콜라겐 스스로 만드는 피부?... 역노화 초점은 피부 '속'
![피부는 우리 신체 중 가장 큰 기관이다. 보통 사람 체중의 약 16%를 차지하고 있는 피부는 시각적으로 노화의 신호를 가장 먼저 보내는 곳이다. [사진=클립아트코리아]](https://img1.daumcdn.net/thumb/R658x0.q70/?fname=https://t1.daumcdn.net/news/202307/24/KorMedi/20230724183059738ahpi.jpg)
피부는 우리 신체 중 가장 큰 기관이다. 보통 사람 체중의 약 16%를 차지하고 있는 피부는 노화의 최전선에 서 있다. 시각적으로 노화의 신호를 가장 먼저 보내는 곳이기 때문이다. 노화에 대한 연구가 가장 먼저, 가장 많이 이뤄진 기관이기도 하다. 주름, 잡티, 탄력 저하를 막기 위한 이른바 항노화(안티에이징) 화장품, 영양제, 미용시술은 기술의 진보와 더불어 빠르게 발전했다.
다만 최근 노화 연구가 본격적으로 진행되면서 과거에는 수동적으로 노화를 지연시키는 데 그쳤던 '항노화'를 넘어서 이젠 능동적으로 시간을 되돌리는 '역노화'에 대한 관심도 높아지고 있다. 피부 역시 마찬가지다. 주름이나 피부 탄력 등 일반적으로 피부 노화의 정도를 가늠하던 요소들은 사실 '피부 노화의 결과물'이라 할 수 있다.
그간의 시술은 이러한 피부 노화의 결과물이 나타났을 때 이를 보정하도록 대응하는 방식(항노화)이었다. 그러나 이젠 피부 노화의 변화가 보이기 전에 세포 단계에서부터 노화를 막고 시간을 거스를 수 있는 가능성(역노화)이 점차 열리고 있다.
당신의 피부 속 '콜라겐'은 젊으신가요?
피부 노화 관련 핵심 물질은 '콜라겐'으로 꼽힌다. DNA 염색체 말단에 위치한 '텔로미어'의 길이를 노화의 정도를 측정하는 과학적 기준으로 삼듯이 피부 노화의 단적인 기준으로 볼 수 있다. 피부과 전문의들은 현미경으로 피부 조직을 보면 정확한 인적 정보가 없더라도 피부 속 콜라겐 상황만으로도 사람의 대략적인 나이를 짐작할 수 있다고 말한다. 노화로 피부세포의 손상이 일어날수록 콜라겐의 양과 질도 악화하되기 때문이다. 통상 피부 속 콜라겐의 숫자는 1년에 1%씩 줄어드는 것으로 알려졌다.
콜라겐은 피부 표면(표피)에서 더 깊이 들어가면 나오는 진피층의 피부세포를 구성하는 대부분의 성분이다. 피부세포를 구성하고 세포와 세포 사이를 메우고 있다. 노화에 따라 콜라겐의 양이 줄어들면서 피부 두께는 점점 얇아지고 피부세포의 형체 역시 눈에 띄게 흐릿해진다. 피부 두께가 얇아지면 잔주름이 생기고 피부 탄성도 떨어진다. 동시에 피부장벽도 무너지며 염증세포가 늘어나기 때문에 건조증을 비롯한 노화에 따른 피부 질환도 자주 나타나게 된다.
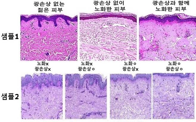
![현미경으로 본 피부조직 샘플. 광손상과 노화가 없을수록 피부 두께가 두껍고 내피의 콜라겐 밀도, 피부세포의 형체와 규모가 차이를 보인다. 색상 역시 붉은 빛에서 보랏빛과 회색으로 변한다. [자료=The American Journal of Pathology]](https://img1.daumcdn.net/thumb/R658x0.q70/?fname=https://t1.daumcdn.net/news/202307/24/KorMedi/20230724183101432feqv.jpg)
아직까진 우리 몸이 피부 속 콜라겐을 스스로 재생하는 방법은 요원하다. 보톡스, 필러, 레이저, 리프팅과 같이 기존의 피부 시술은 콜라겐 감소로 나타난 변화, 즉 피부 노화에 대해 시술로 대응하는 방법이다. 이들 시술은 분류하자면 '항노화'에 가깝다. 아직 피부에 있어서도 근본적으로 노화를 예방하거나 시간의 힘을 되돌리는 '역노화'는 쉽지 않은 상황이다.
이와 관련해 하나이비인후과병원 부설 H리버스에이징센터의 김태림 과장(피부과 전문의)은 향후 피부 노화 대응 방식이 외부적 치료를 넘어선 근본적 내부 변화에 초점이 맞춰질 것이라고 내다봤다.
