[스타트업-ing] 팬토믹스 “영상 바이오마커 기술로 신속하고 정확한 비침습 진단 실현”
[IT동아 한만혁 기자] 비침습 진단은 신체에 구멍을 내거나 절개하지 않고 진단하는 방식이다. 엑스레이(X-ray), 자기공명영상(MRI), 전산화단층촬영(CT) 등이 대표적인 비침습 진단 기술이다. 신체에 상처를 낼 수밖에 없는 침습 방식에 비해 통증도 없고 편하지만, 침습 진단에 비해 정확도는 떨어진다. 하지만 최근에는 기술의 발전으로 비침습 진단의 범위와 정확도가 향상되고 있다.
팬토믹스(Phantomics)는 MRI나 CT 등 의료 영상을 통해 신속하고 정확한 진단 결과를 제공하는 영상 바이오마커 기술을 보유하고 있는 바이오 스타트업이다. 이 기술을 기반으로 심근질환 진단 솔루션 ‘마이오믹스(Myomics)’를 선보였다. 펜토믹스는 신속하고 정확한 비침습 진단 솔루션의 범위를 심혈관, 간, 근감소 질환 등으로 확장하고 기술을 고도화하기 위해 연구 개발을 지속하고 있다.
김판기 팬토믹스 대표를 만나 영상 바이오마커 기술과 현재 제공하고 있는 서비스에 대한 이야기를 나눴다.

영상 바이오마커 표준화 기술로 창업
IT동아: 안녕하세요, 김판기 대표님. 소개 부탁드립니다.
김판기 대표: 안녕하세요. 팬토믹스 김판기입니다. 저는 광운대학교에서 공학박사 학위를 취득하고 서울대학교 병원과 듀크대학교 병원에서 박사후연구원으로 심장 의료 영상 관련 연구를 진행했습니다. 2014년에는 연세대학교 신촌 세브란스 병원 방사선의과학 연구소에서 연구교수로 재직했습니다.
공동대표인 최병욱 대표는 연세대학교 의과대학 졸업 후 연세대학교 신촌 세브란스 병원의 심장흉부영상의학과 의사로 25년 이상 재직 중입니다. 대한의료인공지능학회 회장, 아시아 심장혈관영상의학회 부회장, 한국보건산업진흥원 R&D 진흥 본부장 등 다양한 주요 직책을 역임했습니다.
IT동아: 팬토믹스를 설립한 계기는 무엇인가요?
김판기 대표: 심장질환을 비침습적으로 진단하기 위해 사용하는 영상 바이오마커는 임상적인 근거가 매우 높지만, 경험 많은 전문가가 분석해야 하고 MRI나 CT 장비 제조사에 따라 측정값이 다르다는 단점이 있습니다.
이런 부분에서 문제점을 인식하고 있던 차에 2017년 보건복지부 과제로 영상 바이오마커 표준화에 대한 연구를 한국표준과학연구원과 공동으로 수행하게 되었습니다. 저희가 이 과제를 진행하면서 표준화 방법을 개발했고 이것을 상용화하면 의사의 시각적 경험에 의존하던 영상 진단을 객관적인 지표 기반으로 전환할 수 있겠다고 생각했습니다. 파급 효과가 적지 않을 것 같았어요. 그래서 2019년 9월 팬토믹스를 설립했습니다.
팬토믹스는 실체가 없는 것을 의미하는 ‘Phantom’과 전체를 다루는 것을 의미하는 'Omics’의 합성어입니다. 의료 영상을 활용해 비침습적인 방법으로 조직검사 수준의 정확도를 갖는 진단 결과와 예후 예측을 수행하는 디지털 진단 솔루션이라는 의미를 담았어요.
조직검사급 비침습 진단 기술
IT동아: 팬토믹스에 대해 소개 부탁드립니다.
김판기 대표: 저희는 MRI와 CT 등 의료 영상으로 조직검사급 진단 결과를 제공하는 영상 바이오마커 기술을 개발하고 있습니다.
바이오마커는 단백질이나 DNA, 대사 물질 등을 통해 몸 안의 변화를 알 수 있는 지표를 말합니다. 이를 이용하면 질병 여부를 확인할 수 있어요. 영상 바이오마커는 의료 영상에서 얻을 수 있는 바이오마커로 ▲측정 가능한 정량적인 값 ▲재연성 ▲질병과의 연관성을 갖고 있습니다. 크기, 부피, 색깔 등을 정량적으로 측정하면 다양한 질병을 관찰할 수 있죠.

