“우유 먹지 말라, 약 먹지 말라…그럼, 칼슘은 어디서?”
전체 맥락을 이해하기 위해서는 본문 보기를 권장합니다.
지난 칼럼들을 통해 우유도 못 마시게 하고, 칼슘보충제도 먹지 말라고 하면 "그럼, 칼슘은 어디에서 얻나?" 하며 칼슘 부족을 걱정하시는 분들도 분명히 계실 것이다.
칼슘은 우유에만 있는 것이 아니고 케일 등 녹색 잎 채소나 콩, 김, 참깨, 아몬드 등 여러 음식물에 다양하게 들어있다.
여기서 'Balanced diet'란 무엇인가? 우유처럼 칼슘은 많이 들어있으나 몸에 해로운 식품 말고, 적당량의 칼슘과 몸에 좋은 채식이 바로 그것이다.
이 글자크기로 변경됩니다.
(예시) 가장 빠른 뉴스가 있고 다양한 정보, 쌍방향 소통이 숨쉬는 다음뉴스를 만나보세요. 다음뉴스는 국내외 주요이슈와 실시간 속보, 문화생활 및 다양한 분야의 뉴스를 입체적으로 전달하고 있습니다.
![[사진=클립아트코리아]](https://img1.daumcdn.net/thumb/R658x0.q70/?fname=https://t1.daumcdn.net/news/202408/29/KorMedi/20240829160009182gcmb.jpg)
지난 칼럼들을 통해 우유도 못 마시게 하고, 칼슘보충제도 먹지 말라고 하면 "그럼, 칼슘은 어디에서 얻나?" 하며 칼슘 부족을 걱정하시는 분들도 분명히 계실 것이다.
칼슘은 우유에만 있는 것이 아니고 케일 등 녹색 잎 채소나 콩, 김, 참깨, 아몬드 등 여러 음식물에 다양하게 들어있다. 우유가 칼슘의 대명사처럼 인식되어 있어, 독자들의 이해를 돕기 위해 우유와 비교하여 우리가 흔히 먹는 식품 100g당 포함된 칼슘 함량을 찾아보았다.
우유 116mg, 김치 51mg, 고추장 51mg, 두부 64mg, 미역 79mg, 시금치 86mg, 청경채 87mg, 셀러리 88mg, 쑥갓 91mg, 고구마 줄기 92mg, 갓김치 103mg, 다시마 103mg, 시래기(무청) 108mg, 된장 114mg, 열무 134mg, 취나물 135mg, 병아리콩 153mg, 톳 157mg, 대두 169mg, 김 174mg, 고사리 188mg, 아마 씨 210mg, 도라지 246mg, 케일 254mg, 깻잎 296mg, 아몬드 337mg, 고춧잎 369mg, 들깨 416mg, 쑥 944mg, 참깨 1316mg 등 함량의 차이는 있지만 모든 식물성 식품에는 칼슘이 반드시 들어있다 [1].
참고로 동물성 식품의 칼슘 함량은 소고기(등심) 11mg, 돼지고기(삼겹살) 6mg, 고등어 26mg, 달걀 47mg 등으로 우유를 제외하면 오히려 식물성 식품보다 칼슘 함량이 더 낮다. 따라서 육식이 아닌 채식 위주의 식사를 하는 분이면 칼슘 부족 걱정을 할 필요가 없다.
또한, 식물성 식품 자체는 알칼리성이라 신장의 pH 수치를 높여 칼슘이 소변으로 빠져나가는 것을 막아 칼슘이 잘 보존되기에 궁극적으로 골다공증을 예방할 수도 있다 [2].
칼슘은 다른 미네랄보다 특별히 더 중요하지도 않고 쉽게 결핍되지도 않는다. 뼈를 전공하는 정형외과 전문의인 필자는 지난 30년간 칼슘 결핍으로 뼈가 약해진 환자를 단 한 번도 본 적이 없다.
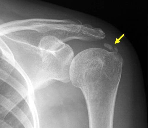
오히려, 칼슘보충제 복용으로 높아진 칼슘 수치는 심혈관을 석회화시켜 심각한 문제를 일으킬 뿐만 아니라, 팔이나 다리 혹은 어깨의 인대나 힘줄에 석회를 침착시켜 '석회성 건염'(calcific tendinitis)을 유발하기도 한다 (아래 사진) [3].

사실이 이러하지만, 칼슘보충제는 시중에서 여전히 잘 팔리고 있다. 제약회사의 마케팅, 각종 매체에서 쏟아져 나오는 잘못된 건강정보들 때문이다.
이에 따라 오늘도 영문도 모른 채 심장마비를 겪어 생사의 갈림길에 있거나, 중풍으로 사지 마비가 되는 분들이 어딘가엔 계실 것이다. 이런 피해자들이 더는 안 생기게, 칼슘보충제의 진실이 주변에 많이 알려지면 좋겠다. 그게 필자가 이 글을 쓰는 이유이기도 하다.
