등산 후에 아픈 무릎, 관절염 말고 '이 부상'? 정형외과 선상규 원장 [인터뷰] ①
민경산 2022. 5. 28. 09:01
사회적 거리 두기가 완화되고 코로나19의 확산세가 줄어들면서 산을 찾는 사람들이 늘고 있다. 그런데 등산은 무릎을 많이 쓰는 활동이므로, 자칫하다가는 무릎을 다치기 쉽다.
정형외과 선상규 원장(코끼리정형외과의원)은 "산에서 급격하게 방향을 전환하거나 발을 헛디뎌 미끄러지면서 무릎 반월상 연골을 다치기 쉽다"라고 이야기했다. 또, "무릎 관절의 노화가 진행되는 40대 이상부터는 특히 등산을 할 때 무릎 반월상 연골을 다치지 않도록 주의해야 한다"라고 말했다. 이어, 반월성 연골판의 역할과 이 부위의 손상을 알아챌 수 있는 증상과 진단 검사 방법을 소개했다.

Q. 반월상 연골판은 우리 몸에서 어떤 기능을 담당하나요?
무릎은 대퇴골과 경골, 즉 허벅지 뼈와 종아리뼈 사이에 위치한 다리 관절입니다. 그중에서도 반월상 연골판은 대퇴골과 경골이 받는 충격을 완충하는 곳입니다. 반월상 연골판은 질긴 섬유 조직이고, 혈류가 잘 흐르지 않는 곳에 위치해 있습니다. 따라서 한번 손상을 입게 되면, 다른 관절이나 연골보다 재생 속도가 더딥니다.
반월상 연골판이 필요한 이유는 무릎 관절이 닳지 않도록 보호해 주기 때문입니다. 반월상 연골은 무릎 관절에 가해지는 체중을 분산시킵니다. 만약 반월상 연골이 존재하지 않는다면 반월상 연골이 있을 때에 비해 무릎 관절에 2~3배의 힘이 더 실릴 것입니다. 그 외에도 반월상 연골판이 수행하는 역할이 두 가지 정도 더 있습니다. 첫째는 관절이 흔들리지 않도록 잡아주는 안정화 기능이고, 둘째는 관절액이 고루 퍼지도록 돕는 윤활 기능입니다. 관절액은 자동차 엔진 속 윤활유처럼 관절과 관절 사이의 마찰을 줄여줍니다.
Q. 무릎 관절 연골과 반월상 연골판의 차이는 무엇인가요?
상당수의 환자들이 관절 연골과 반월상 연골을 헷갈려 합니다. 그런데, 무릎 관절과 반월상 연골판은 서로 다르므로 정확히 구분해야 합니다.

반월상 연골판은 무릎 관절 연골 사이에 있습니다. 초승달 모양을 띄고 있으며 무릎의 안쪽과 바깥쪽에 각각 하나씩 있습니다. 아울러 반월상 연골판이 무릎 관절보다 더 말랑하고 탄력성이 강합니다. 그래서 반월상 연골판은 충격을 흡수하는 구조물입니다. 반면 무릎 관절 연골은, 완충작용보다는 무릎 위, 아래 뼈가 마모되는 것을 막아주는 구조물입니다.
한편 연골의 손상 기전에도 약간씩 차이가 있습니다. 무릎 관절 연골의 손상은 대부분 노화에 의한 것입니다. 즉, 나이가 들면서 신체의 여러 기관이 노화하는 과정의 일환으로 무릎 관절 연골 손상이 나타납니다. 그런데 반월상 연골판 손상은 젊은 사람들에게도 나타날 수 있습니다. 또한, 외부로부터 받은 충격에 의한 손상이 무릎 관절보다 반월상 연골판이 훨씬 더 많습니다.
Q. 관절염과 반월상 연골의 상관관계가 궁금합니다.
관절 연골과 반월상 연골판은 서로 밀접하게 연관되어 있습니다. 반월상 연골판을 다치면, 관절 연골도 취약해질 가능성이 높습니다. 반대의 경우도 성립하는데, 퇴행성 관절염 환자는 일반적인 사람들보다 반월상 연골판을 다치게 될 확률이 높습니다.
먼저 반월상 연골판이 파열된 경우부터 살펴보겠습니다. 이 상태에서는 무릎에 가해지는 충격이 제대로 흡수되지 못하고 무릎 관절 연골에도 전해집니다. 그러면서 관절 연골이 점점 닳게 되고, 이는 퇴행성 관절염을 초래합니다. 만약 기존에 관절염이 있는 환자라면, 반월상 연골판을 다쳤을 때 관절염 진행 속도가 더욱 빨라집니다.
한편 관절염도 반월상 연골판 파열에 영향을 끼칩니다. 관절염이 심해질수록 무릎 관절의 간격이 점점 좁아집니다. 그러면서 반월상 연골판이 좁아진 무릎 관절 사이에 낄 수 있고, 이는 반월상 연골판 파열을 초래하는 원인입니다.
Q. 산에서 내려올 때 반월상 연골판을 다치기 쉬운 이유가 무엇인가요?
일단 반월상 연골판 파열이 어떻게 구분되는지 설명하겠습니다. 우선 신체 노화로 인한 퇴행성 파열이 있습니다. 원래 말랑말랑한 반월상 연골판이 탄력성을 잃고 딱딱하게 변성되는 것이 원인입니다. 그리고 외부의 충격에 의한 '외상성 파열'이 있습니다. 젊은 사람들이 등산이나 격한 운동을 하다가 반월성 연골판이 파열되는 경우가 이에 해당합니다.
산은 올라갈 때보다 내려갈 때 더 조심해야 합니다. 산을 오를 때는 체중의 2~3배, 내려갈 때에는 체중의 5~7배 정도의 하중이 무릎에 전해지기 때문입니다. 특히 경사가 가파른 길을 내려갈 때는 무릎이 120도 이상으로 과하게 구부러지게 됩니다. 이러한 동작을 반복하다 보면 체중의 15배에 달하는 하중이 무릎에 전달되면서 반월상 연골판을 비롯한 무릎의 여러 연골에 부담이 가해집니다.