피부 역노화 시술이 몸 안쪽, 즉 세포 단계에서부터 콜라겐의 수를 증가시키는 것을 목표로 할 것이라는 설명이다. 겉으로만 젊어 보이도록 보톡스를 맞거나, 외부에서 피부 속에 콜라겐을 주입해 '보충'하는 식의 항노화는 근본적 해결책은 되지 못하기 때문이다.
피부도 항노화 넘어 역노화로... '콜라겐 재생'이 핵심
피부를 비롯한 생체 역노화를 돕는 연구는 최근 활발하게 진행되고 있다. 줄기세포, 유전자 편집 치료 등의 바이오공학 기술, 노화 세포를 제거하는 약물 요법(세놀리틱스·Senolytics), 나노공학을 활용한 피부세포 재생, 젊은 피 수혈(혈장 교환), 분변 이식 등 다양한 기술이 연구 중이다. 간헐적 단식 등의 식단 조절과 운동, 금연, 금주 등의 생활습관 교정 요법도 거론된다.
이 가운데 최근 주목받는 시술 중 하나가 바로 '고압산소치료'(HBOT)다. 다른 시술과 비교해 상대적으로 부작용 우려가 거의 없고 시술 접근·편의성이 높기 때문이다.
무엇보다 과거 잠수병이나 저기압증, 일산화탄소 등 질환 치료에 이용돼 왔던 HBOT의 역노화 치료 가능성을 이스라엘 텔아비브대 연구진이 처음 발견한 후 관련 연구가 꾸준히 이어지고 있다. 여러 연구는 HBOT가 텔로미어 단축 억제와 줄기세포 증식·분화 촉진 등 세포 단위에서부터 전신에 이르는 광범위한 역노화 효과를 불러온다고 보고하고 있다. 이스라엘과 중국 연구진을 중심으로 일부 임상연구도 진행 중이다.
기본 원리는 적정한 수준으로 혈액 속 산소 농도를 높여 다량으로 공급할 때 세포 재생이 활발해지면서 노화와 손상 회복에 도움을 준다는 관찰 결과다.
이는 산소 노출이 세포 손상과 노화를 촉진한다는 기존의 통념을 바꾸고 있다. 여기서 언급하는 산소는 정확히는 '활성산소'를 가리킨다. 활성산소는 호흡으로 몸속에 들어온 산소가 완전히 연소(산화)되지 못하고 불안정해진 상태가 된 대사 잔여물이다. 통상 호흡으로 체내에 들어온 산소의 2~3% 수준이 활성산소로 변한다.
활성산소가 적정한 수준일 땐 몸의 면역 작용을 도와 신체에 침입한 바이러스나 세균, 일부 암세포를 공격한다. 그러나, 스트레스와 과음, 흡연, 과식 등으로 활성산소가 비정상적으로 늘어나면 오히려 우리 몸을 공격하기 시작한다.
활성산소는 세포 분자와 반응하며 세포 구조를 붕괴시키고 각종 손상과 노화를 촉진한다. 신체의 면역력을 떨어뜨려 당뇨와 암 등의 질병을 일으킬 뿐 아니라 유전자 단위의 훼손을 불러와 세포의 재생 능력을 떨어뜨려 관절염, 백내장 등의 퇴행성 질환도 유발한다. 이를 막기 위해 항산화 물질이 포함된 식품이나 약물을 먹기도 한다.
![고압산소치료(HBOT)의 역노화 가능성과 관련한 주요 메커니즘 개념도 [자료=Redox Biology]](https://img1.daumcdn.net/thumb/R658x0.q70/?fname=https://t1.daumcdn.net/news/202307/24/KorMedi/20230724183103148qxjo.jpg)
최근 이스라엘 연구진은 HBOT가 역노화 효과를 불러오는 메커니즘을 △혈관 재생 △줄기세포 자극을 활성화해 증식·분화 촉진 △호중구, 림프구 등 면역세포 수와 면역 물질 생성 활동 조절을 통한 항염 작용 촉진 △미토콘드리아 기능 조절을 통한 항산화 방어력 강화 △세포 노화 주기 재진입 방해(텔로미어 단축 억제) 등으로 정리했다.
64세 이상 노인 35명을 대상으로 주당 5회씩 총 60회의 HBOT(1회에 90분씩 2기압 100% 농도의 산소 공급)를 시술한 연구 결과다. 혈액 유전자 검사에서도 1342개와 570개의 유전자가 각각 상·하향 조절한 사실을 검증해 유전자 수준에서 노화 개선에 도움을 준다는 결과도 확인했다.
HBOT는 손상 피부를 재생하는 효과가 있는 것으로 알려져 있다. 피부는 특히 말초 모세혈관으로 이뤄져 있기 때문에 허혈성 손상의 영향이 크기 때문이다. 당뇨발과 방사선 괴사 등을 치료하는 과정에서 상처와 손상된 피부가 재생한 효과를 확인한 후 피부 역노화에 응용하는 시도가 이어지고 있다.
