골다공증 나으려 먹은 약이 턱뼈 괴사시킨다?
전체 맥락을 이해하기 위해서는 본문 보기를 권장합니다.
요즘 치과 선생님들 사이에는 골칫거리가 하나 있다.
치과 치료 후 발생할 수 있는 무서운 부작용인 '턱뼈 괴사'(ONJ, osteonecrosis of the jaw)가 골다공증약(비스포스포네이트)을 복용한 환자에서 생기는 것이다.
경구약 복용 후 턱뼈 괴사 발생빈도는 0%에서 4.3%까지 다양하게 보고되고 있는데 [23], 보고자의 임상 경험에 따라 수치는 아주 다르다.
이 글자크기로 변경됩니다.
(예시) 가장 빠른 뉴스가 있고 다양한 정보, 쌍방향 소통이 숨쉬는 다음뉴스를 만나보세요. 다음뉴스는 국내외 주요이슈와 실시간 속보, 문화생활 및 다양한 분야의 뉴스를 입체적으로 전달하고 있습니다.
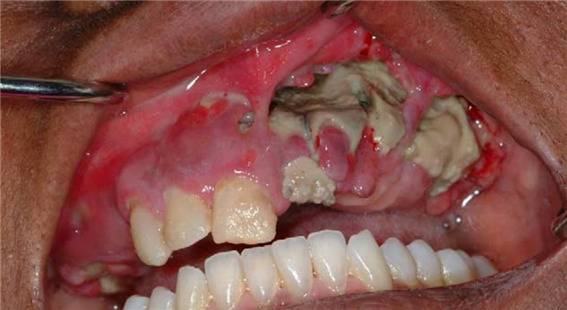
![[사진=게티이미지뱅크]](https://img4.daumcdn.net/thumb/R658x0.q70/?fname=https://t1.daumcdn.net/news/202404/04/KorMedi/20240404160113659zlba.jpg)
요즘 치과 선생님들 사이에는 골칫거리가 하나 있다. 치과 치료 후 발생할 수 있는 무서운 부작용인 '턱뼈 괴사'(ONJ, osteonecrosis of the jaw)가 골다공증약(비스포스포네이트)을 복용한 환자에서 생기는 것이다.
이를 뽑은 후 상처가 아물지 않고 고름이 나오고 턱뼈가 무너져 내려 치료가 매우 힘들고 심지어는 턱뼈를 잘라내는 경우도 있다 하니 끔찍한 일이다.

약을 먹어본 분들은 이미 알고 있겠지만, 이 약의 복용법은 상당히 까다롭다. 반드시 아침 식전 공복에 다량의 물과 함께 복용해야 하고, 복용 후 최소 30분 이상 누우면 안 되고 서거나 앉아 있어야 한다.
그리고 취침 전에 복용하면 절대 안 된다. 왜냐면 약이 너무 독해 위벽을 허물어 궤양이 생길 수 있기 때문이다. 약 설명서에 "식도궤양, 위궤양 등 심각한 부작용이 생길 수 있으니 주의하라"고 나와 있다.
이렇게 독한 약을 들어본 적이 있는가? 필자는 의사 생활 30년간 이런 약은 처음이다. 왜 이렇게 독할까?
애당초 이 약은 인체에 사용할 목적으로 만든 약이 아니고, 금속의 녹을 방지하는 산업용 화학약품이기 때문이다 [1].
1995년에 출시된 포사맥스 등 골다공증약들은 위장장애가 너무 심해 사람들이 약 먹길 꺼렸다. 실제로 매일 먹는 약이면 환자의 70%, 1주일에 한 번 먹는 약이면 환자의 60%에서 1년 내 약 복용을 중단한다 [2, 3].
제약회사 처지에서 볼 땐 손실이 컸기에 주사제를 개발해 내었다. 2003년, 3개월에 한 번 맞는 주사인 본비바(Bonviva, ibandronate)가 나왔다. 그런데 이 약이 척추골절 예방 효과는 다소 있었지만, 고관절 골절 예방에는 별 효과가 없어 인기가 적었다 [4].
그러자 2007년 좀 더 강력한 주사약이 나왔다. 1년에 한 번만 맞으면 되는 기적 같은 약물이고, 이름은 졸레드론산(zoledronic acid)이다 [5].
이런 주사약들은 경구약의 문제인 위장장애는 피했지만, 또 다른 문제가 생겼다. 주사 후 근육통, 관절통, 독감 유사증상이 흔히 나타났고, 심각한 부작용인 턱뼈 괴사의 빈도가 늘어난 것이다.
