"웃겨도 못 웃어 슬퍼보여"…잇몸 내려앉아 웃지도 못하는 '이 병'
전체 맥락을 이해하기 위해서는 본문 보기를 권장합니다.
건강을 잃으면 전부를 잃는 것입니다.
관악서울대치과병원 김윤정(치주과 전문의) 교수는 "지나치게 단단한 칫솔모를 사용해 과도한 칫솔질을 하는 것, 이갈이 등의 악습관도 잇몸 퇴축을 촉진할 수 있다"며 "이 밖에도 치아 뿌리의 만곡도나 치아가 배열돼있는 포물선 형태의 '악궁' 내 치아의 위치도 영향을 줄 수 있고, 맞닿는 대합치가 없어 치아가 솟아나는 '정출' 현상이 생기는 경우에도 상대적인 잇몸퇴축이 발생한다"고 말했다.
이 글자크기로 변경됩니다.
(예시) 가장 빠른 뉴스가 있고 다양한 정보, 쌍방향 소통이 숨쉬는 다음뉴스를 만나보세요. 다음뉴스는 국내외 주요이슈와 실시간 속보, 문화생활 및 다양한 분야의 뉴스를 입체적으로 전달하고 있습니다.
[편집자주] 건강을 잃으면 전부를 잃는 것입니다. 작은 관심만 있다면 누구나 소중한 건강을 지킬 수 있습니다. 머니투데이가 올해 상반기 독자들의 뜨거운 관심을 받은 건강 기사를 갈무리해 소개합니다.

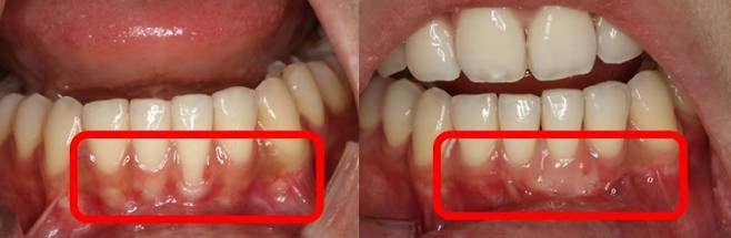
A씨처럼 잇몸 조직이 소실되며 치아 뿌리 방향으로 치아와 치은 부착 부위가 이동하는 현상을 '치은퇴축'이라고 한다. 한 번 내려앉은 잇몸은 심미적 문제 외에도 통증을 동반할 수 있다.
치은퇴축이 발생하는 대표적인 요인은 불량한 구강위생으로 인한 치주질환이다. 치아와 잇몸 사이 틈새인 '치은열구' 내에 세균성 치태가 쌓이면서 잇몸 염증이 생기기 시작하는데, 이때 하방의 치조골(잇몸뼈)을 녹이면서 잇몸도 따라 내려간다.
관악서울대치과병원 김윤정(치주과 전문의) 교수는 "지나치게 단단한 칫솔모를 사용해 과도한 칫솔질을 하는 것, 이갈이 등의 악습관도 잇몸 퇴축을 촉진할 수 있다"며 "이 밖에도 치아 뿌리의 만곡도나 치아가 배열돼있는 포물선 형태의 '악궁' 내 치아의 위치도 영향을 줄 수 있고, 맞닿는 대합치가 없어 치아가 솟아나는 '정출' 현상이 생기는 경우에도 상대적인 잇몸퇴축이 발생한다"고 말했다.
잇몸병(치주질환)으로 인한 잇몸 조직의 소실은 주로 중장년·노년에서 나타나지만, 치아 외상 등으로 치주조직이 얇은 부위에서 발생하는 치은퇴축은 젊은 연령에도 자주 발생한다.
잇몸이 치아 뿌리 방향으로 내려가 치아 뿌리(치근)가 노출되면 차고 뜨거운 음식·공기에 민감해진다. 또 치아 사이의 공간이 넓어지면 음식물이 자주 끼고, 노출된 치근면이나 인접 면에 충치가 생기기 쉽다. 치아 사이가 벌어져 평소보다 음식물이 많이 끼거나 앞니의 뿌리가 이전보다 많이 보이고 치아가 길어진 것 같이 느껴진다면 잇몸을 점검받는 게 좋다.

치은퇴축의 치료법으로는 퇴축된 부위 아래, 측면부의 잇몸을 이동시키는 잇몸 성형술과 잇몸 이식술 등이 대표적이다. 잇몸 이식술은 구개(입천장)에서 충분한 양의 결합조직 이식편을 채취해 퇴축 부위를 덮는 방식이다. 이를 통해 노출된 치아 뿌리를 덮고, 잇몸의 높이·부피를 회복할 수 있다. 하지만 이에 앞서, 잇몸질환으로 인해 전반적인 치조골 소실, 치은퇴축 양상이 관찰되면 철저한 치주 치료로 퇴축이 더 진행하는 것을 막는 게 중요하다.
치은퇴축을 막으려면 구강을 늘 청결하게 유지하고 잇몸 염증을 예방해야 한다. 부드러운 모의 칫솔을 선택해 올바르게 칫솔질하고, 정기적인 치과 내원과 스케일링으로 구석구석 남아있는 치태·치석을 제거하는 것도 중요하다. 김 교수는 "교합 상태를 확인하고 이갈이 등의 치아 건강을 해치는 습관이 있으면 의료진에게 진단받아 조처해야 한다"며 "치조골이 소실되지 않은 상태의 퇴축 부위는 늦기 전에 '잇몸 이식술'을 진행할 수 있도록 전문 의료진의 진단·치료받는 게 중요하다"고 강조했다.
정심교 기자 simkyo@mt.co.kr
Copyright © 머니투데이 & mt.co.kr. 무단 전재 및 재배포, AI학습 이용 금지.
- 현대가 노현정, 카메라 보고 활짝…백지연 '환갑잔치' 인맥 화려하네 - 머니투데이
- 딸 둘 '농구스타' 우지원 5년전 이혼…결혼 17년만에 - 머니투데이
- 한혜진, 전 남친 전현무 얘기에 눈물?…박나래 찐당황 "왜 그래" - 머니투데이
- 유명 여배우, 강남역서 갑자기 쓰러져…역무원에 구조된 후기 - 머니투데이
- 걸친 것만 2500만원…긴 생머리 변신한 김태리, 상큼 패션 '완벽' - 머니투데이
- "평당 1억 넘었다" 경기도인데 국평이 26.8억…최고가 찍는 이곳들 - 머니투데이
- 현대차, 장 초반 시총 100조 돌파…로봇주는 혼조세 - 머니투데이
- '대당 2억' 아틀라스, 2년 내 투자금 뽑는다...현대차의 자신감 - 머니투데이
- "이게 얼마지?" '택시 바가지' 외국인 갸우뚱…영수증이 확 바뀐다 - 머니투데이
- "브레이크 고장" 기사 말 사실?…'인도 돌진 버스' 블랙박스 봤더니 - 머니투데이