2월 셋째주 스타트업 투자유치…100억 이상 '뭉칫돈' 몰린 곳은
[스타트업에 대한 보다 다양한 기업정보는 유니콘팩토리 빅데이터 플랫폼 '데이터랩'에서 볼 수 있습니다.]

2월 셋째주(17~21일) 투자유치에 성공한 스타트업은 웨어러블에이아이, 코넥티브, 라이드, 펫팜, 퍼플AI, 앳홈, 힐링페이퍼, 휴밀 등 총 8곳이다. 전주(15곳)와 비교해 숫자는 적지만 강남언니(428억원), 엣홈(180억원), 코넥티브(140억원) 등 100억원 이상 굵직한 투자가 이어졌다. 투자유치 총액(비공개 제외)는 848억원이다. 투자 단계는 시리즈A가 네곳(프리 포함)으로 가장 많았고 시리즈C, 시리즈B, 시드가 한곳 씩으로 나타났다.

지난해 1월 설립된 웨어러블에이아이는 자기 지도 학습(Self-supervised Learning)을 활용해 실시간 도로 환경을 스스로 인식하고, 환경 변화도 스스로 학습·최적화하는 AI 기반의 자율주행 솔루션을 개발 중이다.
데이터를 클라우드가 아닌 디바이스에서 직접 처리하고, 고객 수요에 맞춰 주행 지역과 경로를 유연하게 변경할 수 있어 고정밀 지도와 같은 인프라의 도움 없이도 즉시 주행 가능한 플러그 앤 플레이(Plug-and-Play) 방식인 점이 특징이다.
웨어러블에이아이는 국내 1세대 자율주행 스타트업 '토르드라이브'의 공동 창업진이 다시 창업한 팀이다. 자율주행 풀스택 기술을 갖추고 있고 한국과 미국에서 기술 상용화와 현장 적용 경험을 두루 축적한 멤버들이다.
이 경험을 토대로 웨어러블에이아이는 창업 4개월 만에 hy모빌리티, 에이텍모빌리티와 컨소시엄을 구축해 인천국제공항 제2여객터미널 출국장 대상의 자율주행 운송차량(AM) 도입 사업을 수주했다.
현재 인천국제공항에서 승객 운송을 위한 실내 자율주행 차량 10대를 테스트 주행 중이며, 올해 상반기 내 정식 현장 운영을 시작한다. 웨어러블에이아이는 향후 대형 쇼핑몰, 리조트, 골프장, 캠퍼스, 산업시설 등의 실내외 자율주행으로 확장할 계획이다.

이번 투자에는 기존 투자사인 DSC인베스트먼트, 슈미트, 스톤브릿지벤처스, 리벤처스와 함께 BSK인베스트먼트, TS인베스트먼트, IMM인베스트먼트, JB인베스트먼트, 빅무브벤처스가 신규 투자사로 참여했다.
노두현 서울대병원 정형외과 교수가 창업한 코넥티브는 AI(인공지능) 기반 근골격계 의료 소프트웨어 및 수술용 로봇을 개발하고 있다. 올해 의료영상(X-ray) 판독 소프트웨어 코네보 코아(CONNEVO KOA), ALI, 스위트(Suite) 등을 출시해 환자 맞춤형 치료 계획을 지원하고 정형외과 의사에게 정밀한 분석 도구를 제공할 방침이다. 차세대 인공관절 수술 로봇도 2027년 출시할 예정이다.
코넥티브는 중소벤처기업부의 스케일업 팁스, 서울대학교병원 스케일업 과제 등 총 19개 국가 과제를 완수 및 수행했다. 누적 정부지원금은 40억원에 달한다.
올해는 그동안 연구개발(R&D) 성과를 기반으로 본격적인 사업화에 나설 계획이다. 이미 국내 주요 대형 병원을 주요 고객으로 확보하고 있는 것으로 알려졌다. 특히 670병상 이상 보유한 부민 병원이 이번 투자에 전략적 투자자(SI)로 참여해 사업화를 함께할 예정이다.
중동 시장 등 글로벌 시장에도 진출한다. 코넥티브는 올해 1월 아부다비 주요 헬스케어 그룹인 버질 홀딩스 산하 병원에 인공지능 소프트웨어 제품의 사업실증(PoC)을 성공적으로 마쳤다. 이외에도 유럽, 동남아시아, 일본 등에 의료인증을 진행, 준비 중이다.

