‘정확도 89.4%’…한림대성심병원, CT 분석해 충수염 자동 진단 AI 모델 개발
전체 맥락을 이해하기 위해서는 본문 보기를 권장합니다.
국내 의료진이 컴퓨터단층촬영(CT) 영상을 분석해 충수염을 자동 진단하는 인공지능(AI) 모델을 개발했다.
한림대성심병원 외과 연구팀과 한림대의료원 의료인공지능센터는 CT 영상을 실시간으로 관찰해 충수염을 자동 판독해주는 AI 모델을 개발했다고 23일 밝혔다.
한림대성심병원 연구팀이 개발한 AI 모델은 CT 영상을 실시간으로 관찰해 충수염만 진단하는 게 가능하다.
이 글자크기로 변경됩니다.
(예시) 가장 빠른 뉴스가 있고 다양한 정보, 쌍방향 소통이 숨쉬는 다음뉴스를 만나보세요. 다음뉴스는 국내외 주요이슈와 실시간 속보, 문화생활 및 다양한 분야의 뉴스를 입체적으로 전달하고 있습니다.


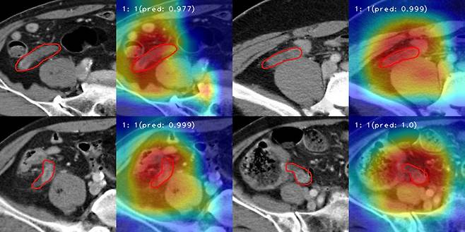
국내 의료진이 컴퓨터단층촬영(CT) 영상을 분석해 충수염을 자동 진단하는 인공지능(AI) 모델을 개발했다. 급성충수염은 임상 양상이 다양하고, CT 검사를 통해서도 비정상적인 충수가 발견되지 않아 다른 소화기 질환으로 오진하는 경우가 있다. AI 모델을 실용화하면 오진을 줄이고, 신속한 환자 진료가 가능해져 효율적인 인력 운영에 도움이 될 것으로 예상된다.
한림대성심병원 외과 연구팀과 한림대의료원 의료인공지능센터는 CT 영상을 실시간으로 관찰해 충수염을 자동 판독해주는 AI 모델을 개발했다고 23일 밝혔다.

흔히 맹장염으로 알려진 충수염은 맹장 끝 부위인 충수돌기에 발생한 염증을 의미한다. 구역질, 구토, 메슥거림 등의 증상이 나타나다가 명치 부위와 상복부에 점차 통증 강도가 심해지는 특징이 있다. 상복부 통증은 시간이 지나면 배꼽 주위를 거쳐 충수의 위치인 우하복부 통증으로 바뀌는데 서서히 미열이 나타나고 한기를 느끼기도 한다.
급성충수염은 수술 통계 5위를 차지하는 다빈도 질환인 동시에 오진할 수 있는 질환이다. 질환 특성상 의심 증상으로 병원을 찾는 환자는 야간이나 주말 응급실을 통해 병원을 찾는 경우가 많다. 이때는 복부 영상의학과 전문의에 의한 정확한 판독이 제한될 수 있다. 게다가 급성충수염은 임상 양상이 다양하고, CT 영상을 통해서도 비정상적인 충수가 발견되지 않아 다른 소화기 질환으로 오진하는 경우도 있다.
충수염 진단이 늦어지면 천공이 발생할 수 있다. 충수염의 우측 하복부 염증이 복막염이나 골반내농양으로 발전하면 충수절제술 이상의 외과적 처치로 커질 수 있다는 것이다. 수술 후 합병증이 더해질 가능성도 있다.
한림대성심병원 연구팀이 개발한 AI 모델은 CT 영상을 실시간으로 관찰해 충수염만 진단하는 게 가능하다. 대장염, 말단회장염, 상행결장게실염 등 충수염과 임상적으로 유사한 질환을 걸러내는 것이다.
연구팀은 2013~2020년 한림대학교의료원에서 충수염 진료를 위해 CT 촬영한 환자 4701명의 데이터와 2019년부터 올해 5월까지 응급실을 내원해 복부 통증으로 CT 촬영한 환자 4452명의 데이터를 분석했다.
이후 충수염 환자 1839명, 충수염이 아닌 것으로 진단받은 1782명의 데이터를 걸러내고 ‘3D 콘볼루션 신경망(CNN)’을 활용한 모델에 학습시켰다. 학습을 마친 AI 모델의 충수염 진단 정확도는 89.4%로 나타났다. AI 모델의 성능을 평가하는 데 사용하는 ‘곡선하면적(AUC)’ 점수는 0.890으로 집계됐다.
조범주 의료인공지능센터장은 “이번 AI는 기존 모델들과 달리 3차원 CT 영상을 입체적으로 인식했다는 점에서 의의가 있다”라고 설명했다.
손일태 교수는 “이번 AI 모델의 민감도, 곡선하면적점수, F1 점수 등을 높이기 위해 다양한 방법을 검토하고 있다”라며 “이번 모델의 상용화 작업과 더불어 향후 충수와 관련된 모든 질환의 자동 판독을 목표로 연구할 계획”이라고 말했다.
한편 이번 AI 모델은 최근 열린 국제 대한외과학회 및 대한외과의사회 추계학술대회에서 발표돼 ‘최우수 연구자상’을 받았다.
- Copyright ⓒ 조선비즈 & Chosun.com -
Copyright © 조선비즈. 무단전재 및 재배포 금지.
- “배 주문 바꿔줘”... 선주가 컨테이너선 취소하고 유조선으로 갈아타는 이유
- [사이언스샷] 비아그라가 유전병 치료제로 변신
- “팔수록 적자, 차라리 문 닫자”… 정유사 깜깜이 정산에 간판 불 끄는 주유소들
- 국내 최초로 美에 무기 수출 목표… 한화에어로, 신형 K9 자주포 개발에 ‘박차’
- “2년 내 다시 불황 올 수도”… 삼성전자, 메모리 호황기에도 투자·운영 ‘백업 플랜’ 고심
- 삼성증권의 지난해 연봉킹, 사장 아니었다…노혜란 지점장 1위
- ‘역삼동 오피스’ 개발 본궤도… 넥슨게임즈 입주한다
- 패션·뷰티 中 전문가 앞세운 무신사… 현지 밀착 공략
- 한화에어로, 호주 공장 2단계 증축… 레드백 장갑차 생산 돌입
- ETF ‘1조 클럽’ 1년 새 두 배로... 불안 장세가 키운 ETF 열풍, 수익률은 극과 극