‘점 빼기 크림’이라기에 사서 발랐더니 피부 괴사…日서 피해사례 다수 발생
전체 맥락을 이해하기 위해서는 본문 보기를 권장합니다.
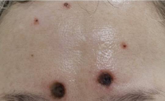
중국 직구 사이트 '알리익스프레스'에서 '점 빼기 크림'을 구매했다가 피부가 괴사하는 사례가 일본에서 다수 발생해 현지 당국이 주의를 당부하고 나섰다.
19일 현지 매체 등에 따르면 최근 일본국민소비생활센터(NCAC)는 최근 소셜네트워크서비스(SNS) 등에서 광고하는 일명 '점 연고'를 얼굴에 발랐다가 화상을 입는 사례가 5건 보고됐으며 이중 4건에서 심각한 피부 손상이 발생했다고 밝혔다.
이 글자크기로 변경됩니다.
(예시) 가장 빠른 뉴스가 있고 다양한 정보, 쌍방향 소통이 숨쉬는 다음뉴스를 만나보세요. 다음뉴스는 국내외 주요이슈와 실시간 속보, 문화생활 및 다양한 분야의 뉴스를 입체적으로 전달하고 있습니다.

중국 직구 사이트 ‘알리익스프레스’에서 ‘점 빼기 크림’을 구매했다가 피부가 괴사하는 사례가 일본에서 다수 발생해 현지 당국이 주의를 당부하고 나섰다.
19일 현지 매체 등에 따르면 최근 일본국민소비생활센터(NCAC)는 최근 소셜네트워크서비스(SNS) 등에서 광고하는 일명 ‘점 연고’를 얼굴에 발랐다가 화상을 입는 사례가 5건 보고됐으며 이중 4건에서 심각한 피부 손상이 발생했다고 밝혔다.
해당 제품은 연회색의 크림으로 작은 병에 한자로 ‘점지고’라고 적혀 있다. SNS 등에서 피부에 바르면 점·사마귀·기미 등이 제거된다고 홍보 중이다.
한 70대 여성은 지난 5월 이마에 난 점에 이 크림을 발랐다가 피부색이 변하고 일부가 괴사하는 피해를 당했다. 이 여성은 제품 사용법을 따라 점 위에 크림을 약 20분가량 방치했는데, 피부가 붉어지며 부어오르기 시작했다. 또 다른 소비자도 지난 6월 이 크림을 얼굴 점에 발랐다가 즉시 타는 듯한 통증을 느끼고 피부에 화상을 입었다. 한 50대 여성은 지난 7월 이 크림을 면봉에 덜어 코 주위 얼룩과 점에 세게 문질러 발랐다가 화상을 입었다.

NCAC는 신고 접수 즉시 해당 크림을 회수해 검사한 결과, pH 14 수준의 강알카리성인 것으로 나타났다. 물은 pH 7로 중성인데, 해당 크림은 양잿물 수준으로 강한 부식성을 지닌 것이다. 이 크림의 주요 성분은 산화칼슘과 수산화나트륨이었다. NCAC 측은 "이 크림은 피부에 심각한 손상을 입힐 수 있으며, 눈에 들어갈 경우 심각한 눈 손상을 일으킬 수 있다"며 "SNS상에서 확인되지 않은 의약품이나 화장품을 구매하는 것은 삼가야 한다"고 당부했다.
곽선미 기자
Copyright © 문화일보. 무단전재 및 재배포 금지.
- 달리는 고속버스에 날아온 루프톱텐트…대형사고 발생
- 원주 18층 아파트 옥상서 애정행각 벌인 젊은 남녀 목격
- “수안보 온천 여탕에 남성들 불쑥”…알몸상태 30대女 경찰 신고
- 시동생을 성폭행한 것도 모자라 출산까지 한 30대 여성
- 이재용 딸과 임세령, 블랙핑크 리사와 식사…태국 미셰린 식당서 포착
- “판 바꿀 수 있는 적임자”… 與, ‘한동훈 추대’ 사실상 결론
- 동계 훈련 앞두고 ‘고깃값’ 벌러 돈 빌리러 다니는 북한 장교들...“군 내부 재정난 심각”
- 한파 속 설악산 오른 남녀 산악회원…숨진 채 발견
- [단독]“저 빗썸 정팀장인데요”… 믿었는데 다 털렸다
- ‘14세’ 김규래, 20대 스태프와 열애설… “법적 조치 검토”