비대면 신차 시승 플랫폼 '라이드나우'를 운영하는 모빌리티 기업 라이드가 40억원 규모의 시리즈A 투자를 유치했다고 19일 밝혔다.
이번 투자는 IMM인베스트먼트가 리드하고 기존 투자사인 인포뱅크는 후속 투자로 함께 참여했다. 라이드의 누적 투자유치 금액은 65억원이다.
라이드는 라이드나우 외에도 차량 관리 서비스 '라이드케어', 전기차 충전기 운영·관리 서비스 '라이드온', 자동차 브랜드 교육·컨설팅 서비스 '라이드콘텐츠' 등 자동차 생애주기 전반을 아우르는 종합 모빌리티 솔루션을 구축하며 경쟁력을 확대하고 있다.
특히 차량정비기업 스카이오토서비스와 자동차교육업체 GMC를 잇달아 인수하며 사업영역을 공격적으로 확장해 왔다. KGM과 폴스타코리아 등 국내외 자동차 업체와 신차 판매 계약도 체결한 상태다.
라이드는 이번 투자를 바탕으로 △전국 서비스 지역 확대 △플랫폼 기술 고도화 △B2B 사업 확장 등을 적극 추진할 계획이다. 신차 시승부터 구매, 방문 정비까지 원스톱으로 제공하는 새로운 서비스 플랫폼을 선보인다는 목표다.
전국 어디서나 동일한 정찰가로 차량을 구매하고 할 수 있도록 하고, 자동차 보험 등 금융 서비스와 연계한다. AI 기반 차량 추천 시스템을 도입해 소비자 맞춤형 차량 추천 및 최적의 구매 방법을 제안하는 서비스도 개발 중이다.
라이드는 지난해 230억원의 매출과 첫 영업이익 흑자 전환을 기록했다. 이를 기반으로 2027년 기업공개(IPO)를 목표로 연내 상장 주관사를 선정하고, 서비스 다각화 및 수익성 강화와 시장 점유율 확대에 집중할 방침이다.
이민철 라이드 대표는 "디지털 시대의 소비자들은 더 이상 전통적인 자동차 구매 방식에 얽매이지 않는다. 자동차 구매의 모든 과정을 혁신하고 궁극적으로는 국내 자동차 유통의 새로운 표준을 제시해 글로벌 모빌리티 시장에서도 경쟁력을 갖출 것"이라고 했다.

2019년 설립된 펫팜은 2020년 동물약국 전용 B2B(기업간 거래)몰 '펫팜'을 출시, 반려동물 의약품 유통 시장에 진출했다. 펫팜은 이글벳, 광동제약, 경보제약 등과 강아지와 고양이 중심 반려동물용 심장사상충 약 및 의약품들에 대한 독점 공급계약을 체결했다. 현재 국내 1만2000개 동물약국의 50%에 달하는 곳을 회원으로 유치하고 업계 최대 유통망을 구축하고 있다.
펫팜은 윤성한 대표를 필두로 서울·인천, 경기·충청·강원, 영남·호남·제주 등 전국 영업팀을 운영하고 있다. 영업팀이 컨설팅부터 사후관리까지 일반약국의 동물약국 인허가 취득을 도우며 빠르게 회원을 확보해 나가고 있다.
2023년 하반기에는 동물용의약품 품질관리우수업체(KVGMP) 인증 제조시설을 착공하는 등 자체 생산 역량도 확보했다. 지난해 자체 의약품 1종을 시작으로 연내 5종의 제네릭 의약품을 순차적으로 출시할 예정이다.
윤성한 펫팜 대표는 "유통망을 지속적으로 넓히고 자체 의약품 브랜드 제조를 통해 재무구조를 획기적으로 개선해 나갈 것"이라며 "반려동물 시장에서 가장 먼저 떠올릴 수 있는 서비스로 자리매김하도록 노력하겠다"고 말했다.