영상 바이오마커의 경우 MRI나 CT 기기에 따라 측정값이 조금씩 다릅니다. 지금까지는 이를 효율적으로 표준화하는 방법이 없었어요. 그렇다고 다른 병원에서 진행한 측정값을 그대로 적용할 수도 없죠. 결국 자체 임상을 통해 보유한 기기에 맞는 표준값을 찾아야 합니다.
저희는 의료 영상에서 얻을 수 있는 영상 바이오마커 측정값의 오차를 표준화하는 기술을 개발했습니다. 저희 기술의 원리를 쉽게 설명드리겠습니다. 우선 기준이 되는 팬텀을 만듭니다. 이것을 병원이 보유한 MRI로 촬영한 후 측정값을 취합합니다. 이후 팬텀의 기준값과 비교하면서 오차를 보정합니다. 이를 통해 어떤 기기에서도 표준화된 값을 적용할 수 있습니다.
기존에는 의사가 영상을 눈으로 보면서 진단했기 때문에 의사의 시각적인 경험과 숙련도가 중요했습니다. 하지만 저희 기술을 이용하면 표준화된 값을 확인할 수 있으니 좀 더 정확한 진단이 가능합니다.
저희 기술은 국내 특허 8건과 미국 특허 1건이 등록되었고, 임상 효과가 지난 2022년 유럽 영상의학회지(European Radiology)에 소개되었습니다.
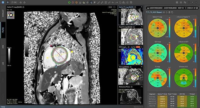
또한 저희는 심근 조직 특성 평가 자동화 기술도 보유하고 있습니다. 심장 MRI 영상 중에는 심장 근육의 섬유화 정도를 확인할 수 있는 지연기조영증강(LGE) 영상이 있는데요. 이를 분석하려면 우선 정상 심근을 찾아야 합니다. 그런데 근육과 혈액이 있는 부분의 구분이 쉽지 않아요.
저희는 LGE 영상을 자동 분석하는 기술을 개발했어요. 저희 표준화 기술로 심근 조직의 분자 환경을 영상화한 T1 지도를 LGE 영상으로 변환하고, 정량적인 데이터를 확인하는 것이죠. 이를 통해 심근 조직의 이상 유무를 평가합니다. LGE 영상을 촬영하지 않아도 되니 검사 시간을 단축할 수 있고요. 추후에 촬영 조건을 바꿀 수도 있습니다. 일반 카메라의 초점처럼 선명도를 원하는 대로 조절할 수 있는 것이죠. 이 기술은 현재 특허 등록 완료했고 임상 시험 중입니다.
IT동아: 팬토믹스가 현재 출시한 솔루션은 무엇인가요?
김판기 대표: 지난 2022년 초에 심근질환 진단 솔루션 마이오믹스를 출시했습니다. 심장 MRI를 이용해 비침습적으로 수십 개의 영상 바이오마커를 추출하고, 이를 통해 심부전, 심근염, 아밀로이드증 등 심근질환을 안전하고 정확하게 진단합니다. 미국 식품의약국(FDA)과 국내 식약처의 인허가를 취득했고, CES 2024에서 혁신상을 받았습니다.
현재 마이오믹스는 국내 상급 종합병원과 일본, 중국, 대만, 싱가포르 등에서 사용하고 있습니다. 또한 동남아시아와 남미 의료기기 유통사와 판매 계약을 완료했고, 현지에서 의료기기 인허가를 진행하고 있습니다. 내년 상반기에는 해외 인허가 확보와 함께 매출이 발생할 예정입니다.

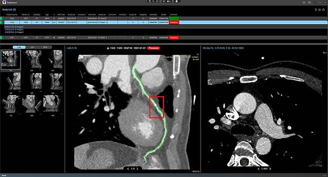
심장 CT를 이용해 급성 심근경색의 원인이 되는 관상동맥질환을 진단하는 심혈관 진단 솔루션 ‘엔지오믹스(Angiomics)’도 개발했습니다. 엔지오믹스는 응급실에 내원한 흉통 환자 중 긴급 치료가 필요한 환자를 선별하는 솔루션입니다. 진단명이 명확하지 않은 중증도 이하의 관상동맥 협착을 진단하죠. 현재 식약처 2등급 의료기기는 취득했고, 3등급 인허가를 위한 임상시험을 진행 중입니다. 2등급의 경우 진단 보조용으로 사용할 수 있고 3등급은 진단까지 할 수 있는 용도입니다. 아무래도 응급실을 대상으로 하기 때문에 다기관 임상 연구 등 임상을 좀 더 철저히 할 예정입니다.
저희는 현재 심장질환 진단에 초점을 맞추고 있는데요. 이를 대사성질환까지 확장하려고 합니다. 간, 근감소 질환을 포괄하는 영상 진단 솔루션을 조만간 선보일 예정입니다.

