'뇌혈관 주위 공간 확장'이 심할수록 알츠하이머병 진행 빨라져
전체 맥락을 이해하기 위해서는 본문 보기를 권장합니다.
노인성 치매(알츠하이머병)에서 뇌혈관 주위 공간 확장 정도가 심하면 인지 기능이 빠르게 악화한다는 연구 결과가 나왔다.
정승호 교수는 "뇌혈관 주위 공간 확장이 알츠하이머병과의 연관성은 기존 연구에서 어느 정도 알려져 있었으나, 이번 연구는 알츠하이머병이 확인된 환자에서 종단 분석을 통해 뇌혈관 주위 공간 확장이 인지 저하와 연관 있다는 것을 처음으로 밝혀내 의미가 있다"고 했다.
이 글자크기로 변경됩니다.
(예시) 가장 빠른 뉴스가 있고 다양한 정보, 쌍방향 소통이 숨쉬는 다음뉴스를 만나보세요. 다음뉴스는 국내외 주요이슈와 실시간 속보, 문화생활 및 다양한 분야의 뉴스를 입체적으로 전달하고 있습니다.

노인성 치매(알츠하이머병)에서 뇌혈관 주위 공간 확장 정도가 심하면 인지 기능이 빠르게 악화한다는 연구 결과가 나왔다.
정승호 인제대 상계백병원 신경과 교수, 정석종 용인세브란스병원 신경과 교수, 이필휴 세브란스병원 신경과 교수 연구팀의 연구 결과다.
‘뇌혈관 주위 공간 확장(perivascular space dilation)’은 뇌 자기공명영상(MRI)을 찍을 때 흔히 발견되는 데, 해당 소견이 발견됐다는 것은 뇌 노폐물과 독소를 청소하는 기능에 문제가 생겼다는 것을 뜻한다.
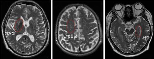
연구팀은 세브란스병원에서 양전자방출단층촬영(PET) 검사로 아밀로이드-베타 단백질 침착(침착이 있으면 알츠하이머병으로 진단함)이 확인된 208명의 알츠하이머병 환자에서 알츠하이머병 진단 시 시행한 3T(Teslaㆍ자장 세기) MRI 뇌 영상 가운데 기저 핵(basal ganglia), 난형 중심(centrum semiovale), 해마(hippocampus) 등 세 부위를 분석해 뇌혈관 주위 공간 확장의 정도를 확인했다.

또한 간이 정신 상태 평가(Mini-Mental State Exam)를 1년 이상 간격으로 2회 이상 시행한 158명의 알츠하이머병 환자에게서 각 부위의 뇌혈관 주위 공간 확장이 인지 점수 저하 속도와 어떤 관계가 있는지 분석했다.
그 결과, 세 부위에서 뇌혈관 주위 공간 확장과 아밀로이드-베타 단백질 침착 정도 사이 연관성이 발견되지는 않았다. 하지만 난형 중심 부위 뇌혈관 주위 공간 확장 정도가 심한 환자군은 그렇지 않은 환자군에 비해 매년 인지 점수가 0.58점씩 빠르게 감소하는 것을 알 수 있었다.
기존 연구로 뇌혈관 주위 공간 확장이 알츠하이머병과 관련 있다는 사실은 어느 정도 알려져 있었지만, 알츠하이머병이 확인된 환자에게서 뇌혈관 주위 공간 확장이 인지 저하와 연관이 있다는 것은 이번 연구를 통해 처음으로 밝혀졌다.
이는 뇌혈관 주위 공간 확장을 표적으로 하는 치료제가 알츠하이머병 진행을 억제하는 데에 도움을 줄 수 있다는 것을 시사한다.
정승호 교수는 “뇌혈관 주위 공간 확장이 알츠하이머병과의 연관성은 기존 연구에서 어느 정도 알려져 있었으나, 이번 연구는 알츠하이머병이 확인된 환자에서 종단 분석을 통해 뇌혈관 주위 공간 확장이 인지 저하와 연관 있다는 것을 처음으로 밝혀내 의미가 있다”고 했다.
정석종 교수는 “뇌혈관 주위 공간 확장은 뇌 MRI를 찍으면 쉽게 확인할 수 있는 영상 소견”이라며 “알츠하이머병 환자 진료 시 비교적 간단하게 인지와 관련된 예후를 예측할 수 있을 것으로 기대한다”고 했다.
연구 결과는 임상 신경학 분야 국제 학술지인 ‘Neurology’에 실렸다.
권대익 의학전문기자 dkwon@hankookilbo.com
Copyright © 한국일보. 무단전재 및 재배포 금지.
- "이대로라면 현장 문 닫아" 둔촌 주공도 셧다운 초읽기
- 심판 복 없는 한국…포르투갈 주심은 10명 퇴장 시킨 심판
- "헤어졌다"…현아·던, 열애 6년 만에 돌연 결별설
- 재판 가던 이재용 회장에게 계란 던진 방송인, 그가 남긴 이해 어려운 말
- 맨유에서 쫓겨난 호날두, 세계 최고 연봉에 '중동'으로?
- '아내 성폭행 오해'... 직장 동료 살해 40대 징역 15년
- '종아리 부상' 김민재, 가나의 역전골 자책해...구자철 "너무 슬프다"
- "내가 안 가르치면 200년 명맥 끊길라" 여전히 탈 쓰는 85세 문화재
- [단독] 미스코리아 최미나수, '미스 어스' 1위... 국내 최초 세계 대회 우승
- 46분간 버티다 '119' 버튼 눌렀는데... 참사 신고자 두 명 끝내 숨져