제이엘케이 "'퇴행성 뇌질환' 조기 파악 AI연구 국제학술지 게재"
전체 맥락을 이해하기 위해서는 본문 보기를 권장합니다.
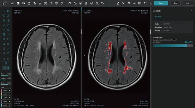
의료 인공지능(AI) 1호 상장기업 제이엘케이는 대뇌 백질 변성분석 AI 솔루션(JLK-WMH)의 급성 뇌졸중 환자 대상 뇌백질변성 정량 분석 연구 결과가 국제 학술지에 출판됐다고 22일 밝혔다.
이 논문에는 급성 뇌졸중 환자 8421명의 MRI 데이터를 AI에 학습시켜 만성 뇌 허혈 병변에 해당하는 백질 변성(WMH) 영역을 시각화하고 정량적으로 분석하는 'JLK-WMH'의 개발 과정과 성능 연구 등이 담겼다.
이 글자크기로 변경됩니다.
(예시) 가장 빠른 뉴스가 있고 다양한 정보, 쌍방향 소통이 숨쉬는 다음뉴스를 만나보세요. 다음뉴스는 국내외 주요이슈와 실시간 속보, 문화생활 및 다양한 분야의 뉴스를 입체적으로 전달하고 있습니다.

의료 인공지능(AI) 1호 상장기업 제이엘케이는 대뇌 백질 변성분석 AI 솔루션(JLK-WMH)의 급성 뇌졸중 환자 대상 뇌백질변성 정량 분석 연구 결과가 국제 학술지에 출판됐다고 22일 밝혔다. 이 논문에는 급성 뇌졸중 환자 8421명의 MRI 데이터를 AI에 학습시켜 만성 뇌 허혈 병변에 해당하는 백질 변성(WMH) 영역을 시각화하고 정량적으로 분석하는 'JLK-WMH'의 개발 과정과 성능 연구 등이 담겼다.
논문에 따르면 제이엘케이 AI 솔루션은 급성 뇌졸중 환자의 MRI 영상을 분석해 환자의 백질 변성 영역을 빠르고 정확하게 탐지하고 정량했다. 10년 이상의 경력을 보유한 전문의와의 정량 분석 일치도가 99%에 달했다. 제이엘케이는 치매 등 퇴행성질환의 조기 진단 및 연구에 널리 활용될 수 있을 것으로 기대했다.
주저자로 참여한 미국 서던캘리포니아대학의 김호성 교수는 "지금까지 인공지능 백질 변성 탐지 알고리즘 중 가장 많은 수의 뇌 영상을 이용해 세계 최고 수준의 정확도를 갖춘 알고리즘을 개발할 수 있었다"며"전문의 수준에서도 쉽지 않은 급성 뇌경색 병변과 만성 뇌 허혈 병변을 정확하게 구분할 수 있어 뇌졸중 환자의 예후 예측뿐만 아니라 치매 위험성 예측 등에도 널리 활용될 수 있을 것"이라고 설명했다.
해당 연구의 교신저자인 김동억 동국대 일산병원 교수(뇌졸중 중점연구소장)는 "백질 변성은 그 크기가 서서히 증가해 기존의 비정량적 방법을 이용할 경우 병변이 상당히 진행돼야만 그 변화를 탐지할 수 있었다"며 "JLK-WMH를 활용하면 아주 소량의 변화도 조기에 탐지할 수 있어 백질 변성을 보이는 환자의 진료에 많은 도움이 될 것으로 생각한다"고 전했다.
이어 "향후 소량의 백질 변성 변화가 치매 발생 위험도를 얼마나 높이는지 등에 관한 연구로 이어진다면 백질 변성 악화 예방을 통한 치매 조기 치료에도 일조할 수 있을 것"이라고 덧붙였다.
임재성 서울아산병원 신경과 교수(대한치매학회 정보이사)는 "우리나라 건강검진에 가장 많이 활용되는 영상, 그리고 고령의 환자에서 가장 흔하게 발견되는 병변을 빠르고 정확하게 정량분석 하는 솔루션이라 활용도가 광범위할 것으로 보인다"라며 "장기적으로는 뇌의 노화를 막기 위한 연구 개발의 중요한 도구가 될 것으로 예상된다"라고 밝혔다.
김동민 제이엘케이 대표는 "이번 JLK-WMH 논문 출판을 비롯해 제이엘케이 AI 솔루션의 우수성을 널리 알리는 등 앞으로도 전 세계 1위 의료 시장인 미국 시장의 성공적 진출을 위해 회사의 모든 역량을 집중해나갈 것"이라고 강조했다. 해당 논문은 미국신경두경부영상의학회가 발행하는 국제 학술지 '아메리칸 저널 오브 뉴로라디올로지'(American Journal of Neuroradiology)에 게재됐다.
박정렬 기자 parkjr@mt.co.kr
Copyright © 머니투데이 & mt.co.kr. 무단 전재 및 재배포, AI학습 이용 금지.
- 김성경, '♥3000억대 재력가'와 재혼…아들 첫 반응 "아싸" - 머니투데이
- 압구정 한복판서 납치당할 뻔한 여배우…"바닥에 질질 끌고 다녀" - 머니투데이
- 정정아, 3번 유산 뒤 얻은 아들인데…"자폐·지적장애 판정" 오열 - 머니투데이
- 박완규, 고교시절 인신매매 납치…"혈액 검사하니 수면제" - 머니투데이
- "카페 화장실서 큰일이 죄?" vs "커버에 묻히고 변기 막혔다" - 머니투데이
- [단독]대기업 공장, 지방으로? 땅 공짜 임대에 직원 주택 특공까지 '파격' - 머니투데이
- [영상]손주도 있는 유부남 프로골퍼, 여성 성추행에 폭행...'감형' 이유는 - 머니투데이
- 옷은 싹 다 벗고 신발만 신었다...대구 길거리 활보한 '알몸남' - 머니투데이
- "솔직히 예뻐, 인정?" 팬클럽마냥 우르르...'모텔 살인녀' 팔로워 폭증 - 머니투데이
- 출산 고통 아내 '23시간 생중계'한 남편..."신체 노출·기저귀 광고까지" - 머니투데이