치매 위험 5배↑..망막 두께 얇아서?
전체 맥락을 이해하기 위해서는 본문 보기를 권장합니다.
부모님께서 눈이 침침해 안과검사를 받는다면 망막 두께도 함께 확인하시라 권하는 건 어떨까? 망막 두께가 얇은 노인은 향후 치매 혹은 인지기능장애를 앓을 확률이 약 5배 이상 높다는 연구결과가 발표됐다.
분당서울대병원 안과 연구팀은 26일 망막 황반부 신경섬유층 두께가 얇을수록 향후 치매를 겪을 위험이 높다고 밝혔다.
이 글자크기로 변경됩니다.
(예시) 가장 빠른 뉴스가 있고 다양한 정보, 쌍방향 소통이 숨쉬는 다음뉴스를 만나보세요. 다음뉴스는 국내외 주요이슈와 실시간 속보, 문화생활 및 다양한 분야의 뉴스를 입체적으로 전달하고 있습니다.

부모님께서 눈이 침침해 안과검사를 받는다면 망막 두께도 함께 확인하시라 권하는 건 어떨까? 망막 두께가 얇은 노인은 향후 치매 혹은 인지기능장애를 앓을 확률이 약 5배 이상 높다는 연구결과가 발표됐다.
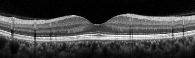
분당서울대병원 안과 연구팀은 26일 망막 황반부 신경섬유층 두께가 얇을수록 향후 치매를 겪을 위험이 높다고 밝혔다. 이번 연구결과는 최근 국제학술지 ‘미국의학협회 안과학 저널’에 게재됐다.
망막은 우리 눈 가장 안쪽에 있는 신경세포막으로, 층이 나눠져 있다. 빛을 감지하고 시각정보를 처리하고 통합해 대뇌로 전달하는 역할을 한다.

연구팀은 망막 두께 감소와 인지기능저하 사이 연관성을 밝히기 위해 성남시 거주 노인인구 430명을 대상으로 초기 망막 두께를 측정하고, 망막 두께에 따라 이후 5년 동안 정기적으로 시행한 인지기능검사 결과에 어떤 차이가 있었는지를 분석했다.
그 결과 여러 망막층 가운데 황반부 신경섬유층(Retinal Nerve Fiber Layer) 두께가 하위 25%에 해당하면 치매 발생확률이 약 5배 이상 높은 것으로 나타났다.
하위 25%는 약 231μm(마이크로미터) 이하인 경우다. 망막 두께 정밀 분석에는 ‘빛간섭단층촬영’이 사용됐으며, 다른 망막층은 치매 발생확률에 뚜렷한 연관성이 보이지 않았다.

우세준 분당서울대병원 안과 교수는 “황반부 신경섬유층 두께를 측정하고 이를 바탕으로 인지기능장애 위험도를 예측할 수 있다는 점이 입증됐다”며 “임상현장에서 인지기능장애 조기 진단과 치료에 활용할 수 있는 가능성이 높다”고 설명했다.
김기웅 분당서울대병원 정신건강의학과 교수는 “치매(인지기능장애) 원인이 하나 둘 규명되고 있다”며 “망막 구조가 인지기능에 영향을 미치는 기전을 밝혀낸다면 치료법 발전에도 큰 도움이 될 것”이라고 기대했다.
임태균 기자
Copyright © 농민신문. 무단전재 및 재배포 금지.