파미셀 "코로나19 중증환자서 동종 줄기세포 치료제 효과 확인"
전체 맥락을 이해하기 위해서는 본문 보기를 권장합니다.
파미셀은 급성호흡곤란증후군(ARDS) 환자에게 동종 골수유래 줄기세포 치료제를 투여한 결과 보고서를 국제학술지 'Medicina'에 게재했다고 24일 밝혔다.
파미셀 관계자는 "코로나19 바이러스 감염으로 골수 채취가 불가능한 환자를 위해 동종 골수유래 중간엽줄기세포를 사용했다"며 "동종 줄기세포 치료제의 특성에 따라 채취 과정이 생략돼, 생명이 위급한 중증 환자와 고령의 환자에게 신속히 투여가 가능했다"고 말했다.
이 글자크기로 변경됩니다.
(예시) 가장 빠른 뉴스가 있고 다양한 정보, 쌍방향 소통이 숨쉬는 다음뉴스를 만나보세요. 다음뉴스는 국내외 주요이슈와 실시간 속보, 문화생활 및 다양한 분야의 뉴스를 입체적으로 전달하고 있습니다.

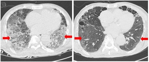
파미셀은 급성호흡곤란증후군(ARDS) 환자에게 동종 골수유래 줄기세포 치료제를 투여한 결과 보고서를 국제학술지 ‘Medicina’에 게재했다고 24일 밝혔다.
파미셀의 ‘셀그램-에이케이아이(Cellgram-AKI)’는 2020년 3월 식품의약품안전처로부터 코로나19 중증환자 치료를 위해 치료목적 사용 승인을 받았다. 파미셀과 원주의대 연구진은 코로나19로 ARDS가 발생한 중증환자 10명을 대상으로 셀그램-에이케이아이를 투여했다.
환자는 저산소증이 지속돼 기관 삽입을 통해 고농도의 산소를 주입했을 만큼 상태가 위중했지만, 치료제 투여 후 자가 호흡이 가능할 정도로 회복됐다고 했다.
연구진은 치료제 투여 106일 후 흉부 컴퓨터단층촬영(CT)을 진행했다. 그 결과 간유리음영(GGO)과 경화 정도가 감소하고, 오른쪽 폐 상단에 위치한 결절의 크기가 감소하는 등 폐 기능 개선을 확인했다. 줄기세포 치료제가 코로나19로 인한 ARDS 환자의 치료에 도움이 될 수 있음을 확인했다는 설명이다.
파미셀 관계자는 “코로나19 바이러스 감염으로 골수 채취가 불가능한 환자를 위해 동종 골수유래 중간엽줄기세포를 사용했다”며 “동종 줄기세포 치료제의 특성에 따라 채취 과정이 생략돼, 생명이 위급한 중증 환자와 고령의 환자에게 신속히 투여가 가능했다”고 말했다.
김예나 기자 yena@hankyung.com
Copyright © 한국경제. 무단전재 및 재배포 금지.
- "바닥이 어디야"…'노·도·강' 집값 끝 모를 추락
- 화물연대 총파업 돌입…둔촌 주공 내일부터 공사중단 위기
- "정주영 정신 되짚는다"…50년 만에 빛 보게 된 현대차 '포니 쿠페'
- 4년 만에 전세계 떠들썩한데…나홀로 우울한 중국
- 여전히 텅 빈 매장…"저희가 죄송합니다" 파바 점주들 절규 [현장+]
- 이승기 측 "음원 수익 몰랐다…매출·정산 내역 투명하게 공개하길"
- 권상우 "이민정과 격렬한 키스신, 고민했는데…"('스위치')
- [종합] 박슬기, 보이스피싱에 당했다 "1200만 원 피해, 벽에 머리를…"('세계 다크투어')
- '구준엽♥' 서희원, '양육권 거절' 前 남편 주장한 마약설 해명 "법 잘 지킨다"
- 이상순, 제주 카페 논란에 "이효리와 무관…온전히 제 카페"