순천향대 부천병원 “21㎝ 거대 신장암 로봇수술로 제거 성공”
전체 맥락을 이해하기 위해서는 본문 보기를 권장합니다.
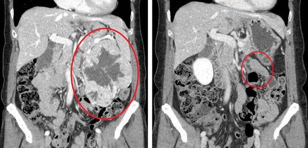
순천향대 부천병원은 비뇨의학과 이상욱 교수가 최근 로봇수술로 21cm에 달하는 '초거대 신장암'을 제거하는 데 성공했다고 29일 밝혔다.
지금까지 로봇수술로 제거 가능한 신장암의 크기는 최대 15cm로 알려졌지만, 최근 이상욱 교수는 환자 홍 씨(여·59세)의 왼쪽 신장에 생긴 21cm 종양을 로봇수술로 완전히 제거하는 데 성공했다.
이 글자크기로 변경됩니다.
(예시) 가장 빠른 뉴스가 있고 다양한 정보, 쌍방향 소통이 숨쉬는 다음뉴스를 만나보세요. 다음뉴스는 국내외 주요이슈와 실시간 속보, 문화생활 및 다양한 분야의 뉴스를 입체적으로 전달하고 있습니다.
순천향대 부천병원은 비뇨의학과 이상욱 교수가 최근 로봇수술로 21cm에 달하는 ‘초거대 신장암’을 제거하는 데 성공했다고 29일 밝혔다.

신장은 수술 시 출혈 위험이 큰 장기이다. 심장이 내보내는 혈액 25%가 신장을 지나고, 혈관이 복잡하게 얽혀있기 때문이다. 로봇을 이용한 신장암 수술은 기존의 개복 또는 복강경 수술보다 수술 시 출혈과 합병증을 최소화할 수 있으며, 수술 후 통증이 적어 진통제 사용량을 대폭 줄일 수 있다.
이상욱 교수는 ”로봇수술은 최대 15배까지 확대되는 입체적인 시야와 360도 회전하는 로봇팔로 더 정교한 수술이 가능해, 수술 시 다른 장기 손상을 최소화할 수 있으며 회복이 빠른 것이 큰 장점이다. 육안으로 보이는 상처도 0.8cm 정도로 작아 수술 흉터에 민감한 여성들의 만족도가 높다. 이번 ‘로봇수술을 통한 초거대 신장암 치료 성공사례’가 기존 수술법을 망설이는 환자들에게 좋은 치료법이 될 것“이라고 말했다.

정진수 기자 jen@segye.com
Copyright © 세계일보. 무단전재 및 재배포 금지.
- “8억 빚 파산한 중학생”…박보검, ‘몸값 수백억’에도 ‘이발 가위’ 쥔 진짜 이유
- “물리학도 윤하·6억 지민·50억 아이유”… 미래 틔우는 ‘장학 릴레이’
- ‘국민 안내양’ 김정연, 3일 KBS1 ‘6시 내고향’서 마지막 운행
- “식당서 커피머신 치웠더니 매출 10억”… 4번 망한 고명환의 ‘독한 계산법’
- 황대헌 폭탄선언, 中·日 뒤집혔다…“‘트러블 메이커’ 메달리스트의 충격 고백”
- “40도 세탁은 진드기에게 온천”…이불 속 ‘55도의 법칙’ 4단계
- “텅 빈 쌀통에서 71억”…조정석·남궁민·안보현, 공사장 배우들의 ‘훈장’
- “스타벅스 빌딩까지 다 던졌다” 하정우, 7월 결혼설 앞두고 터진 ‘100억원’ 잭팟
- “100억 빌딩보다 ‘아버지의 배’가 먼저”… 박신혜·박서진·자이언티가 돈을 쓰는 법
- 침묵 깬 김길리, 빙상계 ‘발칵’ 뒤집은 ‘최민정 양보’ 루머에 직접 입 열었다