흉터도 번진다? 점점 커지는 ‘흉터’ 2가지

흉터는 손상을 입은 피부가 치유되면서 남은 자국이다. 보기 싫은 흉터는 피부와 마음을 힘들게 하는 짐이 될 수 있고, 다시 치료를 받아야 할 질환일 수도 있다. 특히 흉터의 폭이 넓어지고 주변보다 튀어 올라오는 특정 종류의 흉터는 꼭 치료가 필요하다. 점점 커져 신경 쓰이는 2가지 종류의 흉터에 대해 알아본다.
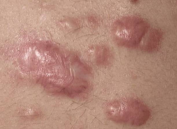
◆ 피부 위로 툭 튀어나온 비후성 흉터
비후성 흉터는 단단하고 피부면 위로 튀어 올라와 있는 흉터다. 또 표면이 붉은색을 띠며 불규칙하고, 가렵고 따가운 증상을 동반하기도 한다. 특히 상처가 생긴 후 회복되는 과정에서 새로운 콜라겐 섬유가 생성될 때 과다하게 증식하는 게 주된 원인으로, 외관상으로도 크고 두껍게 나타나는 경우가 많다. 이 때문에 비후성 흉터는 완전히 아물기 전까지 점점 커지는 게 특징이다.
일반적으로 비후성 흉터는 어린이와 10대 청소년들에게 더 잘 나타난다. 젊을수록 피부 속 혈관순환이 더 잘 나타나고 더 크고 콜라겐 생성 속도가 더 빠르기 때문.
비후성 흉터의 경우에는 흉터가 커진다 해도 상처 범위를 넘어서지는 않기 때문에 크기가 작은 경우에는 방치하는 경우가 많다. 관절 부위나 피부 주름에 직각으로 발생한 흉터는 비후성 흉터가 되기 쉽다는 국내 연구결과도 있다.
비후성 흉터는 기간이 지나면서 작아지는 게 일반적이다.
즉 흉터가 커진다 해도 상처 범위를 넘어서지는 않을 때가 많아 작은 흉터는 치료가 필요하지 않을 때도 많다. 다만 상처가 크고 염증이 일어난 흉터의 경우 과도하게 증식된 조직을 제거하는 치료가 필요할 수 있다. 또 바르는 연고나 압박 시트 등 개인의 피부 상태에 맞는 적합한 치료를 받으면 미용적으로도 흉터가 개선되는 효과도 얻을 수 있어 조기치료가 필요하다.
◆ 치료가 어려운 켈로이드(Keloid) 흉터
켈로이드 흉터는 흉터의 경계가 좀 더 불규칙적이고 상처 범위를 넘어 주변의 정상적인 피부까지 침범하는 게 특징이다. 비후성 흉터와 마찬가지로 비정상적인 섬유조직 성장이 원인이지만, 정상적인 조직에게까지 염증을 일으켜 적극적인 치료가 요구된다.
켈로이드는 주로 유전적으로 위험요인이 있는 사람에게 발생한다. 전체 인구의 15% 정도가 해당된다. 흉골 주위에 가장 많이 발생하며, 가슴‧어깨‧등 위쪽‧목 뒤‧귓불 등에 생긴다. 동반증상으로는 가려움증과 압통이 있다. 주변 피부 침범이나 통증 등은 상처 치유 직후부터 나타날 수 있지만, 6개월~1년이 지난 후 나타나기도 한다.
일반적으로 흉터의 범위가 피부 상처 내에 있으면 비후성 흉터, 상처 범위를 벗어나 커지면 켈로이드로 생각하지만 실제 의료현장에서 이를 명확히 구분하기 어려운 것으로 알려졌다. 비후성 흉터는 시간이 지나면서 흉터가 조금씩 작아지는 경향이 있으나 켈로이드는 오히려 지속되는 경향이 있는 정도다.

이 때문에 사전에 켈로이드를 앓았던 병력이 있는지가 주된 진단기준이 되기도 한다. 그렇기에 평소 자신이 켈로이드 피부성향을 가졌는지를 미리 알고 있는 게 좋다.
다만 아직까지 켈로이드 피부인지 확인할 방법은 없다. 만약 어께 예방접종 부위나 앞가슴 여드름 부위에 커다란 흉터가 있다면 켈로이드 피부를 의심해 볼 수 있는 정도다.
특히 켈로이드 흉터는 치료가 까다롭다. 증식된 조직을 제거하는 수술치료를 하더라도 이후 재발할 가능성이 높기 때문. 이에 따라 수술을 결정하기에 앞서 재발에 대한 가능성을 충분히 인지하고, 재발했을 시 어떻게 대처할 것인지 상담을 통해 결정하는 과정이 필요하다.
수술치료와 함께 ▲냉동치료 ▲레이저치료 ▲방사선치료 ▲스테로이드 주사 등을 병행하면 추후 재발할 확률을 낮출 수도 있다. 또 이전에는 켈로이드 피부로 병원에 방문 했을 때 스테로이드 주사 정도의 치료 외에는 특별한 치료가 없었지만 지금은 스테로이드 주사와 더불어 냉동치료나 레이저 치료 등 새로운 치료가 개발돼 비교적 만족할 만한 결과를 얻을 수 있는 것으로 알려졌다.
무엇보다 중요한 점은 일상생활에서 피부에 상처가 생길 경우 상처가 잘 아물 수 있도록 하는 것이다. 외부에서 보았을 때 피부의 상처가 회복된 것처럼 보여도 피부 속은 아직 손상으로부터 치유중인 경우가 있는 데 이런 시기에는 상처부위가 힘을 받지 않도록 조심해야 보기 불편한 흉터를 예방할 수 있다.
Copyright © 농민신문. 무단전재 및 재배포 금지.