대한쎌팜, R&D 통한 관절 소재 안전성 확보... 임상진행 중
전체 맥락을 이해하기 위해서는 본문 보기를 권장합니다.
대한쎌팜은 지난해 8월 산업통상자원부로부터 '전라북도 약용식물 및 유지식물을 이용한 건강기능식품 개발' 과제를 승인받았다.
이를 바탕으로 현재 전북대학교병원 건강기능식품임상시험센터에서 '관절 건강 개선에 대한 유효성 및 안전성을 평가하기 위한 인체적용 시험'을 위약군 50명, 들깻잎 추출물 군 50명을 대상으로 인체적용 시험을 실시 중이며, 다음 해 상반기 중 해당 시험 종료와 하반기 개별인정형 건강기능식품의 제품 개발을 완료한다는 계획이다.
이 글자크기로 변경됩니다.
(예시) 가장 빠른 뉴스가 있고 다양한 정보, 쌍방향 소통이 숨쉬는 다음뉴스를 만나보세요. 다음뉴스는 국내외 주요이슈와 실시간 속보, 문화생활 및 다양한 분야의 뉴스를 입체적으로 전달하고 있습니다.
대한쎌팜은 지난해 8월 산업통상자원부로부터 '전라북도 약용식물 및 유지식물을 이용한 건강기능식품 개발' 과제를 승인받았다. 이에 대한쎌팜은 전북지역의 천연 자원인 '새싹인삼' 및 '들깨'를 활용한 개별인정형 건강기능식품 개발에 착수했다.

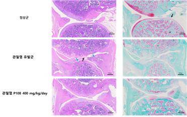
또한 코아스템켐온과 '관절 건강기능성식품 소재', '근육 건강기능성식품 소재'에 관한 산업화 업무협약을 체결하고 2024년 유효성 평가와 독성시험을 통해 개발 제품의 효과 및 안전성을 확보하였다.
이를 바탕으로 현재 전북대학교병원 건강기능식품임상시험센터에서 '관절 건강 개선에 대한 유효성 및 안전성을 평가하기 위한 인체적용 시험'을 위약군 50명, 들깻잎 추출물 군 50명을 대상으로 인체적용 시험을 실시 중이며, 다음 해 상반기 중 해당 시험 종료와 하반기 개별인정형 건강기능식품의 제품 개발을 완료한다는 계획이다.
또 공동으로 연구 중인 주관 기관은 익산 산업단지 내에 소재하고 있어 전라북도 천연자원의 공급과 국내·외 제품 공급이 쉽다는 점도 개발 추진에 힘을 얻는 이유로 꼽힌다. 연구 개발 완료 시 기능성 소재 발굴에서 제품 개발, 생산 및 유통까지 원스톱으로 해결이 가능하며, 이러한 노하우를 통해 후속 면역 건강, 피로 개선, 근육 건강 연구개발까지 힘을 얻어 진행할 계획이다.
추후 기술과 유통체인망 이용을 통한 일자리 창출에도 기여할 수 있을 것으로 대한쎌팜은 내다보고 있다.
골관절염은 노화로 인해 닳아 발생하는 질환으로 이전까지는 노년층의 전유물로만 여겨졌으나, 팬데믹 이후 다시 활동적인 라이프스타일과 운동증가, 장시간 앉아 있는 생활 습관, 비만, 건강 정보의 접근성 증대 등 여러 요소가 맞물려 관절건강에 대한 인식이 높아짐에 따라 노년층뿐만 아니라 젊은층에서도 관절을 보호하고 건강하게 유지하려는 관심이 높아지고 있다.
관절 건강 기능성 식품 시장 규모는 2020년대 초반부터 지속적으로 성장하고 있으며, 2023년 기준으로 약 80억~92억 달러에 달하는 시장 규모를 기록한 것으로 추정된다. 2026년까지 연평균 성장률(CARG) 약 7~~8%를 기록할 것으로 예상됨에 따라 시장 규모는 2026년까지 약 120억 달러에 도달할 것으로 예상된다
김재련 기자 chic@mt.co.kr
Copyright © 머니투데이 & mt.co.kr. 무단 전재 및 재배포, AI학습 이용 금지.
- "음주운전 곽도원, 원망스러워"…개봉 2년 미룬 곽경택, 솔직 심경 - 머니투데이
- 옥주현 목 관통한 '장침'…무슨일 있나 - 머니투데이
- 서동주, 경매로 산 집 알고보니…"7~8년 후 재개발" 겹경사 - 머니투데이
- "그렇게 중요한 사람 아니야"…김구라, 조세호 결혼식 불참 왜? - 머니투데이
- "외벌이 띠동갑 남편, 딴여자 생겨"…6년간 '월말 부부', 아내의 고민 - 머니투데이
- 주식으로 돈 벌었다?…"내 계좌는 녹는 중" 우는 개미 넘치는 이유 - 머니투데이
- 비행기 추락, 사장님 업고 탈출했는데…직원이 받은 건 '해고 통보' 왜? - 머니투데이
- "호재요, 호재" 3000원 넘긴 동전주...주가 띄우더니 돌연 대주주 매각 - 머니투데이
- "장어집 불났다" 북창동 먹자골목 아수라장…3시간 만에 '완진' - 머니투데이
- '자사주 소각' 기업 벌써 2배 늘었다..."주가 들썩" 상법개정 수혜주는 - 머니투데이