라식‧라섹 후 실명?…OOOO 각막이상증
전체 맥락을 이해하기 위해서는 본문 보기를 권장합니다.
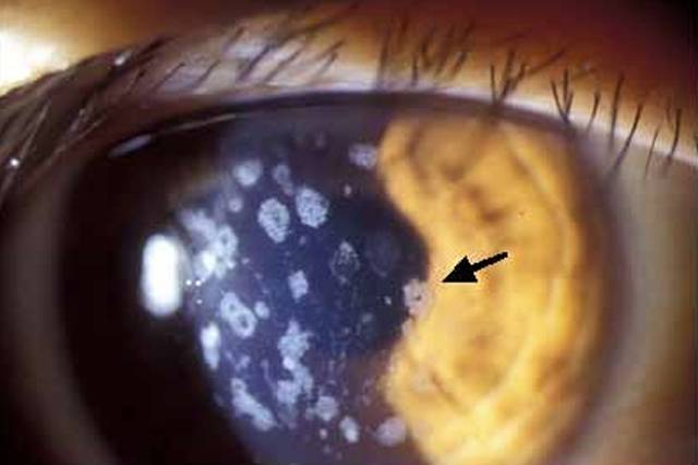
'잠자는 안과 질환'으로 불리는 '각막이상증'은 태어날 때부터 혼탁 증상이 두 눈에 발병해 서서히 진행하는 유전성 질환이다.
특히 최근 라식(LASIK)이나 라섹(LASEK) 같은 시력교정수술이 대중화되면서 수술 직후 급격하게 증상이 심해지는 '아벨리노 각막이상증'에 대한 경각심이 높아지고 있다.
특히 아벨리노 각막이상증(제2형 과립형각막이상증)은 시력교정수술 후 증세가 갑자기 나타나 각막에 흰점이 생기면서 시력이 급속히 악화되는 게 특징이다.
이 글자크기로 변경됩니다.
(예시) 가장 빠른 뉴스가 있고 다양한 정보, 쌍방향 소통이 숨쉬는 다음뉴스를 만나보세요. 다음뉴스는 국내외 주요이슈와 실시간 속보, 문화생활 및 다양한 분야의 뉴스를 입체적으로 전달하고 있습니다.

‘잠자는 안과 질환’으로 불리는 ‘각막이상증’은 태어날 때부터 혼탁 증상이 두 눈에 발병해 서서히 진행하는 유전성 질환이다. 특히 최근 라식(LASIK)이나 라섹(LASEK) 같은 시력교정수술이 대중화되면서 수술 직후 급격하게 증상이 심해지는 ‘아벨리노 각막이상증’에 대한 경각심이 높아지고 있다. 갑자기 실명에 이를 수 있는 아벨리노 각막이상증은 어떤 질환일까.
◆아벨리노 각막이상증이란?=각막이상증(Corneal dystrophy)은 유전적인 요인으로 각막에 변화가 생기는 질환을 일컫는다. 현재까지 약 20가지의 각막이상증이 발견됐다. 각막 혼탁이 공통적인 특징이지만 초기에는 특별한 징후나 증상이 없어 모르고 지내다가 우연히 발견될 때가 많다. 혼탁은 눈 표면을 유리창처럼 투명하게 덮고 있는 신체기관인 ‘각막’이 뿌옇게 변하는 증상이다. 한번 혼탁이 발생하면 이전으로 되돌리기 어려워 영구적인 시력저하나 실명이 이어지기도 한다.
특히 아벨리노 각막이상증(제2형 과립형각막이상증)은 시력교정수술 후 증세가 갑자기 나타나 각막에 흰점이 생기면서 시력이 급속히 악화되는 게 특징이다.
아벨리노 각막이상증을 일으키는 TGFBI 유전자 돌연변이는 각막에 미세한 상처가 날 때마다 이를 회복시키기 위해 비정상적인 변이단백질을 과도하게 생산한다. 이렇게 생성된 다량의 단백질이 흰 알갱이 형태로 각막에 쌓이게 되고 결국 실명에 이르게 된다.
라식‧라섹‧스마일라식과 같은 시력교정수술은 레이저로 각막을 깎아내기 때문에, 각막에 상처가 나는 게 불가피하다. 즉 아벨리노 각막이상증 환자가 시력교정수술을 받는다면 수술이나 회복 과정에서 실명 위기에 처할 수 있는 것.
존 마셜(John Marshall) 런던대학교 안과 교수는 “시력교정수술을 할 때 각막 절제로 인한 물리적인 상처는 필연적이다”며 “각막이상증 환자는 이 때 증상이 빠르게 악화돼 시력손실이 올 가능성이 있기 때문에 사전에 관련 검사를 받길 권고한다”고 조언한 바 있다. 존 마셜 교수는 라식‧라섹 등에 사용되는 엑시머 레이저를 개발한 시력교정수술의 권위자다.
◆대처법은?=각막이상증이 있으면 보통 20대 후반부터 서서히 혼탁이 진행되고, 50대가 되면 심각한 시력저하가 나타난다. 사람마다 여러 요인에 따라 발병되는 시기가 다르고, 진행 속도가 다르기 때문에 시력교정수술 전에는 꼭 관련 검사를 받는 게 좋다.
아직 각막이상증으로 발생하는 시력저하를 막을 수 있는 치료법은 없다. 무엇보다 각막이상증으로 발생한 혼탁이 시야를 가려서 시력저하에 이르게 되면 전층 혹은 표층 각막이식술 이외에는 치료법이 없다. 따라서 각막이상증 환자는 평소에 각막을 보호하는 생활습관을 몸에 익혀 악화를 막는 게 현재까지는 최선이라고 할 수 있다.
특히 일상생활 속에서 각막 손상이 생길 수 있는 상황을 되도록 피해야 한다. 가장 조심해야 할 것은 자외선이다. 강한 햇빛을 맞거나 용접작업 중엔 보안경이 필수다. 또 고온이나 미세먼지에 직접 노출될 수 있는 작업환경을 개선하기 위해 노력해야 한다.
Copyright © 농민신문. 무단전재 및 재배포 금지.