금속 녹 없애는 화학약품으로 만들었다고?
턱뼈 괴사 보고가 처음 나온 건 2003년이었다. 골다공증약 장기사용 시 생길 수 있는 아주 드문 합병증으로 보고되었다 [6, 7, 8].
하지만 2004년부터 많은 증례가 연이어 발표되면서 턱뼈 괴사에 대해 우려가 점점 고조되었다 [9, 10, 11, 12, 13, 14, 15, 16].
턱뼈 괴사가 발생한 대상이 주로 고용량 주사제를 사용한 암 환자들이었고, 일반인에게서의 발병은 비교적 드물었다. 하지만 치과의사들의 우려를 덜어주기 위해 2005년 말과 2006년 두 차례에 걸쳐 미국치과협회(American dental association)는 특별한 발표를 했다.
턱뼈 괴사는 연간 10만 명당 불과 0.7명의 낮은 발병 빈도라 통계학적 의미가 없고, 주사제가 빈도를 높인다는 보고는 있으나 경구용 약제는 큰 걱정 할 필요가 없어, 환자의 치과 치료 방법을 조정하거나 중지할 필요가 없다는 것이었다 [17, 18]. 또 2008년도엔 한 번 더 턱뼈 괴사의 빈도는 매우 낮으니 경구약 복용자는 걱정할 필요가 없다고 재차 강조했다 [19].
하지만 2009년 미국 로스앤젤레스(LA) 남가주(Southern California)대 치대에서 발표한 보고는 가히 충격적이었다. 골다공증 주사제가 아닌 약을 먹은 환자의 4%에서 치과 치료 후 턱뼈 괴사가 생겼고, 심지어 일반적인 통념인 장기 사용자에 국한되는 게 아니라, 단기간(12개월) 사용한 사람에게서도 턱뼈 괴사가 생겼다고 했다 [20].
"4% 빈도는 큰 문제가 아니"라고 생각하실 분도 있겠지만, 골다공증약의 대표주자인 포사맥스의 경우 약 복용 후 골절 빈도를 얼마나 줄였을까?
먹는 약인 포사맥스를 2년간 투여 후, 고관절 골절 빈도를 불과 0.4%(대조군 0.8%, 투약군 0.4%) 줄였고 [21], 주사약인 졸레드론산은 3년간 투여 시 고관절 골절 빈도를 1.1%(대조군 2.5%, 투약군 1.4%) 줄이고는 "성공적"이라 홍보했다. 현재도 전 세계적으로 엄청난 매출을 올리고 있다 [22].
경구약 복용 후 턱뼈 괴사 발생빈도는 0%에서 4.3%까지 다양하게 보고되고 있는데 [23], 보고자의 임상 경험에 따라 수치는 아주 다르다. 어느 수치를 믿을 것인지는 독자 여러분의 선택이다.
송무호 의학박사·정형외과 전문의

참고문헌
1. GA Rodan, HA Fleisch. Bisphosphonates: mechanisms of action. The Journal of clinical investigation 1996;97(12):2692-2696.
2. JA Cramer, DT Gold, SL Silverman, EM Lewiecki. A systematic review of persistence and compliance with bisphosphonates for osteoporosis. Osteoporosis International 2007;18(8):1023-1031.
3. SL Silverman, JT Schousboe, DT Gold. Oral bisphosphonate compliance and persistence: a matter of choice? Osteoporosis international 2011;22:21-26.
4. CA Inderjeeth, P Glendenning, S Ratnagobal, et al. Long-term efficacy, safety, and patient acceptability of ibandronate in the treatment of postmenopausal osteoporosis. International Journal of Women's Health 2015;7:7-17.
5. DM Black, PD Delmas, R Eastell, et al. Once-yearly zoledronic acid for treatment of postmenopausal osteoporosis. N Engl J Med 2007;356:1809-1822.
6. B Mehrotra, J Fantasia, S Nissel-Horowitz, et al. Osteonecrosis of the maxilla: an unusual complication of prolonged bisphosphonate therapy. A case report. Proc Am Soc Clin Oncol 2003;22:795.
7. TJ Rosenberg, S Ruggiero. Osteonecrosis of the jaws associated with the use of bisphosphonates J Oral Maxillofac Surg 2003;61(8):60.
8. RE Marx. Pamidronate (Aredia) and zoledronate (Zometa) induced avascular necrosis of the jaws: a growing epidemic. J Oral Maxillofac Surg 2003;61(9):1115.
