잇몸 아프고 염증·부종·물혹 생겼다면··· 숨어 있는 ‘이것’ 때문일 수도
맹출할 땐 치주염·치관주위염
“인접 치아 위해 발치할 수도”

매복해 있다 통증을 유발하는 사랑니는 잇몸 부종과 염증을 유발하는 원인이 될 수 있으므로 주의가 필요하다. 전문가들은 사랑니가 인접한 치아를 손상시키거나 물혹·종양까지 발생하게 만들면 발치가 필요하다고 조언한다.
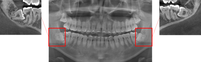
사랑니는 치아가 기능하는 정상적인 위치까지 이동하는 ‘맹출’ 과정이 가장 늦게 진행된다. 보통은 10대 후반에서 20대 초반에 사랑니가 맹출하는 경우가 많다. 하지만 치아가 밖으로 나올 공간은 부족한 데다, 위치도 가장 뒤편이어서 바르게 자라나지 못하는 경우가 대부분이다.
사랑니는 잇몸을 뚫고 나오는 방향이 비뚤어진 경우는 물론이고, 잇몸 안에 매복해 있을 때도 가까이 있는 치아의 우식(충치)을 일으키기 쉽다. 평소 증상이 없으면 존재 자체를 인지하지 못할 때가 많지만 비스듬하거나 수평인 방향으로 맹출하면 잇몸이 붓고 통증을 유발하는 치주염이나 치관주위염을 유발하기도 한다. 특히 치아머리 주변에 염증이 생기는 치관주위염은 심할 경우 입을 잘 벌리기 어려운 개구 장애까지 불러올 수 있다.
사랑니를 반드시 빼야 하는 상태로는 인접 치아가 손상되거나 그럴 가능성이 높을 때, 또는 치관주위염과 낭종(물혹), 종양이 발생한 경우가 대표적이다. 서미현 서울대치과병원 원스톱협진센터 교수(구강악안면외과 전문의)는 “발치 후 통증은 불가피하게 나타날 수 있으며, 증상의 정도는 보통 발치 당일 가장 심할 수 있다”며 “발치 후 마취가 풀리기 전에 처방받은 약을 복용하되, 그래도 통증이 심하다면 담당 치과의사와 상의해 추가적인 진통소염제 복용을 고려할 수 있다”고 말했다.
대부분의 사랑니 발치는 부분 마취 하에 이뤄진다. 환자가 시술에 대해 두려움이 크거나 시술 중의 통증 조절이 필요할 때, 매복된 사랑니의 깊이가 깊거나 발치 어려움이 클 때는 부가적인 마취 방법이 필요할 수도 있다. 의식이 있는 상태로 진행되는 ‘의식하 진정 마취’ 상태로 발치를 진행하면 한 번에 부분 마취보다 긴 시간 동안 많은 치료를 할 수 있다. 환자의 수술 공포심이 크거나 낭종·종양 등이 동반된 경우엔 전신마취를 하기도 한다.
특히 낭종·종양과 관련될 수 있는 매복된 사랑니는 겉으로 드러나는 증상이 잘 발견되지 않더라도 예방적인 차원에서 제거할지를 판단할 때도 있다. 서 교수는 “사랑니는 비정상적인 맹출로 관리가 어렵고, 실제 기능을 하지 않는 경우가 많아 인접 치아의 관리를 위해 발치가 필요한 경우가 많다”며 “사랑니로 인한 증상과 통증이 없다고 해서 문제가 없는 것이 아니므로 구강악안면외과 전문의와 상담하거나 주기적인 검진이 꼭 필요하다”고 말했다.
김태훈 기자 anarq@kyunghyang.com
Copyright © 경향신문. 무단전재 및 재배포 금지.
- 육우인데 한우라고?…춘천 유명레스토랑 스테이크 원산지 속여 징역형
- 회색 고기에 당근 뿐?···중동 배치 미군 식사 사진 논란
- 고양 10층 건물 옥상서 고등학생 추락사···경찰 조사
- 백신도 안 통하나···새 코로나 변이 ‘매미’ 한국 등 33개국서 확인
- 영국해사무역기구 “이란 혁명수비대, 호르무즈서 유조선에 발포”
- ‘예수 행세 논란’ 트럼프, 마라톤 성경 낭독 행사 참여
- ‘유명 인플루언서 수사 무마 의혹’ 경찰청 경정 직위해제
- ‘BJ 추행 혐의’ 유명 걸그룹 멤버 친오빠 구속영장 검찰서 반려
- 이 대통령과 90분간 ‘막걸리 오찬’…홍준표 의미심장 SNS에 입각설 재점화
- 치매 어머니 험담에 “죽여버리겠다”…친구에게 흉기 휘두른 50대 항소심도 실형