BJ, 결국 1심서 실형
- [단독] ‘성인방송 벗방’ 7급 공무원 해임…불복 소송도 졌다 [세상&]
- 박나래 자택 도둑 ‘지인 의혹’…기안84 “주변에 사기꾼 많아”
- 초등생 딸 친구 성추행하고 나체사진까지 찍은 ‘몹쓸 아빠’
- 생리대 재탕에 뿔난 엑소 출신 타오 “생리대 공장 설립해 24시간 생중계”
- “남초딩들 혐오, 아들 생기면 낙태”…초등교사 ‘SNS 막말’ 충격