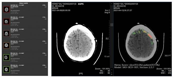
퍼플AI는 SK C&C의 AI 헬스케어팀과 서울대학교병원 및 아주대학교병원의 영상의학과 교수진이 공동 창업한 스타트업이다. 2019년 착수한 3개 기관의 공동 연구개발(R&D)을 통해 뇌출혈 AI, 뇌경색 AI, 뇌동맥류 AI 등 의료기기 솔루션 및 인허가를 확보했다. 전국 약 40개 종합병원에 적용해 임상 현장에서의 유효성도 입증한 바 있다.
대표 솔루션인 '메디컬 인사이트 플러스 뇌출혈'은 뇌 CT영상을 수초 내로 분석해 약 98%의 정확도로 출혈 위치와 이상 여부를 의료진에게 알려주는 서비스다. 뇌출혈은 발병 후 1달 이내 사망률이 35%~52%일 뿐만 아니라, 골든타임이 3시간에 불과한 중증·응급 질환이다.
다수의 임상 실증 연구에서 미세한 출혈도 신경두경부 영상의학전문의 수준으로 탐지해 의료진의 진단 정확도를 높이고 응급실 진료 시간을 단축한 효과를 보였다. 해당 연구 결과를 바탕으로 2024년 보건복지부 통합심사에서 혁신의료기술로 지정됐으며, 미국 식품의약국(FDA) 품목 허가도 취득했다.
안영현 뮤렉스파트너스 수석심사역은 "의료AI 시장이 개화하면서 다양한 AI제품이 개발됐지만 실제로 수익성을 확보할 수 있는 제품은 소수에 불과하다"며 "퍼플AI의 뇌질환 진단 분야는 의료진의 AI 솔루션 도입 수요가 높고, FDA에서도 보험 수가 적용이 활발히 진행되고 있는 영역이라는 점이 투자를 결정했다"고 말했다.
퍼플AI는 이번 투자를 바탕으로 기술 고도화 및 글로벌 시장 진출을 추진한다. 현재의 영상 진단 AI 외 환자의 메타데이터를 기반으로 한 뇌출혈 예후 예측 AI 모델을 개발 중이며, 적응증 또한 뇌졸중 인접 뇌질환으로의 확장을 준비 중이다. 글로벌 시장에서는 의료기기 품목 허가를 획득한 북미 시장을 중심으로 의료영상판독시스템(PACS) 및 클라우드 플랫폼 업체와의 파트너십을 추진 중이다.

이번 투자에는 한국투자파트너스, 신한벤처투자, 하나벤처스 등이 참여했다.
앳홈은 가전, 뷰티, 식품 등 분야에서 대기업 등이 만들지 않는 틈새 제품을 찾아 OEM(주문자상표부착생산)으로 개발·판매하는 기업이다. 주로 국내에서 숨은 제조업체를 발굴한 뒤 공동으로 제품을 보완·개발해 시장에 내놓는다. 3kg 용량의 미니건조기 등이 대표적인 앳홈의 제품이다.
현재 앳홈이 운영하는 브랜드는 소형 가전 브랜드 '미닉스', 홈 스킨케어 브랜드 '톰(THOME)', 단백질 식품 브랜드 '프로티원' 등이다. 지난해에는 연매출 1000억원을 돌파하며 창사 이래 최대 실적을 달성했다.
앳홈은 이번에 확보한 자금으로 미닉스, 톰, 프로티원 등 브랜드 신제품을 개발하고 품질관리를 강화한다는 계획이다. 또 글로벌로 시장을 확장하겠다고 강조했다. 이를 통해 국내외에서 홈 라이프스타일 솔루션 기업으로서 입지를 공고히한다는 계획이다.
이번 투자를 주도한 한국투자파트너스는 "앳홈의 뛰어난 제품 기획력과 마케팅 역량에 대한 확신으로 투자를 결정했다"며 "글로벌에서 성공 가능한 초기 지표를 확인한 바 전 세계인에게 사랑받는 기업으로 성장을 기대한다"고 말했다.

