"제이엘케이 AI 솔루션, 10년 경력 전문의 수준 정확도"…美 학술지 게재
전체 맥락을 이해하기 위해서는 본문 보기를 권장합니다.
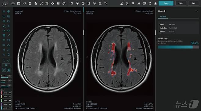
의료 AI 1호 상장기업 제이엘케이(322510)는 자사가 개발한 대뇌백질변성분석 AI 솔루션(JLK-WMH)의 급성 뇌졸중 환자 대상 뇌백질변성 정량 분석 연구 결과가 국제 학술지에 출판됐다고 22일 밝혔다.
해당 논문에는 급성 뇌졸중 환자 8421명의 MRI 데이터를 AI가 학습하는 방식으로 개발해 만성 뇌허혈 병변에 해당하는 백질 변성(white matter hyperintensity: WMH) 영역을 시각화하고 정량적으로 분석하는 JLK-WMH의 개발 과정과 성능 연구 등이 담겼다.
이 글자크기로 변경됩니다.
(예시) 가장 빠른 뉴스가 있고 다양한 정보, 쌍방향 소통이 숨쉬는 다음뉴스를 만나보세요. 다음뉴스는 국내외 주요이슈와 실시간 속보, 문화생활 및 다양한 분야의 뉴스를 입체적으로 전달하고 있습니다.

(서울=뉴스1) 이훈철 기자 = 의료 AI 1호 상장기업 제이엘케이(322510)는 자사가 개발한 대뇌백질변성분석 AI 솔루션(JLK-WMH)의 급성 뇌졸중 환자 대상 뇌백질변성 정량 분석 연구 결과가 국제 학술지에 출판됐다고 22일 밝혔다.
해당 논문에는 급성 뇌졸중 환자 8421명의 MRI 데이터를 AI가 학습하는 방식으로 개발해 만성 뇌허혈 병변에 해당하는 백질 변성(white matter hyperintensity: WMH) 영역을 시각화하고 정량적으로 분석하는 JLK-WMH의 개발 과정과 성능 연구 등이 담겼다.
논문은 국제 저명 학술지이자 美 신경두경부영상의학회 학술지인 아메리칸 저널 오브 뉴로라디올로지(American Journal of Neuroradiology)에 게재됐다.
논문에 따르면 제이엘케이 AI 솔루션은 급성 뇌졸중 환자의 MRI 영상을 분석해 환자의 백질변성 영역을 빠르고 정확하게 탐지하고 정량했다. 특히 10년 이상의 경력을 보유한 전문의와의 정량 분석 일치도가 99%에 달하는 등 영상 데이터를 정량적으로 정확하게 분석해 백질변성과 관련해 발생할 수 있는 치매 등의 퇴행성질환의 조기 진단 및 연구에 널리 활용될 수 있을 것으로 기대된다.
이번 연구의 주저자로 참여한 김호성 미국 University of Soutern Callifornia 대학 교수는 "지금까지 인공지능 백질변성 탐지 알고리즘 중 가장 많은 수의 뇌 영상을 이용해 학습시켰기 때문에 세계 최고 수준의 정확도를 갖춘 알고리즘을 개발할 수 있었다"고 밝혔다.
또 "전문의 수준에서도 쉽지 않은 급성 뇌경색 병변과 만성 뇌허혈 병변을 정확하게 구분할 수 있어, 뇌졸중 환자의 예후 예측뿐만 아니라 치매 위험성 예측 등에도 널리 활용될 수 있을 것"이라고 설명했다.
한편 이번 연구의 교신저자인 김동억 동국대학교 일산병원 교수(뇌졸중 중점연구소 소장, Journal of Stroke 부편집장)는 "백질변성의 크기가 서서히 증가하기 때문에 기존의 비정량적 방법을 이용할 경우 병변이 상당히 진행돼야만 그 변화를 탐지할 수 있었다"라며 "JLK-WMH를 활용한다면 아주 소량의 변화도 조기에 탐지할 수 있어 백질변성을 보이는 환자의 진료에 많은 도움이 될 것으로 생각한다"고 전했다.
또 "향후 소량의 백질변성 변화가 치매 발생 위험도를 얼마나 높이는지 등에 관한 연구로 이어진다면 백질변성 악화 예방을 통한 치매 조기 치료에도 일조할 수 있을 것"이라고 덧붙였다.
치매 전문가인 임재성 서울아산병원 신경과 교수(대한치매학회 정보이사)는 "우리나라 건강검진에 가장 많이 활용되는 영상, 그리고 고령의 환자에서 가장 흔하게 발견되는 병변을 빠르고 정확하게 정량분석하는 솔루션이기 떄문에 활용도가 광범위할 것으로 보인다"라며 "장기적으로는 뇌의 노화를 막기 위한 연구 개발의 중요한 도구가 될 것으로 예상된다"라고 밝혔다.
김동민 제이엘케이 김동민 대표는 "이번 JLK-WMH 논문 출판을 비롯해 제이엘케이 AI 솔루션의 우수성을 널리 알리는 등 앞으로도 전 세계 1위 의료 시장인 미국 시장의 성공적 진출을 위해 회사의 모든 역량을 집중해 나갈 것"이라고 강조했다.
boazhoon@news1.kr
Copyright © 뉴스1. All rights reserved. 무단 전재 및 재배포, AI학습 이용 금지.
- 남직원한테 '자기야~ 뭐 먹으러 가자'는 아내…따지자 "조선시대냐" 발끈
- "술집 주모와 바람난 남편 개처럼 잡은 신사임당…율곡도 아버지 무시"
- "아들과 안 친한 시어머니, 며느리인 저에게 화합시켜 달라고 하네요"
- "치과서 다른 치아 잘못 깎아 발치 위기"…인지 기능 장애 환자의 호소
- "날 보더니 직업 묻고 호텔 투숙 거부"…'편한 차림 옷' 인플루언서 폭로
- "뭐 어쩌라고?"…보복운전 따지자, 아이들 앞에서 코뼈 부러지는 폭행[영상]
- "눈물 마를 날 없었는데"…연금복권 1등-2등 21억 당첨자 '제2 인생'
- "나 장항준이야, 주소 보내"…'왕사남 800만' 돌파 속 단역배우가 전한 미담
- "암 투병 시한부 아내 위해 '킬' 당해주실 분"…남편 부탁에 300명 몰렸다
- 80세 아빠 김용건 "아들 벌써 여섯 살, 좀 커서 잘 따라다녀"