30분 만에 햄버거 3㎏ 먹어치운 30대…파열 직전의 위 모습 ‘경악’
전체 맥락을 이해하기 위해서는 본문 보기를 권장합니다.
음식 빨리 먹기 대회에 참가한 30대 남성이 30분 만에 3㎏의 햄버거를 먹어치운 뒤 복통을 호소하다 응급실에 실려간 사례가 국제 유명 의학저널에 보고됐다.
11일 데일리메일은 국제 학술지 '위장병학'을 인용해 싱가포르의 한 30세 남성이 최근 햄버거를 빨리 먹는 대회에 참가했다가 벌어진 일을 보도했다.
병원 검사 결과 남성의 위와 십이지장은 섭취한 음식물로 인해 거대하게 늘어나 있었고, 소화되지 않은 음식물이 주변의 장기를 압박하고 있었다.
이 글자크기로 변경됩니다.
(예시) 가장 빠른 뉴스가 있고 다양한 정보, 쌍방향 소통이 숨쉬는 다음뉴스를 만나보세요. 다음뉴스는 국내외 주요이슈와 실시간 속보, 문화생활 및 다양한 분야의 뉴스를 입체적으로 전달하고 있습니다.
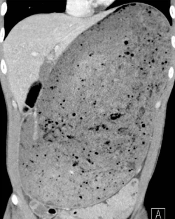
![싱가포르의 한 남성이 음식 먹기 대회에서 햄버거를 30분 만에 3㎏을 먹어치운 뒤 응급실에 실려갔다. [위장병학 저널 ‘Gastroenterology’ 갈무리]](https://img4.daumcdn.net/thumb/R658x0.q70/?fname=https://t1.daumcdn.net/news/202503/11/ned/20250311123048018rfci.jpg)
[헤럴드경제=나은정 기자] 음식 빨리 먹기 대회에 참가한 30대 남성이 30분 만에 3㎏의 햄버거를 먹어치운 뒤 복통을 호소하다 응급실에 실려간 사례가 국제 유명 의학저널에 보고됐다.
11일 데일리메일은 국제 학술지 ‘위장병학’을 인용해 싱가포르의 한 30세 남성이 최근 햄버거를 빨리 먹는 대회에 참가했다가 벌어진 일을 보도했다.
매체에 따르면 남성은 이 대회에서 3kg에 달하는 햄버거를 30분 만에 먹어 치운 뒤 배가 부풀어 오르기 시작했고, 결국 구토와 함께 복통을 호소하며 응급에 실려갔다.
병원 검사 결과 남성의 위와 십이지장은 섭취한 음식물로 인해 거대하게 늘어나 있었고, 소화되지 않은 음식물이 주변의 장기를 압박하고 있었다. 혈액 속 총 백혈구 수와 혈청 크레아티닌, 혈청 아밀라제 수치도 심각하게 높아졌 있었다.
싱가포르 국립대 응텡펑 종합병원 의료진은 “이렇게 위가 너무 많이 늘어나면 혈류가 차단돼 파열을 유발할 수 있다”며 “소화되지 않은 음식물이 복부로 누출돼 감염이나 장기 부전의 위험까지 일으킬 수 있다”고 경고했다. 실제 남성의 복부 CT 사진에는 배꼽 바로 위부터 어깨 부근까지 위가 음식물로 거대하게 팽창해 있는 모습이 고스란히 담겼다.
남성은 입원 후 팽창된 위의 압력을 낮추기 위해 비위관(콧줄)을 통해 위 세척을 받았으나 증상이 나아지지 않았다고 한다. 결국 의료진이 위장 속 소화되지 않은 음식물을 제거하기 위해 수술까지 고려했으나, 남성이 극적으로 가스를 배출하기 시작하면서 5일 후 퇴원할 수 있었다.
한편 지난해 7월에는 중국의 유명 먹방 스타가 매일 10시간 이상 10kg 이상 음식을 먹는 도전에 나섰다가 사망한 바 있다. 같은 달 필리핀에서도 유명 유튜버가 먹방 영상을 올린 뒤 다음날 심장마비로 사망하기도 했다. 2019년에는 일본의 먹방 유튜버가 주먹밥을 한입에 먹는 방송을 하던 중 기절한 뒤 결국 숨졌다.
의학계에서는 과도한 음식 섭취가 위장의 부담을 증가시켜 소화불량, 속쓰림, 복통 등을 유발하며, 특히 기름지거나 염분이 높은 음식을 과하게 섭취 시 급격히 혈압이 상승해 고혈압 환자나 심혈관 질환의 위험이 있는 사람에게는 매우 위험한 상황을 초래할 수 있다고 경고한다. 또 과식은 비만이나 고혈압, 당뇨병 등 만성질환으로 이어질 수 있어 평소 식습관에 주의를 기울여야 한다고 당부하고 있다.
Copyright © 헤럴드경제. 무단전재 및 재배포 금지.
- 가수 휘성 숨진 채 발견…4일 전 마지막 SNS 글 보니
- “김새론, 김수현과 15살 때부터 6년 열애” 의혹 제기…김수현 측 “법적 대응”
- 유재석, 200억 논현동 땅에 건물 짓는다
- “원숭이에 먹이 던지듯 행동 말라”…휘성, 생전 악플에 ‘몸서리’
- 헨리 “1년간 미국서 노예처럼 살았다”…무슨 일?
- 백종원 된장에 중국산 원료…이번엔 농지법 위반 논란
- 덱스 “3억 전세사기 피해…지하 보일러실서 생활”
- 박보검·아이유,‘가요무대’서 70년대 교복 입고 듀엣 무대
- 연예인 수입 이 정도?…강병규“한때 통장에 찍한 최고 액수 300억”
- 이승환, 尹 입장문에 “내란의 추억은 기억제거장치로…자매품 레드썬”