HBOT의 피부 역노화 효과는 내재적 요인뿐 아니라 외재적 요인으로 인한 피부의 손상 회복에도 효과가 있는 것으로 알려져 있다. 김태림 과장은 이 지점에서 HBOT 시술이 피부 재생에도 도움이 될 것이라고 보고 있다.
"HBOT는 혈관 재생을 통해 혈액 순환을 원활히 하면서, 동시에 공급되는 산소도 늘려줍니다. 때문에 일반적인 상태보다 15배 이상 더 많은 산소를 혈액 속에 공급할 수 있습니다. 산소는 우리 몸의 에너지 재생에 지대한 영향을 미치기 때문에 신진대사 기능을 높이는 결과를 낳고 세포 단위의 재생 효과도 촉진한다고 말할 수 있습니다."
![이스라엘 연구팀 임상시험에 참여한 64세 이상의 남성 노인의 피부 손상 수준 (왼쪽 위아래). 3개월간 총 60회의 고압산소치료 후 피부 탄성세포와 콜라겐 밀도가 개선됐다 (오른쪽 위아래). [자료=Aging]](https://img4.daumcdn.net/thumb/R658x0.q70/?fname=https://t1.daumcdn.net/news/202307/24/KorMedi/20230724183104686vswc.jpg)
첫발 뗀 피부 역노화... 항노화+생활습관도 중요
물론 생활습관 교정의 병행도 필요하다. 인체 노화에 영향을 미치는 요소가 여러 가지인 만큼 노화를 늦추는 방식 역시 조화를 이룰 때 더욱 효과가 있다. 김 과장은 여전히 HBOT 활용과 함께 기존의 항노화 시술과 생활습관 교정 등도 병행해야 한다고 강조한다.
"다양한 역노화 기술에서 이전의 의학적 개입에선 볼 수 없던 역노화 효과를 확인하곤 있지만, 아직은 역노화에 대한 더 많은 연구가 필요합니다. 인체의 노화 원리를 규명하고 각종 기술의 안전성과 임상 효과를 충분히 확인해야 하기 때문입니다.
HBOT 역시 모든 질환과 질병을 치료하고 50~60대가 20대로 회춘하는 기적의 해법은 아직 아닙니다. 다만 염증을 완화하고 세포 재생을 돕는 보조적 치료 수단은 될 수 있다고 봅니다."
일례로, HBOT 등의 역노화 시술로 아무리 피부 속 콜라겐과 피부세포를 재생한다고 해도 기존의 항노화 피부 시술이 필요할 수 있다고 김 과장은 지적한다. 지구의 중력 때문에 물리적으로 겪게 되는 '피부 처짐'과 같은 문제는 완전히 해결할 수 없기 때문이다. 기존의 피부 노화로 발생한 손상인 검버섯 등의 노화성 질환 역시 역노화 시술만으론 이전 상태로 되돌릴 수 없다.
아울러, 피부 노화 속도를 지연시키는 생활습관 교정 역시 필요하다. 일상에서 피부 노화에 큰 영향을 주는 요인에는 흡연과 자외선 노출, 염증을 동반한 피부 질환 등이 있다. 따라서 김 과장은 △금연 △야외 활동 시 2시간마다 선크림 바르기 △알레르기성·접촉성 피부염을 방지하기 위해 피부 유형에 맞는 화장품 사용하기 등의 방안을 권고했다.
[관련기사=시간 거스르는 '역노화'… "고령화 시대 또 다른 대안"(https://kormedi.com/1601214/)]
최지현 기자 (jh@kormedi.com)
Copyright © 코메디닷컴. 무단전재 및 재배포 금지.
- 굳이 헬스장 안가도... 체지방 없애는 쉬운 활동은? - 코메디닷컴
- 대장도 나이 든다.. '장 청소'에 좋은 음식들은? - 코메디닷컴
- 에어컨 때문에 폐렴... 냉방병 아닌 '이것' 더 주의해야 - 코메디닷컴
- "○○ 향기 맡았더니 면역력·인지 능력 ↑" - 코메디닷컴
- 무설탕 껌도... '방귀쟁이' 만든 건강 식품 따로 있다 - 코메디닷컴
- 장수마을 사람들, 오후 '이렇게' 보낸다 - 코메디닷컴
- 어지럽고 메스껍고...구역질이 나는 의외의 이유 5 - 코메디닷컴
- 덥다고 아이스크림 많이?...관절염 악화시키는 식품 5 - 코메디닷컴
- "소아과 스트레스 풀려다..." 대학병원 교수, 女복싱 챔피언 됐다 - 코메디닷컴
- “폐암일 수도, 아닐 수도”...‘간유리 결절’ 환자의 고민 - 코메디닷컴