머리카락 토했는데 목 안에서 자란 5cm 털... 30년 흡연자, 무슨일?

하루 한 갑의 담배를 피우던 오스트리아 남성이 목 안쪽에 털이 자라는 극히 보기 드문 합병증을 겪었다.
25일(현지시각) 뉴욕포스트 등에 따르면 30년간 담배를 피운 오스트리아 남성 A(52) 씨는 만성 기침과 쉰 목소리, 호흡 곤란 등의 증상을 호소하며 17년 전인 2007년 처음 병원을 찾았다. 한번은 기침하다가 5cm 길이의 머리카락이 튀어나오기도 했다고 한다.
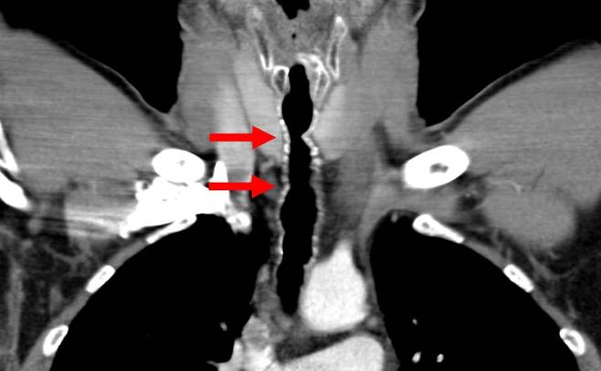
기관지 내시경 검사 결과 A씨의 과거 목 안에 수술했던 부위에서 염증과 여러 개의 털이 자라나는 것이 확인됐다. A씨는 기관 내 모발 성장, 즉 목구멍에 모발이 자라는 진단을 받았다.
의료진은 A씨가 10살 때 익사할 뻔했고, 응급처치로 후두가 손상된 후 기관절개술을 받은 점에 주목했다. 상처 부위는 귀의 피부와 연골을 자가 이식했는데, 털이 자란 것은 이 부위였다. 의사들은 털을 뽑아 제거했지만 이는 일시적인 해결책에 불과했다.
머리카락은 계속 자라났고, 환자는 같은 증상을 호소하며 10여년간 매년 병원을 찾아야 했다. A씨의 목에는 약 5cm 털이 6~9개가 반복적으로 자라났고 일부는 성대를 지나 입으로 뻗어 나갔다. 이 털이 박테리아로 덮여 있었기 때문에 항생제 치료까지 받아야 했다.
털이 계속 자라는 문제는 A씨가 흡연을 중단한 2022년에야 해결됐다. 의사들은 내시경 아르곤 플라즈마 응고술을 시행해 머리카락이 자라는 뿌리를 태웠다. 다음 해 두 번째 시술을 통해 모발이 자라는 현상이 완전히 사라졌다.
흡연으로 인한 기관 내 모발 성장은 극히 드문 현상이다. 보고서에 따르면 이는 의사들이 관찰한 두 번째 사례다. 의료진은 이 사례의 경우 흡연으로 인해 증상이 촉발됐을 것으로 추측했다. 실제로 전문가들에 따르면, 흡연이 목 안 조직에 염증을 일으킬 수 있으며 이로 인해 줄기세포가 모낭 즉, 모발이 자라는 세포 및 구조로 변할 가능성이 있다. 의료진은 “호흡기에 피부나 연골 이식을 받은 환자의 경우 금연이 매우 중요하다”고 했다.
이 사례는 지난 18일 ‘미국 사례 보고 저널(American Journal of Case Reports)’에 자세히 소개됐다.

Copyright © 조선일보. 무단전재 및 재배포 금지.
- 웃는 얼굴 뒤에 가려진 무자비함…두 얼굴의 맘다니
- 오스카 받은 숀펜, 시상식 대신 젤렌스키 만났다…“진정한 친구”
- 환율 다소 진정됐지만 유가 올라…2월 수입 물가 8개월 연속 상승
- 수압 약한 집도 시원한 물줄기, 샤워헤드 17일 20% 멤버십 특가 [조멤Pick]
- [함영준의 마음PT] 생각에서 한 발짝 물러나라. 삶의 생기가 돌아온다
- 삼성·SK하이닉스, GTC2026 참가...메모리 경쟁력 선보여
- 혈당·혈행·혈압 3중 관리 ‘코큐텐’ 3개월 분 1만8900원 초특가
- 암 진단 받은 백악관 실세… 트럼프 “치료받으며 근무” 쾌유 기원
- 갈수록 첨단화… 美·이란 전쟁 이끄는 ‘AI 주식’에 주목하라
- 매일 새벽 수매한 여수 갈치, 가시 완벽 제거해 집까지 배송