인공지능아, 나중에 내가 아플까? [이희욱의 휴머놀로지]
전체 맥락을 이해하기 위해서는 본문 보기를 권장합니다.
오늘날 생성 인공지능은 만능이다.
대만 국방의료센터는 심장 검사에서 사망 위험률이 높은 환자를 찾아내는 데 인공지능을 활용했다.
구글 딥마인드는 지난해 9월, 유전자 변이를 예측하는 인공지능 모델 '알파미스센스'를 개발했다.
인공지능은 방대한 임상 데이터와 환자 맞춤 데이터를 기반으로 미래에 발생할 수 있는 질병을 내다보고 미리 대응하도록 돕는다.
이 글자크기로 변경됩니다.
(예시) 가장 빠른 뉴스가 있고 다양한 정보, 쌍방향 소통이 숨쉬는 다음뉴스를 만나보세요. 다음뉴스는 국내외 주요이슈와 실시간 속보, 문화생활 및 다양한 분야의 뉴스를 입체적으로 전달하고 있습니다.


오늘날 생성 인공지능은 만능이다. 글도 쓰고, 그림도 그리고, 작곡도 하고, 영화도 만든다. 생성 인공지능은 창조성은 없지만 훈련된 데이터를 기반으로 새로운 콘텐츠를 곧잘 만들어낸다. 팔방미인 인공지능은 미래도 잘 맞힐까. 인공지능이 ‘만드는’ 능력을 넘어 ‘예측하는’ 단계로 확장되고 있다.
예측은 통계다. 데이터를 분석해 반복되는 흐름을 식별하고, 이를 기반으로 다음에 일어날 행동이나 일을 짐작하는 일련의 과정이다. 이 과정에서 인공지능은 방대한 양의 데이터를 기반으로 한 머신러닝을 통해 통계 분석을 더 빠르고 정확하게 수행하도록 돕는다. 그런 점에서 인공지능을 활용한 미래 예측은 더 정교해진 통계 분석에 가깝다.
인공지능을 활용해 재고를 관리하거나 고객 행동을 예측하고 마케팅 전략을 세우는 건 새롭지 않다. 건강과 연결되는 의료 분야라면 얘기가 다르다. 개인의 병력을 바탕으로 미래 건강 상태를 어림짐작하는 수준을 넘어 방대한 데이터를 분석해 질병을 예측하고 심지어 사망 위험을 사전에 탐지하는 인공지능이 잇따라 등장하고 있다.
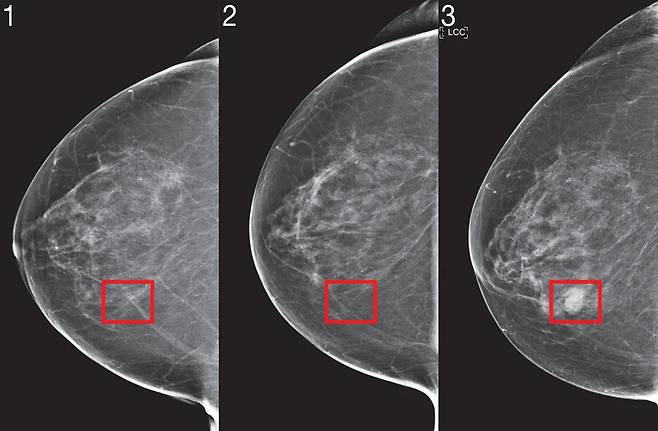
매사추세츠공과대학(MIT) 컴퓨터과학 및 인공지능 연구소와 자밀클리닉 연구팀은 유방암 발병 위험을 예측하는 인공지능 시스템을 만들었다. ‘미라이’란 이름의 이 알고리즘은 매사추세츠 종합병원의 20만건 넘는 유방암 데이터를 학습해 5년 안에 유방암에 걸릴 확률을 진단해낸다. 흑인과 백인 여성 모두에게서 똑같은 정확도를 보여줬고, 촬영 시기나 추적 관찰 기간이 다른 환자들에게서도 일관된 예측 결과를 내놓았다. 이 유방촬영술을 이용하면 다양한 임상 환경에 놓인 환자들이 불필요한 검진을 줄이고 유방암 발병 가능성을 조기에 진단하고 예방할 수 있다.
