[OK!제보] 건강한 사람 폐인 됐는데…변명 급급한 대형병원
환자가 고통 호소했으나 무성의한 대처 지적
병원은 매뉴얼대로 처치해 과실 없다 주장
![A씨가 고통을 호소하는 글 A씨가 삼성서울병원에서 점막하박리술 후 위 천공으로 복막염과 다발성 장기부전, 패혈증, 심정지 등을 겪으며 심적 고통을 적은 글. 기력이 없어 글씨체도 엉망이다. [A씨 아들 B씨 제공]](https://img4.daumcdn.net/thumb/R658x0.q70/?fname=https://t1.daumcdn.net/news/202307/01/yonhap/20230701070009192npmb.jpg)
(서울=연합뉴스) 김대호 기자 = 건강한 60대 여성이 비교적 간단한 시술을 받은 후 심정지에 패혈증을 겪으며 생사의 고비를 맞고 있으나 병원 측은 책임을 지기보다 변명으로 일관하는 모습을 보여 환자 가족이 울분을 토하고 있다.
1일 연합뉴스 취재를 종합하면 전북 전주에 사는 A씨(67)는 작년 4월 28일 오전 11시 삼성서울병원의 소화기내과에서 조기 위암 치료를 위해 위내시경 점막하박리술(ESD 시술)을 받았다. 외과적 수술이 아닌 내시경을 이용해 위벽 내의 암세포를 긁어내는 시술이었다.
그러나 평소 생활체조 강사로 활동하며 기저질환도 없이 건강하던 A씨는 시술 당일 오후 극심한 복통을 호소했고 이후 이틀간 구토, 호흡곤란, 빠른맥, 어깨통증, 복부 팽만, 혈압 저하 등을 겪었다. 병원 측은 A씨가 통증을 호소한 후 마약성 진통제를 13번 투여하고 엑스레이를 두차례 촬영하면서도 의사가 직접 환자의 상태를 살피지 않았다고 한다. A씨는 당시 위 천공(구멍)이 발생해 위액이 배 안쪽으로 흘러 나가며 복막염과 장기부전, 패혈증이 발생했으나 병원 측은 파악하지 못했다. 병원은 이 와중에 A씨에게 미음을 처방해 먹게 함으로써 상태를 악화시켰다는 지적도 받는다.
결국 A씨는 시술 이틀 뒤인 30일 오후 6시50분 심정지가 와 심폐소생술을 받고 의식을 찾은 후 중환자실로 옮겨졌다. 혈액검사를 통해 패혈성 쇼크가 온 것으로 확인됐으며 이어진 컴퓨터단층촬영(CT)에서 위장에 천공이 발견됐다.
그는 이어 5월 1일 응급 개복수술을 받았는데 치료 시기가 너무 늦어 소장과 대장이 괴사하는 등 다발성 장기부전과 심각한 복막염이 진행됐다. 대장의 3분의 1을 잘라낸 후 대변을 외부로 빼내는 장루를 설치하고 오염된 배 안쪽을 소독했다. 산소호흡기와 영양수액으로 연명하던 그는 상태가 다시 악화해 7월20일 2차 개복수술을 진행해 소장, 대장 등 손상된 장기 30곳 이상을 절제, 봉합했으며 소장은 1.6m만 남게 됐다. 7개월 이상 금식하며 영양수액에 의존해 버텼으나 더 이상 차도가 없어 지난 1월 퇴원하면서 병원비 2천100만원도 모두 지불했다. 현재도 밥을 제대로 못 먹어 키 160cm에 52kg이던 몸무게가 최근 32kg으로 줄었다.
![A씨의 건강할 때(위) 모습과 병원 시술 후 음식을 먹지 못해 뼈만 남은 상태(아래). [A씨 아들 B씨 제공]](https://img2.daumcdn.net/thumb/R658x0.q70/?fname=https://t1.daumcdn.net/news/202307/01/yonhap/20230701070009334asmf.jpg)
A씨 아들 B씨는 병원 측에 의료과실의 책임을 지라고 요구했으나 병원은 의료과실을 인정할 수 없다며 보험사의 배상책임보험을 통해 해결하도록 했다. 병원은 제3자의 심사를 통해 의료과실을 가리자는 입장이다. B씨는 당장 병원비 등 치료비가 필요했지만, 보험사는 치료가 완전히 끝나야 보상 여부를 판단할 수 있다고 했다. A씨는 지난달 다시 상태가 악화해 입원했는데 치료가 다 마무리되려면 수년이 걸릴 전망이다. B씨는 이에 어머니의 집도 의사와 간호사 등 13명을 검찰에 고발, 사건이 일선 경찰서로 배당됐으며 곧 조사가 진행될 예정이다.
