"'뇌혈관 주위 공간확장' 심할수록 알츠하이머 진행 빨라"
전체 맥락을 이해하기 위해서는 본문 보기를 권장합니다.
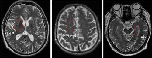
알츠하이머병 환자에게 관찰되는 '뇌혈관 주위 공간 확장' 정도가 심할수록 인지기능 악화 속도가 빠르다는 사실이 새롭게 규명됐다.
연구팀은 알츠하이머병 진단 환자들에 대한 뇌 자기공명영상(MRI) 검사를 추가로 시행해 뇌혈관 주위 공간 확장의 정도에 따른 인지기능 점수를 평가했다.
이 글자크기로 변경됩니다.
(예시) 가장 빠른 뉴스가 있고 다양한 정보, 쌍방향 소통이 숨쉬는 다음뉴스를 만나보세요. 다음뉴스는 국내외 주요이슈와 실시간 속보, 문화생활 및 다양한 분야의 뉴스를 입체적으로 전달하고 있습니다.
(서울=연합뉴스) 김길원 기자 = 알츠하이머병 환자에게 관찰되는 '뇌혈관 주위 공간 확장' 정도가 심할수록 인지기능 악화 속도가 빠르다는 사실이 새롭게 규명됐다.
상계백병원 신경과 정승호 교수, 용인세브란스병원 신경과 정석종 교수, 세브란스병원 신경과 이필휴 교수 공동 연구팀은 양전자단층촬영(PET) 검사에서 알츠하이머병으로 진단된 208명을 대상으로 분석한 결과 이런 연관성이 확인됐다고 1일 밝혔다.
!["'뇌혈관 주위 공간확장' 심할수록 알츠하이머 진행 빨라" [상계백병원 제공]](https://img1.daumcdn.net/thumb/R658x0.q70/?fname=https://t1.daumcdn.net/news/202212/01/yonhap/20221201112843857mauo.jpg)
알츠하이머는 치매 중 가장 흔한 유형으로, 전체의 약 60∼80%를 차지한다. 나이가 들수록 발병 위험이 커지며, 노인성 치매의 대표적인 원인 질환이다. 알츠하이머병 진단을 위한 뇌 영상 검사에서 흔히 발견되는 뇌혈관 주위 공간 확장은 뇌의 노폐물과 독소를 청소하는 기능에 문제가 생겼다는 것을 의미한다.
연구팀은 알츠하이머병 진단 환자들에 대한 뇌 자기공명영상(MRI) 검사를 추가로 시행해 뇌혈관 주위 공간 확장의 정도에 따른 인지기능 점수를 평가했다.
이 결과 뇌혈관 주위 공간 확장 정도가 심한 환자군은 그렇지 않은 환자군보다 매년 인지기능 점수가 0.58점씩 빠르게 감소하는 것으로 분석됐다.
연구팀은 이번 연구가 뇌혈관 주위 공간 확장과 인지기능 저하의 연관성을 처음 확인한 것으로, 앞으로 뇌혈관 주위 공간 확장을 표적으로 하는 치료제를 개발하면 알츠하이머병의 진행을 억제하는 데 도움이 될 수 있다는 의견을 제시했다.
이 연구 결과는 국제학술지 '신경학'(Neurology) 최근호에 발표됐다.
![[상계백병원 제공]](https://img3.daumcdn.net/thumb/R658x0.q70/?fname=https://t1.daumcdn.net/news/202212/01/yonhap/20221201112844348bpcz.jpg)
bio@yna.co.kr
▶제보는 카톡 okjebo
Copyright © 연합뉴스. 무단전재 -재배포, AI 학습 및 활용 금지
- 민희진 "뉴진스 위해 풋옵션 256억 포기, 하이브도 소송 멈추라" | 연합뉴스
- 중국 누리꾼, "한국은 문화 도둑국" "중국설 훔쳤다" 주장 | 연합뉴스
- 술 마시고 쇠파이프 휘두르며 6살 손자 위협한 할아버지 | 연합뉴스
- 새해 첫날 소방헬기서 태어난 미숙아, 두달만에 건강성장해 퇴원 | 연합뉴스
- 사패산터널서 발견된 100돈 금팔찌…두 달 만에 주인 찾아 | 연합뉴스
- 美 유명앵커, 모친 실종 3주 만에 현상금 14억 내걸며 호소 | 연합뉴스
- '음식 꺼내는데 바퀴벌레가'…배달 음식 민원, 2년새 두배 증가 | 연합뉴스
- 중학교 운동부 코치가 제자 나체 촬영 의혹…경찰 수사 | 연합뉴스
- 해경 경비정이 해상국립공원에 음식물쓰레기 투기…감찰 착수 | 연합뉴스
- 日여친이 '코인 연애적금' 권유…캄보디아發 '돼지도살' 사기 | 연합뉴스