9. MS Greenberg. Intravenous bisphosphonates and osteonecrosis. Oral Surg Oral Med Oral Pathol Oral Radiol Endond 2004;93:259-260.
10. SL Ruggiero, B Mehrotra, TJ Rosenberg, S Engroff. Osteonecrosis of the jaws associated with the use of bisphosphonates: a review of 63 cases. J Oral Maxillofac Surg 2004;62:527-534.
11. HC Schwartz. Osteonecrosis and bisphosphonates: correlation versus causation. J Oral Maxillofac Surg 2004;62:763-764.
12. S Ruggiero, V Woo. B Mehrotra, J Fantasia. Osteonecrosis of the jaws associated with the use of bisphosphonate medications: a report of 60 cases. Oral Surg Oral Med Oral Pathol Oral Radiol Endod 2004;98:196.
13. CL Estillo, T Williams, E Evtimovska, et al. Osteonecrosis of the maxilla and mandible: possible drug-induced complication of bisphosphonate therapy. Oral Surg Oral Med Oral Pathol Oral Radiol Endod 2004;97:449.
14. CA Migliorati, MM Schubert, DE Petersen, LM Seneda. Bisphosphonate-associated osteonecrosis of mandibular and maxillary bone. An emerging oral complication of supportive cancer therapy. Cancer 2005;104:83-93.
15. AM Vannucchi, G Ficarra, E Antonioli, A Bosi. Osteonecrosis of the jaw associated with zoledronate therapy in a patient with multiple myeloma. Br J Haematol 2005;128:738.
16. JW Hellstein, CL Marek. Bisphosphonate osteonecrosis (bis-phossy jaw): is this phossy jaw of the 21st century? J Oral Maxillofac Surg 2005;63:682-689.
17. CA Migliorati, J Casiglia, J Epstein, et al. Managing the care of patients with bisphosphonate-associated osteonecrosis: an American Academy of Oral Medicine position paper. The Journal of the American Dental Association 2005;136(12):1658-1668.
18. American Dental Association Council on Scientific Affairs. Dental management of patients receiving oral bisphosphonate therapy: expert panel recommendations. JADA 2006;137(8):1144-1150.
19. BJ Edwards, JW Hellstein, PL Jacobsen, et al. Updated recommendations for managing the care of patients receiving oral bisphosphonate therapy: an advisory statement from the American Dental Association Council on Scientific Affairs. JADA 2008;139(12):1674-1677.
20. PP Sedghizadeh, K Stanley, M Caligiuri, et al. Oral bisphosphonate use and the prevalence of osteonecrosis of the jaw: an institutional inquiry. The Journal of the American Dental Association 2009;140(1):61-66.
21. SE Papapoulos, SA Quandt, UA Liberman, et al. Meta-analysis of the efficacy of alendronate for the prevention of hip fractures in postmenopausal women. Osteoporosis International 2005;16:468-474.
22. DM Black, PD Delmas, R Eastell, et al. Once-yearly zoledronic acid for treatment of postmenopausal osteoporosis. N Engl J Med 2007;356:1809-1822.
23. S Kühl, C Walter, S Acham, et al. Bisphosphonate related osteonecrosis of the jaws - a review. Oral Oncology 2012;48(10):938-947.
송무호 의무원장 (mhsong21@hanmail.net)
Copyright © 코메디닷컴. 무단전재 및 재배포 금지.
- "유두나 점 위 털도?"...족집게로 절대 뽑아선 안 되는 털 6 - 코메디닷컴
- "여자의 적은 여자?"...女자존감 낮을수록 女뒷담화 많이한다 - 코메디닷컴
- "이거 진짜?" 탈모였는데 6주만에 풍성...비결 3가지, 뭐길래? - 코메디닷컴
- 65세 넘으면 약간의 살집이 있어야 한다? '이 병' 때문 - 코메디닷컴
- 박나래, "살 빼니까 늙어보여"...노안은 다이어트 부작용? - 코메디닷컴
- "남만큼 먹고 운동하는데"...나만 살 안빠지면 ‘이것’ 탓? - 코메디닷컴
- "살만 빼주는 게 아니었네"...매일 '이것' 콜레스테롤까지 뚝! - 코메디닷컴
- 파인애플 자주 먹었더니...몸속 염증에 변화가? - 코메디닷컴
- "40대라서?" 근육은 쑥 빠지는데 뱃살은 안빠지네, 왜? - 코메디닷컴
- 내 핏속 기름기 없애려면?... '이런 식품' 가까이 하라 - 코메디닷컴