잇몸 무너지면 일상도 '와르르'…치매·골다공증 부른다
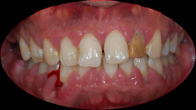
'이가 없으면 잇몸으로 산다'는 옛말이 있다. 하지만 치의학적으로는 불가능한 얘기다. 이런저런 이유로 치아가 빠진 상태를 방치하면 잇몸이 흡수돼 내려앉아서다. 그런데 치아를 빠지게 하는 주범이 다름 아닌 '잇몸'일 수도 있다. 건강한 잇몸은 연한 분홍색을 띠면서 치아 주변을 단단히 감싸는데, 잇몸이 검붉어지고 부어오른 것 같다면 잇몸병(치주질환)이 시작했을 수 있다. 관악서울대치과병원 김윤정(치주과 전문의) 교수는 "잇몸병이 심하게 진행해 치아 주위를 둘러싼 잇몸뼈가 상당히 파괴되고 치아가 흔들릴 때 뒤늦게 병원을 찾는 경우가 적잖다"고 말했다. 김윤정 교수의 도움말로, 잇몸병의 원인과 신호, 예방·관리법을 알아본다.

양치할 때, 침을 뱉을 때 피가 비치면 잇몸병을 의심할 수 있다. 이 밖에도 △잇몸에서 피가 난다 △잇몸이 빨갛게 변하거나 붓는다 △잇몸이 주기적으로 들뜨고 근질거린다 △이와 이 사이가 벌어지고 음식물이 많이 낀다 △잇몸이 내려가 점점 치아가 길어 보인다 △나쁜 입 냄새가 난다 △흔들리는 치아가 있다 등 증상이 있다면 잇몸병이 있는지 확인해야 한다.
당뇨병의 경우 가장 많은 관련 연구가 진행됐다. 혈당수치가 높아지면 잇몸에 염증 매개 물질이 증가해 치주염에 걸리는 비율이 높아지는 것으로 나타났다. 또, 기존에 당뇨병을 앓아왔다면 잇몸 세균이 내보내는 물질이 혈당 조절을 어렵게 해 당뇨병이 더 심해질 수도 있다. 김 교수는 "잇몸병을 치료하면 당화혈색소 수치가 떨어지고 대사조절 능력이 향상한다는 선행연구가 많다"며 "당뇨병 위험군 환자는 혈당조절과 구강 관리를 병행해야 하는 이유"라고 강조했다.

최근엔 잇몸병과 치매와의 상관관계도 밝혀지고 있다. 잇몸병으로 인해 치아를 뽑아, 치아 개수가 줄면 음식 씹기(저작)가 불편해지고, 이 때문에 뇌로 가는 혈류량이 감소한다. 이후 뇌의 대사 활동과 신경 활동이 줄어들어, 잇몸병이 궁극적으로는 인지기능 저하에 영향을 미칠 수도 있다는 것이다.
폐렴 같은 호흡기질환, 골다공증, 조산 등 여러 전신질환과 잇몸병과의 연관성도 드러나고 있다. 잇몸병을 방치하면 전신질환의 발생 가능성도 커지고, 반대로 전신질환이 잇몸병을 악화할 수 있다는 사실을 유념해야 한다.
먼저 '비외과적인 치료'를 시행하는데, 잇몸을 절개하지 않고 치아 표면, 잇몸과 치아 사이의 치주낭 속으로 기구를 넣어 닦아내는 방식이다. 이후 질환의 경감 정도와 반응을 확인해 칼로 절개하는 외과적 수술 방법까지 진행할지, 아니면 유지 관리단계로 진행할지를 정한다. 외과적 수술 방법은 잇몸 아래 깊은 곳에 있는 치석, 염증 원인 물질을 제거하기 위해 잇몸을 절개하고 열어젖혀, 직접 보면서 없애고 봉합한다. 주저앉은 잇몸 조직의 재생을 위해 조직유도재생술을 진행하기도 한다.
최근 국내 연구에서 정기적 구강검진을 받은 경우 심혈관 질환 발병률이 10% 줄고, 연 1회 이상 스케일링을 받으면 심혈관 질환 발생률을 14% 떨어뜨릴 수 있다는 사실이 확인됐다. 김 교수는 잇몸병 예방을 위한 생활 습관으로 △양치할 때마다 가능한 치간칫솔이나 치실 등 보조도구 활용하기 △치아 사이 음식물 덩어리와 치태를 제거한 후 칫솔모가 구석구석 도달할 수 있도록 칫솔질하기 △타이머로 확인하며 3분 이상 충분한 시간을 투자하고, 거울을 보며 편안한 자세로 양치질하기 등을 제안했다.

Tip. 건강한 잇몸을 위한 324 수칙
-하루 3회 이상 칫솔질
-연 2회의 정기검진 및 전문가 스케일링
-치아 사(4)이 공간의 치간칫솔, 치실 사용
도움말=대한치주과학회
정심교 기자 simkyo@mt.co.kr
Copyright © 머니투데이 & mt.co.kr. 무단 전재 및 재배포, AI학습 이용 금지.
- '박지윤·최동석 불륜 공방' 발단된 사진…지인들 "문제될 것 없어" - 머니투데이
- 장윤정, 행사비 2500만원 받고 입만 뻥끗?…립싱크 논란에 해명 - 머니투데이
- 또 입국 거부당한 스티브유…가족사진 공개하며 "한국 왜 못 잊냐고?" - 머니투데이
- 백종원 "안대 벗고 '아우 나 X됐다'"... 흑백요리사 뒷얘기 공개 - 머니투데이
- 쿠팡맨 된 태사자 김형준, 월수입은…"한달 1000만원까지 벌어" - 머니투데이
- "세금 수천만원 또?" 다주택자 고심...7억 내려도 "더 낮추겠지" 거래 뚝 - 머니투데이
- 서대문 '버스 돌진' 사고 블랙박스, '브레이크 이상' 핵심 증거 될까 - 머니투데이
- 이영자, 이태원서 술 마시다 실신…주량이 맥주 한캔? - 머니투데이
- 이재용 회장, 일본서 '혼밥'?..."혼자 줄 섰을까" 이 라멘집 어디길래 - 머니투데이
- '한국에선 한국어로 주문' 카페 공지 저격한 외국인 '역풍'..."기본 매너" - 머니투데이