배 아파 병원 갔더니…장에서 50㎝ 기생충 나온 30대 여성
전체 맥락을 이해하기 위해서는 본문 보기를 권장합니다.
싱가포르에서 2년간 가사도우미로 근무한 한 30대 필리핀 여성의 장에서 50㎝가 넘는 길이의 기생충이 발견됐다.
9일 최근 국제외과학회지 보고서에 따르면 싱가포르 현지에서 2년간 가사도우미로 일하던 36세 필리핀 여성 A씨가 10일에 걸친 피가 섞이지 않은 설사, 복부팽만, 발열 등의 증상이 계속돼 응급실을 찾았다.
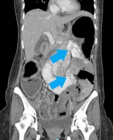
싱가포르 창이종합병원 의료진은 처음에는 A씨에게 위장염 진단을 내렸으나 이후 복부와 골반 CT 촬영 결과 대장 일부가 심하게 확장된 것을 발견했다.
이 글자크기로 변경됩니다.
(예시) 가장 빠른 뉴스가 있고 다양한 정보, 쌍방향 소통이 숨쉬는 다음뉴스를 만나보세요. 다음뉴스는 국내외 주요이슈와 실시간 속보, 문화생활 및 다양한 분야의 뉴스를 입체적으로 전달하고 있습니다.
![[서울=뉴시스] 싱가포르에서 2년간 가사도우미로 근무한 한 30대 필리핀 여성의 장에서 50cm가 넘는 길이의 기생충이 발견됐다. (사진= 국제외과학회지 사례보고서) *재판매 및 DB 금지](https://img1.daumcdn.net/thumb/R658x0.q70/?fname=https://t1.daumcdn.net/news/202406/09/newsis/20240609003007007mlvp.jpg)
[서울=뉴시스] 최윤서 인턴 기자 = 싱가포르에서 2년간 가사도우미로 근무한 한 30대 필리핀 여성의 장에서 50㎝가 넘는 길이의 기생충이 발견됐다.
9일 최근 국제외과학회지 보고서에 따르면 싱가포르 현지에서 2년간 가사도우미로 일하던 36세 필리핀 여성 A씨가 10일에 걸친 피가 섞이지 않은 설사, 복부팽만, 발열 등의 증상이 계속돼 응급실을 찾았다.
싱가포르 창이종합병원 의료진은 처음에는 A씨에게 위장염 진단을 내렸으나 이후 복부와 골반 CT 촬영 결과 대장 일부가 심하게 확장된 것을 발견했다.
또 입원 후 정밀 검사 결과 A씨의 백혈구 수치가 증가해 있었고, 복막염·패혈증 소견도 보였다고 한다. 의료진은 A씨가 기생충에 감염된 것 같다고 판단해 긴급 수술을 진행했다.
![[서울=뉴시스] 사진은 심하게 확장된 여성 A씨의 장. (사진= 국제외과학회지 사례보고서 캡처) *재판매 및 DB 금지](https://img3.daumcdn.net/thumb/R658x0.q70/?fname=https://t1.daumcdn.net/news/202406/09/newsis/20240609003007129znsn.jpg)
응급개복술 시행 결과 의료진은 A씨의 장 수많은 부위에 궤양, 천공(구멍)이 생긴 것을 확인했다. 이로 인한 고름성 복막염도 번진 상태였다.
특히 대장을 절제하자 50㎝가 넘는 성체 촌충이 있었다. 촌충은 테이프나 리본 형태처럼 보이는 길고 평평한 모양의 기생충이다.
긴 것은 길이가 4.5~9m 이상으로 알려졌다. 주로 소나 돼지, 민물 어류 등에 기생하며 자란다. 이런 음식을 덜 조리해 먹을 경우 촌충의 알이 내장에 침투해 부화한 뒤 장 내벽에 붙어 성장할 위험이 있다. 촌충 알에 오염된 음식을 먹어도 문제다.
실제로 A씨는 복통을 앓기 전 필리핀 전통요리인 ‘킬라윈’을 먹었다고 한다. ‘킬라윈’(Kilawin)은 생선, 어패류, 반만 익힌 돼지 내장과 고기에 식초를 섞어 만든 음식이다.
기생충 제거 수술을 받은 A씨는 알벤다졸, 프라지콴텔 등 구충제를 복용한 뒤 건강을 무사히 회복해 필리핀으로 돌아갔다.
이 사례는 국제적으로도 희귀해 국제외과학회지 사례보고서에도 게재됐다.
의료진은 해당 보고서를 통해 "촌충 등의 감염으로 인해 초반엔 증상이 없을 수 있으나 약 10~25% 환자는 균이 장 점막을 침범하면서 위장 이상 증상이 나타난다”며 “대표적인 것이 복통, 설사이며 환자의 30%는 발열 증상을 보인다”고 설명했다.
☞공감언론 뉴시스 cys@newsis.com
Copyright © 뉴시스. 무단전재 및 재배포 금지.
- '과즙세연 남친' BJ케이, 여성편력·코인선취매 논란 재소환
- 이휘재, 캐나다 목격담 파묘 "무시하는 눈빛 기분 나빴다"
- '혼전임신' 김지영, 딸 얼굴 공개
- 윤도현 "건강검진서 희소암 발견" 의사 첫마디는…
- 탁재훈, '결정사' 가입 비용은?…"1억원 정도"
- BTS 공연장 미스터리…사라진 팔찌 500개 진짜 목적은?
- '100억 건물주' 장성규, 로또 당첨…"좋은 기운 퍼지길"
- '장인상' 이상순, DJ석 비운다…'부친상' 이효리 곁 지켜
- '9월 결혼' 류화영, 예비 남편 공개…등산 데이트 포착
- 임영웅, 지난해 정산금 145억원…배당 포함 155억원