영국 케임브리지대학과 버밍엄대학 공동 연구팀은 치매를 조기 예측하는 딥러닝 알고리즘을 지난 7월 공개했다.이들이 만든 예측 예후 모델(PPM)은 임상 실험에서 치매의 주요 원인인 알츠하이머의 진행 가능성을 81.66%의 정확도로 예측해냈다. 이 방식은 기존 바이오마커보다 값싸고 정확하게 치매를 조기 예측할 수 있어, 초기 단계에서 오진율을 낮추고 표준화된 진단으로 의료 불평등도 개선할 수 있다고 연구진은 설명했다.
대만 국방의료센터는 심장 검사에서 사망 위험률이 높은 환자를 찾아내는 데 인공지능을 활용했다. 연구진은 45만건이 넘는 심전도 검사 데이터를 바탕으로 인공지능을 훈련시켰다. 그러고는 새로운 환자의 심전도 검사 결과를 업로드하면 인공지능이 분석해 고위험군이 발견되면 의사에게 통지했다. 환자 1만6천명을 대상으로 진행한 무작위 임상실험에서 전체 환자의 31%, 고위험군 환자는 95%나 사망률이 줄었다. 이 인공지능 경보 시스템은 대만의 14개 군 병원에서 사용 중이다.
구글 딥마인드는 지난해 9월, 유전자 변이를 예측하는 인공지능 모델 ‘알파미스센스’를 개발했다. 딥마인드의 단백질 구조 예측 인공지능 ‘알파폴드’를 기반으로 만든 모델이다. 디엔에이의 염기에 변이가 발생하면 세포 조직이 제대로 형성되지 않아 질병으로 이어질 수 있다. 알파미스센스는 알파폴드의 단백질 해독 능력을 바탕으로 이런 ‘미스센스 돌연변이’를 사전 예측해 질병 발병률을 낮춰준다.

인공지능은 방대한 임상 데이터와 환자 맞춤 데이터를 기반으로 미래에 발생할 수 있는 질병을 내다보고 미리 대응하도록 돕는다. 지금은 의료진을 보좌하거나 진료 효율성을 높이는 도우미로 시작하지만, 미래에는 의료진이 수행하기 어려운 작업을 대신하고 환자의 건강을 직접 관리하는 단계로 발전할 전망이다.
이희욱 미디어랩팀장 asadal@hani.co.kr
Copyright © 한겨레신문사 All Rights Reserved. 무단 전재, 재배포, AI 학습 및 활용 금지
- 당대표 연임 이재명 “윤 대통령, 단독회담 화답 기대”
- [단독] 부산역 아수라장 현장…KTX 궤도 이탈로 ‘찜통역’ 됐다
- ‘중일마’ 파문 확산…대통령실 “일본 사과 피로감 많아” 두둔
- ‘개인정보 유출 논란’ 카카오페이, 가명 정보처리도 안 했다니
- [단독] 국민연금 급여 수준 ‘유지 조항’ 둔다…소득대체율은 유지
- DJ 이후 첫 대표 연임 이재명 “더 유능한 민생 정당돼야”
- “열심히 산 게 무슨 죄야, 내 돈 내놔”…티메프 사태 피해자 뭉쳤다
- 김민희 “홍상수, 당신의 영화를 사랑한다”…로카르노 최우수연기상
- 파출소 순찰차에 갇힌 40대 여성, 36시간 만에 숨진 채 발견
- 기차들 멈춰섰다…‘KTX 신경주행’ 대구서 바퀴 궤도이탈