뷰노, 디알젬과 의료 AI 공급 계약 체결…해외국가에 판매 속도
전체 맥락을 이해하기 위해서는 본문 보기를 권장합니다.
의료 인공지능(AI) 기업 뷰노(338220)는 의료 진단용 엑스레이 시스템 전문 기업 디알젬(263690)과 AI 프로그램 기본 탑재 공급 계약을 체결했다고 19일 밝혔다.
이번 계약으로 뷰노는 AI 기반 흉부 엑스레이 판독 보조 의료 소프트웨어 '뷰노메드체스트 엑스레이'를 디알젬에 공급한다.
디알젬은 전체 엑스레이 장비 라인업에 뷰노의 AI를 기본 탑재해 국내와 해외 주요 국가에 판매할 예정이다.
이 글자크기로 변경됩니다.
(예시) 가장 빠른 뉴스가 있고 다양한 정보, 쌍방향 소통이 숨쉬는 다음뉴스를 만나보세요. 다음뉴스는 국내외 주요이슈와 실시간 속보, 문화생활 및 다양한 분야의 뉴스를 입체적으로 전달하고 있습니다.
B2B 사업 강화…북미·유럽·중동 등 디알젬 해외 네트워크 활용

(서울=뉴스1) 황진중 기자 = 의료 인공지능(AI) 기업 뷰노(338220)는 의료 진단용 엑스레이 시스템 전문 기업 디알젬(263690)과 AI 프로그램 기본 탑재 공급 계약을 체결했다고 19일 밝혔다.
이번 계약으로 뷰노는 AI 기반 흉부 엑스레이 판독 보조 의료 소프트웨어 ‘뷰노메드체스트 엑스레이’를 디알젬에 공급한다. 디알젬은 전체 엑스레이 장비 라인업에 뷰노의 AI를 기본 탑재해 국내와 해외 주요 국가에 판매할 예정이다.
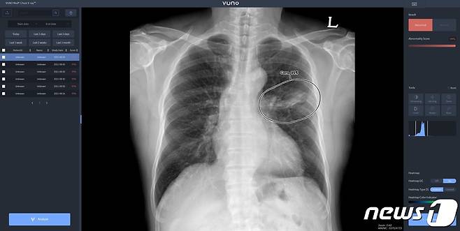
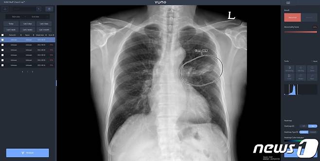
뷰노메드스트 엑스레이는 흉부 엑스레이 영상에서 결절, 경화, 간질성 음영, 흉수, 기흉 등 주요 이상소견을 높은 정확도로 탐지하는 AI다. 의료진에게 이상소견의 소견명과 위치를 제시해 결핵, 폐렴 등 주요 폐질환 진단을 돕는다. 경량화된 모델로 개발돼 다양한 엑스레이 장비에 쉽게 연동할 수 있다.
디알젬은 전 세계 진단용 일반 엑스레이 시장에서 연간 생산량 1위를 기록하는 등 높은 점유율을 기록하고 있는 국내 대표 의료 장비 기업이다. 이동형, 고정형, 천장형, 휴대형 등 의료 현장 수요의 최적화된 다양한 제품군과 더불어 전 세계 약 120개국 200개의 딜러를 보유하고 있다.
디알젬은 우수한 기술력과 품질을 인정받아 UN 산하 기구 UN 프로젝트 조달 기구(UNOPS)의 공식 장기 공급계약 업체로 선정됐다. 늘어난 생산량에 대응하기 위해 지난해 10월 김천공장을 추가로 준공하고 연간 1만2000대의 생산 능력을 더 확보하는 등 성장세를 이어가고 있다.
계약에 따라 두 기업은 AI가 기본 탑재된 엑스레이 장비를 북미와 유럽, 중동 등 기존 디알젬의 글로벌 네트워크를 활용해 판매할 방침이다. AI가 탑재된 제품은 엑스레이 촬영과 동시에 AI로 분석된 결과를 한 번에 쉽게 확인할 수 있다. AI 활용 경험이 없는 국내외 신규 고객의 유입이 활발할 것으로 기대된다.
이예하 뷰노 대표는 “이번 디알젬과의 협업을 통해 B2B 사업을 강화하는 동시에 우수한 임상적 유효성과 제품 연동성을 입증해 온 뷰노메드스트 엑스레이를 국내외 더 많은 고객에게 선보일 수 있게 됐다”면서 “해외 성과를 늘리기 위해 제품별로 사업 전략을 다각화하고, 영업과 마케팅을 지속 강화할 계획이다”라고 말했다.
박정병 디알젬 대표는 “지난 수개월간 해외 병원을 대상으로 뷰노의 AI에 대한 검증을 마친 바 있다”면서 “전체 엑스레이 장비 라인업에 AI를 탑재함으로써 보다 완성도 높은 제품을 선보일 수 있게 된 만큼, 적극적인 영업을 전개하는 한편 그간 전 세계 고객들에게 받아온 신뢰를 이어갈 수 있도록 계속 노력하겠다”고 강조했다.
jin@news1.kr
Copyright © 뉴스1. All rights reserved. 무단 전재 및 재배포, AI학습 이용 금지.
- 9살 때 발육 멈춘 40대 배우, 고교 동창과 결혼…"어머니와 아들 같다" 조롱
- 가족 버린 노름꾼 아빠…유언장엔 "재산 모두 내연녀에게" 충격
- 홀로 키운 외동딸 탈탈 털어 시집보냈는데…"병원비 좀" 부탁하자 모른 척
- '나솔' 31기 순자 위경련 고통에도…영숙 "나도 오열해?" 싸늘 반응 [N이슈]
- "소녀가장이래, 마음껏 태움해도 못 나가"…신입 간호사 폭로 글 시끌
- '충주걸' 최지호 "충주맨 김선태, 광고 단가가 1억?…혼자 잘 사니 좋냐"
- 홍현희 "임신했더니 동기가 기 받게 '속옷' 달라고…빨면 안 된다더라"
- 고개 빳빳이 카메라 응시…'여고생 살해' 23세 장윤기 구속송치(종합)
- "일과시간 계약직 화장실 사용 경멸한다"…새 직장 지사장 말에 분노
- 불법 촬영 신고한다는 여친 폭행…"너 때려서 미안한데 해봐"[영상]