폐 전이 대장암 환자에게 ‘고주파 열 치료술’ 효과
전체 맥락을 이해하기 위해서는 본문 보기를 권장합니다.
대장암이 폐로 전이됐을 때 전이 부위가 작다면 수술로 잘라낸다.
홍현표 교수는 "대장암 폐 전이 고주파 열 치료술의 경우 시술이 어려워 국내에서 활발하게 시술되지는 않고 있지만 우리 병원에서는 적극적으로 시행해 많은 임상 경험을 쌓았다"며 "다학제 진료로 후유증도 최소화하기 위해 최선의 노력을 다하겠다"고 했다.
이 글자크기로 변경됩니다.
(예시) 가장 빠른 뉴스가 있고 다양한 정보, 쌍방향 소통이 숨쉬는 다음뉴스를 만나보세요. 다음뉴스는 국내외 주요이슈와 실시간 속보, 문화생활 및 다양한 분야의 뉴스를 입체적으로 전달하고 있습니다.

대장암이 폐로 전이됐을 때 전이 부위가 작다면 수술로 잘라낸다. 하지만 폐를 절제하면 수술 후 폐 기능이 떨어질 수 있다. 게다가 방사선 치료와 항암화학요법까지 진행하면 방사선 치료 부위에 부작용이 발생할 수 있다.
이런 가운데 대장암이 폐로 전이된 환자에게 고주파 열 치료술을 시행해보니 좋은 결과를 나타냈다는 연구 결과가 나왔다.
홍현표(영상의학과)ㆍ함수연(영상의학과)ㆍ김형욱(외과)ㆍ구동회(혈액종양내과) 강북삼성병원 교수 연구팀은 이 같은 연구 결과를 ‘아시아태평양임상암학회지(Asia-Pacific Journal of Clinical Oncology)’ 최신호에 게재했다.
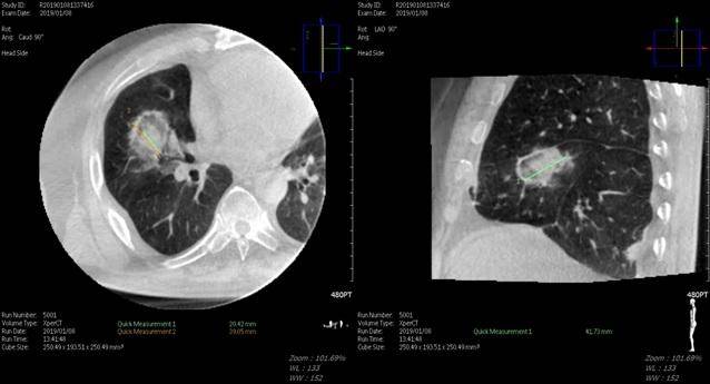
폐암 치료를 위한 고주파 열 치료술은 컴퓨터단층촬영(CT)ㆍ초음파검사 등 영상 의학 장비 유도 하에 시술 기구를 안전한 경로로 폐 내부 병변에 넣은 뒤 열을 발생해 종양을 치료하는 기법이다.
국소 치료법 중의 하나인 고주파 열 치료술은 수술이 어려운 간ㆍ폐ㆍ콩팥의 악성 종양 수술의 대체 치료법으로 인정받고 있다.
연구팀은 다학제 진료로 결정된 폐 전이 대장암 31명의 환자를 대상으로 시행된 48회의 폐 고주파 열 치료술을 분석했다.
대부분의 환자는 2박 3일 단기 입원을 해 국소마취로 시술을 받았다. 치료 성적은 1년과 2년차 국소 무재발 생존율이 각각 81%와 64%였고 전체 생존율은 각각 98%와 97%였다. 특히 3D 단층 영상을 재구성하는 방법으로 Cone-beam CT로 표적을 정확히 표적해 90%의 고주파 열 치료술 성공률을 기록했다. 18% 정도에서 시술 후 기흉이 발생하는 합병증이 있었지만, 임상적으로 큰 문제가 되는 경우는 없었다.
홍현표 교수는 “대장암 폐 전이 고주파 열 치료술의 경우 시술이 어려워 국내에서 활발하게 시술되지는 않고 있지만 우리 병원에서는 적극적으로 시행해 많은 임상 경험을 쌓았다”며 “다학제 진료로 후유증도 최소화하기 위해 최선의 노력을 다하겠다”고 했다.
구동회 교수는 “이번 연구로 고주파 열 치료술이 대장암 폐 전이에 효과적인 치료법이 될 수 있음을 확인했다”며 “추가 연구를 통해 후유증을 줄이고, 더욱 효과적인 치료가 될 수 있도록 노력하겠다”고 했다.
권대익 의학전문기자 dkwon@hankookilbo.com
Copyright © 한국일보. 무단전재 및 재배포 금지.
- 초유의 '업무개시명령'... '강대강' 노정 충돌 격화 불가피
- 한가인 "연정훈, 내 반지를 다른 여배우와 구입... 대판 싸웠다"
- 4박 5일 촬영 뒤 결혼까지..."대본 없다"는 '나는 솔로'
- 초등학교 3학년이 담임교사 폭행... 교육당국 조사
- 이란, 선수들에게 "국가 안 부르면 가족들 고문·감금" 협박
- 눈치 없는 가나 스태프... ‘속상한’ 손흥민과 ‘어깨 동무 셀카’
- 아파트 지하서 10년 썩은 건축쓰레기...왜 반복되나
- '퇴근 본능' 심판에 폭발한 벤투…감독 퇴장 1호
- [르포]"시진핑 비판 시위 틀어막아라"... 베이징은 살벌했다
- '100만 팔로워' 조규성 "멀티골 영광이지만, 승리를 더 원했다"