완전 자동화·진단 기능 구현
IT동아: 이들 솔루션의 특징은 무엇인가요? 다른 솔루션 대비 차별점이 있다면 소개 부탁드립니다.
김판기 대표: 가장 큰 장점은 자동화입니다. 기존 솔루션의 경우 영상 촬영 후 영상의 종류, 촬영한 부위와 각도, 방향 등을 직접 지정해야 합니다. 혈액과 심근 표시, 영역 분할, 필요 없는 부분 제거 등의 작업도 일일이 해야 해요. 특히 심장의 경우 가운데 축을 기준으로 여러 방향과 각도, 속도로 촬영합니다. 한 번 촬영하면 1000~3000개의 영상이 나와요. 그러니까 심장 영상 분석을 위해서는 의료 영상에 대한 전문성도 있어야 하고 임상적 경험과 노하우, 지식도 필요합니다. 작업량도 상당하고요.
하지만 저희는 영상 바이오마커의 표준화와 AI(인공지능) 알고리즘을 통해 이 모든 과정을 자동화했습니다. 각 영상을 분석한 판독문도 제공합니다. 영상 분류부터 리포트까지 2분 이내에 완료합니다.
저희 솔루션은 진단 기능도 있습니다. 심장 영상은 정량적인 분석으로 질병을 분류할 수 있습니다. 저희 솔루션은 영상을 분석하고 수십여 개의 영상 바이오마커를 산출한 후 이를 기반으로 다양한 심근질환을 진단하고 예후를 예측합니다. 현재 심부전, 아밀로이드증, 비후성 심근병증 등 19개 질환을 예측할 수 있어요.
IT동아: 보건산업혁신창업센터(KBIC)의 지원을 받고 있는 것으로 알고 있는데요. 어떤 지원이 있었는지 소개 부탁드립니다.
김판기 대표: 지난 9월 개최한 KBIC 데모데이에서 팬토믹스 소개 기회를 제공했습니다. 덕분에 여러 투자자와 네트워크를 확보할 수 있었고, 현재 투자 유치에 대해 깊이 있는 논의를 진행하고 있습니다.
또한 의료 산업은 규제 산업으로 시장과 규제의 이해가 매우 중요합니다. 이러한 분야의 교육을 통해서 임직원의 산업 이해도를 한층 높일 수 있었고, 의료기기 인허가와 사업 확장을 위한 방향 등 사업 전개에 필요한 가이드를 받을 수 있었습니다.

IT동아: 마지막으로 팬토믹스의 향후 목표에 대해 말씀 부탁드립니다.
김판기 대표: 저희는 영상 분석을 넘어 심장 돌연사 관련 질병의 진단과 예방을 위한 기술로 발전시키는 것이 목표입니다. 신속하고 정확한 비침습 진단을 통해 삽입형 심장제세동기 이식 여부, 응급환자의 수술 여부 등을 판별할 수 있는 기능까지 완성하고자 합니다. 이후에는 병원에 있는 임상 데이터를 연결해 환자를 지속적으로 모니터링하는 모델로 발전시키고자 합니다. 병원이 아닌 환자 개인에게 직접 제공하는 서비스죠. 이처럼 보다 가치 있는 제품 개발을 통해 일반인이 보다 건강하고 만족도 높은 삶을 영위하는데 기여하고자 합니다.
글 / IT동아 한만혁 기자 (mh@itdonga.com)
사용자 중심의 IT 저널 - IT동아 (it.donga.com)
Copyright © IT동아. 무단전재 및 재배포 금지.
- [과기대 S-Run] 제조 창업자에게 필요한 브랜딩과 마케팅 방법을 지원합니다
- 콘진원, 아이디어 융합팩토리로 예비 창업자 어깨에 날개 단다
- 성북구 1인 창조기업 지원센터에서 꿈을 향해 도전하고 있는 스타트업 (2)
- 연휴 시즌 보이스피싱 주의보…통신사별 막는 방법은?
- [생활 속 IT] 카카오톡, 영상 만들기 기능 도입···어디까지 가능할까
- [신차공개] 페라리 최초 전기차 루체·MINI 쿠퍼 SE 폴스미스 에디션 공개
- 말 한 마디로 만드는 나만의 곡, 구글 음악 생성 AI ‘리리아 3’ 써보니
- AI가 지키는 도시 안전…컴퓨터 비전 기술로 ‘사고 이전 대응’ 시대 연다 [서울과기대기술지주
- 올림픽에 적용된 AI 기술, 무엇이 있을까
- 새샘 "아이패브릭으로 동대문 원단 시장 디지털화에 시동" [경북대 X IT동아]