미국질병예방특별위원회, "골다공증 없다면, 칼슘보충제는 불필요"
한바탕 홍역을 치른 후, 미국인의 건강증진 서비스 권고문을 만드는 '미국질병예방특별위원회'(U.S. Preventive Services Task Force)에서는 "골다공증 혹은 비타민 D 결핍증으로 진단받지 않은 폐경 후 여성에게 골절 예방 목적의 칼슘보충제는 불필요하다"고 2013년부터 명시하고 있다 [4].
세계에서 가장 오래되고 저명한 영국의 과학 학술지 '네이처'(Nature)에도 칼슘보충제 문제에 대한 해답이 나와 있다 [5].
"The absence of clear beneficial effect on fracture risk, the use of calcium supplements should be discouraged, and individuals advised to obtain calcium from a balanced diet."(골절 위험에 대한 명확하고도 유익한 효과가 없다는 점에서 칼슘보충제 사용은 권장되지 않는다. 특히 개인은 '균형 잡힌 식단'을 통해 칼슘을 섭취하도록 권장해야 한다.-편집자 주)
여기서 'Balanced diet'란 무엇인가? 우유처럼 칼슘은 많이 들어있으나 몸에 해로운 식품 말고, 적당량의 칼슘과 몸에 좋은 채식이 바로 그것이다. 약으로 먹은 칼슘과는 달리 음식으로 섭취한 칼슘은 아무런 문제가 없다 [6, 7].
이제 칼슘보충제 복용은 멈추어야 한다. 칼슘은 약으로 먹는 게 아니라, 음식으로 섭취하자. 음식이 바로 약이다.
송무호 의학박사·정형외과 전문의

참고문헌
1. 농촌진흥청, 국립농업과학원, 국가표준식품성분표 http://koreanfood.rda.go.kr/kfi/fct/fctFoodSrch.
2. CA Gunn, JL Weber, AT McGill, et al. Increased Intake of Selected Vegetables, Herbs and Fruit may Reduce Bone Turnover in Post-Menopausal Women. Nutrients 2015;7(4):2499-517.
3. A Rouhani, J Soleimanpour, A Sadeghilar, A Tabrizi. The Relation between Calcium Supplement Consumption and Calcific Shoulder Tendonitis. Advances in Bioscience and Clinical Medicine 2015;3(4):11-16.
4. M Nestle, MC Nesheim. To supplement or not to supplement: the US Preventive Services Task Force recommendations on calcium and vitamin D. Annals of internal medicine 2013. https://doi.org/10.7326/0003-4819-158-9-201305070-00605.
5. IR Reid, MJ Bolland. Calcium supplements and cardiovascular risk. Nature Reviews Cardiology 2012;9:497-498.
6. S Chalupka. Associations of dietary calcium intake and calcium supplementation with myocardial infarction, stroke, and overall cardiovascular mortality. Workplace Health & Safety 2012;60(8):372.
7. K Li, R Kaaks, J Linseisen, S Rohrmann. Associations of dietary calcium intake and calcium supplementation with myocardial infarction and stroke risk and overall cardiovascular mortality in the Heidelberg cohort of the European Prospective Investigation into Cancer and Nutrition study (EPIC-Heidelberg). Heart 2012;98:920-925.
송무호 의무원장 (mhsong21@hanmail.net)
Copyright © 코메디닷컴. 무단전재 및 재배포 금지.
- "항문에 65cm 뱀장어 넣은 男의 최후?"...살아서 복부까지 거슬러 올라, 무슨 일? - 코메디닷컴
- 성관계 중 절정 오르면...주변이 핑크빛으로 변한다? 이 현상 뭐길래? - 코메디닷컴
- 주 3회 '이 음식' 먹는男...발기 안될 위험 3배 높다고? - 코메디닷컴
- 이혼까지 가는 부부...헤어질 결심 '이 5가지'에서 나온다 - 코메디닷컴
- "내 말이 도움되는 줄 알고 "...배우자에게 상처주는 실수 3가지 - 코메디닷컴
- "몸 99.9% 전체가 타투"...혀, 유두 등 89곳 개조한 女, 기네스 등재 모습보니 - 코메디닷컴
- “왜 뒤로 걷나 했더니"...체중 줄이고 두뇌도 좋아진다고? - 코메디닷컴
- "1mm작은 벌레에 물렸나 했는데"...두 다리 절단한 女, 무슨 사연? - 코메디닷컴
- 男음경 크기 29년간 3cm 커졌지만...정자의 질은 60% 떨어져, 왜? - 코메디닷컴
- "임신 女, 담배 1개비는 괜찮다?"...아기 중환자실 입원 높인다 - 코메디닷컴