아울러 산을 빠르게 내려오는 것을 선호하는 분들도 있습니다. 그러나 이러한 습관은 무릎 건강에 해롭습니다. 하산할 때 큰 보폭으로 급하게 내려오면 무릎이 쉽게 뒤틀립니다. 그러다 보면 반월상 연골판이 손상될 확률도 자연스레 높아집니다.
Q. 반월상 연골 손상, 어떻게 발견하나요?
반월판 연골 손상을 알아차릴 수 있는 증상에 대해 말씀드리겠습니다. 우선 걸을 때 무릎에 힘이 들어가지 않고 무릎 하단부에 통증이 느껴졌다면 반월성 연골판 파열을 의심하는 것이 좋습니다. 아울러 운동 중에 갑자기 무릎을 구부렸다 펴는 동작을 할 수 없을 때에도 반월성 연골판 파열일 가능성이 큽니다. 이러한 증상을 무릎 잠김 현상(Locking)이라고 흔히 표현합니다. 한편, 운동을 하지 않던 와중에도 갑자기 관절에서 '뚝'하고 소리가 났거나, 평소 무릎 관절이 자주 붓고 뻣뻣하다면, 이 역시 반월성 연골판 파열을 암시하는 증상입니다.
반월판 연골 손상은 찜질만으로 해결되지 않습니다. 이 부상을 치료하기 위해서는 정형외과 전문의의 진료가 꼭 필요합니다. 환자가 내원했을 때 가장 먼저 '이학적 검사'를 실시합니다. 이학적 검사란 청진, 촉진 등을 바탕으로 환자의 상태를 진단하는 방법입니다. 이학적 검사에서 확인하는 증상은 다음과 같습니다. △반월상 연골판이 있는 무릎 부위의 통증 유무 △관절 운동 시 발생하는 마찰음 △무릎 잠김 현상 △자극에 대한 반응 정도(반월상 연골판) △파열된 무릎 관절선의 압통 △관절 부종.

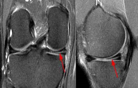
한편 반월상 연골판 파열이 강하게 의심된다면, 반월상 연골판 중 어느 부위가 파열됐는지, 파열된 부위의 크기와 형태는 어떠한지 파악해야 합니다. 이때 활용하는 검사가 MRI 검사입니다. 검사 시간은 오래 걸릴지 몰라도 부상 부위를 정확히 살펴볼 수 있는 방법입니다.
도움말 = 하이닥 상담의사 선상규 원장 (코끼리정형외과의원 정형외과 전문의)
민경산 하이닥 건강의학기자 rudtks19@naver.com
건강을 위한 첫걸음 - 하이닥 ⓒ ㈜엠서클, 무단 전재 및 재배포 금지
Copyright © 하이닥. 무단전재 및 재배포 금지.
하이닥에서 직접 확인하세요. 해당 언론사로 이동합니다.
- [바른 근골격 생활] 무심코 한 ‘이 습관’, 거북목증후군을 악화시키는 원인?
- [쉬운 신경질환사전] 손떨림은 파킨슨병 증상?...떨림증을 유발하는 7가지 원인
- 용량에 따라 용도가 달라지는 ‘아스피린’…복용 금해야 하는 사람은?
- 누워서 10분 만에 코어 근육 강화하는 '데드버그 운동'
- 내 최종 키가 궁금하다면? 성장 예측 검사 [알고 받는 건강검진]
- 영양제와 독은 한 끗 차이…영양제 많이 먹고 있다는 신호는?
- 증가하는 유산율… 자연 유산은 왜 일어날까?
- 탈모방지 샴푸, 정말 효과 있나요?
- 디퓨저, 알레르기 물질·필수 표시 미흡…건강에는 괜찮을까?
- 바둑판, 타일이 물결치듯 굽어보인다?...눈 속 '이곳'에 문제생겼단 신호 [눈+사람]