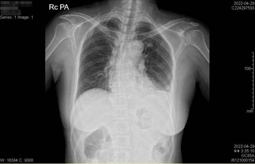
B씨는 "어머니가 ESD 시술 후 단순 통증(쓰림)이 아닌 다른 양상의 극심한 통증을 호소했음에도 병원은 마약성 진통제를 투여하고 엑스레이만 찍은 후 위 천공을 의심하지 않았다. 또 엑스레이에는 왼쪽 폐에 물이 차는 무기폐가 나타났고 어머니가 호흡곤란을 호소했음에도 방치했다. 천공으로 인한 복막염과 패혈증이 원인이었던 무기폐만 확인하고 문제를 해결하려 했다면 상태가 크게 악화하지 않았을 것"이라고 주장했다.
그는 "ESD 시술에서 가장 큰 부작용은 천공이고, 환자가 극심한 고통을 호소하면 천공을 의심하고 조기에 CT 촬영을 해야 했는데 그러지 않은 부분은 병원 측 과실이다. 앞으로 우리 어머니 같은 경우가 또 나와도 문제가 없다는 것이냐"고 말했다.
![엑스레이에 나타난 무기폐 A씨의 왼쪽 폐에 하얀 부분이 물이 찬 무기폐의 모습이다. 무기폐는 위 천공 후 복막염과 다발성 장기부전, 패혈증 때문에 발생한 것으로 추정되지만 병원은 조기에 치료하지 않았다. [A씨 아들 B씨 제공]](https://img2.daumcdn.net/thumb/R658x0.q70/?fname=https://t1.daumcdn.net/news/202307/01/yonhap/20230701070009471rqxh.jpg)
반면 병원 측은 환자의 상태가 악화한 데 유감을 표시하면서도 매뉴얼대로 했기 때문에 의료과실은 없었다는 입장이다. ESD 시술 후 엑스레이를 통해 천공 여부를 검사하게 돼 있으며 의사가 회진하지 않은 것도 간호사의 보고를 받았기 때문에 규정 위반이 아니라고 주장했다. 무기폐를 방치한 데 대해서는 위 천공과 무관한 합병증이어서 책임이 없다고 주장한다. 또 A씨의 상태가 이례적으로 빨리 악화해 대처하기 어려웠으며 음식물 섭취도 문제가 될 정도는 아니었다고 강조했다.
그러나 과거 A씨와 비슷한 사례에서 의료분쟁중재원은 병원의 과실을 인정했다. 통상적이지 않은 강도와 빈도의 통증이 발생했기 때문에 엑스레이 외의 다른 검사를 시행했어야 했지만 그렇지 않아 경과 관찰이 적절하지 않았고, 천공 진단이 늦어져 상태가 악화한 점이 병원의 과실로 판단된다며 거액의 배상을 결정했다.
또 2018년에는 오진으로 치료 시기를 놓쳐 환자를 사망하게 한 혐의로 의사들 3명에게 금고형이 선고되고 법정 구속된 일도 있다.
daeho@yna.co.kr
기사제보나 문의는 카카오톡 okjebo
▶제보는 카톡 okjebo
Copyright © 연합뉴스. 무단전재 -재배포, AI 학습 및 활용 금지
- [삶] "미국, 북한 공격 어렵다…수뇌부 제거하면 더 위험" | 연합뉴스
- 생후 60일 딸아이 아빠, 뇌사 장기기증으로 5명 살리고 떠나 | 연합뉴스
- 119 신고까지 했지만…30대 공무원 구청 사무실서 숨진 채 발견(종합2보) | 연합뉴스
- 인신매매로 헤어진 남매…中 AI·안면인식 기술로 30년만에 재회 | 연합뉴스
- 폭탄투하 "홀인원"…게임영상으로 또 전쟁홍보 밈 만든 백악관 | 연합뉴스
- 경찰, '술타기 의혹' 이재룡 음주측정방해 혐의 추가 입건 | 연합뉴스
- '미스트롯4' 眞 이소나 "인생 달라져, 내면의 상처도 치유" | 연합뉴스
- "팔꿈치로 폭행"…장애학생 괴롭힌 초등생 3명 소년부 송치 | 연합뉴스
- 김치를 파오차이로 쓴 서울시 공식 홍보물…시 "즉각 수정" | 연합뉴스
- 근무시간에 직원 동원해 이삿짐 나른 국장…의성군, 감사 착수 | 연합뉴스