이번 투자에는 한국투자파트너스, 신한벤처투자, KT인베스트먼트, IMM인베스트먼트, 키움인베스트먼트 등이 참여했다. 프리미어파트너스, 인터베스트, 아주IB투자, DSC인베스트먼트도 후속 투자자로 참여했다. 한국투자파트너스는 이사회에 새롭게 참여한다.
이번 투자 유치를 통해 강남언니는 글로벌 미용의료 플랫폼으로서의 성장에 속도를 높일 계획이다. 2019년 11월 일본을 시작으로 해외 진출한 강남언니는 한국 병원을 찾는 외국인 환자와 일본 현지 병원을 찾는 현지 유저를 대상으로 병원 예약 서비스를 제공하고 있다. 작년 11월 글로벌 서비스 '언니(UNNI)'의 태국어 버전을 출시하며 태국 사업을 확장 중이다.
또한 강남언니는 미용의료 병원을 위한 B2B(기업간 거래) 솔루션 신사업을 더욱 확대할 예정이다. CRM(고객관계관리) 소프트웨어, 사진촬영장비 등 미용의료 병원에 특화된 B2B 솔루션을 제공해 병원의 효과적인 고객 관리와 마케팅을 도울 예정이다.
이번 투자 라운드에 참여한 투자사는 "강남언니는 미용의료 고객과 병원이 겪는 문제에 진심으로 공감하고 이를 해결하기 위한 전문 역량과 경험을 보유한 팀"이라며 "강남언니가 증명한 한국과 일본에서의 플랫폼 성과에서 나아가 글로벌 전체를 선도하는 플랫폼이 되기를 기대하며 글로벌 미용의료 시장의 혁신을 위해 지원을 아끼지 않겠다"고 설명했다.

휴밀은 곡물을 활용한 식물성 밀크 파우더 제조 기술을 활용해 다양한 식물성 유제품을 선보이고 있다. 휴밀이 개발한 이 기술은 액상화를 생략할 수 있어 제조 시간 및 원가를 획기적으로 절감할 수 있다. 아울러 파우더 형태의 소재 자체를 가공해 다양한 형태의 소재 솔루션으로 제공이 가능하다.
기존의 유제품 생산에 드는 운송, 보관 연관 비용을 절감시키고 유통기한은 늘려 보관성과 보존성을 향상시켰다는 특징을 가졌다.
[머니투데이 스타트업 미디어 플랫폼 유니콘팩토리]
박기영 기자 pgys@mt.co.kr
Copyright © 머니투데이 & mt.co.kr. 무단 전재 및 재배포, AI학습 이용 금지.
- '1억 성형' 박서진 만난 역술가 "관상 볼 수 없는 얼굴, 욕구불만" - 머니투데이
- 故송대관, 500억 벌고도 빚더미에…태진아 "스트레스 컸을 것"
- 토니 안, 베개 피 흥건→삭발된 채 발견…무슨일? - 머니투데이
- 윤유선, 판사 남편 퇴임에 꽃 선물…과거 '어금니 아빠' 사형 선고 - 머니투데이
- 50대 日 시장, 직원과 불륜 걸리자 "월급 30% 깎을게" - 머니투데이
- '포효하는 사자' 미·이 공습에 이란도 보복…"미 공격 며칠 이어질 것" - 머니투데이
- '중동 전쟁' 발발하나…트럼프 "이란서 중대한 전투 시작" - 머니투데이
- '다주택' 장동혁 "오피스텔 1채 내놔…똘똘한 한채 아니라 안 팔려" - 머니투데이
- UAE 아부다비서 아시아인 1명 사망…이란 학생 5명도 폭격 피해 - 머니투데이
- 트럼프, 이란 공습 후 대선 개입설 주장…"선거 조작하려다 전쟁 직면" - 머니투데이