[굿닥터]근골격계 종양 '육종암'..손실된 뼈.근육 '사지구제술'로 재건 가능
10대 성장기 남성 청소년 무릎서 자주 발생
절반가량이 팔·다리에 증상 나타나
[이데일리 이순용 기자] 팔과 다리에도 암이 생긴다. 발생 빈도가 높지는 않지만 팔과 다리를 구성하는 근골격계 조직에서도 암은 발생할 수 있다. 이처럼 뼈와 연골, 근육, 지방, 신경, 혈관 등 우리 몸의 골격을 구성하는 비상피성 결합조직에서 발생하는 종양을 ‘근골격계 종양’이라고 한다.
10만명 당 5명 이하 발생률
흔히 알고 있는 폐암, 유방암과 같은 대부분의 암은 상피 조직에서 기원한다. 상피 조직에서 기원한 암은 암종(carcinoma), 비상피성 결합조직 즉 중배엽 조직에서 발생하는 암은 육종(sarcoma)으로 구분한다. 흔히 근골격계 종양은 우리 생명에 위협을 미치지 않는 ‘양성 종양’과 전이하고 생존에 영향을 주는 악성종양인 ‘육종암’으로 분류하는데, 육종암은 다시 뼈나 연골에 생기는 ‘악성 골종양’과 그 외 연부조직(근육·신경·혈관·지방·섬유조직 등)에 발생하는 ‘연부조직육종’으로 나뉜다.
이름부터 생소한 이 육종암은 전체 악성 종양에서 발병 비율이 1% 미만인 희귀암이다. 발생률은 인구 10만 명당 5명 이하로 낮지만, 치료시기를 놓치면 전이할 수 있고 생존율도 높지 않다. 희귀질환이다 보니 이 분야를 전공한 정형외과 전문의들조차 매우 제한적인데, 근골격계 종양 분야에서 치료 명의로 꼽히는 김용성 분당서울대병원 정형외과 교수는 “육종암은 아형에 따라, 또 악성도에 따라 예후가 매우 다양한데 기본적으로 악성 종양이기 때문에 방치하게 되면 암이 전이 되고 수술로 근치적 치료가 어려워질 수 있다”고 설명했다.

지난 2016년 기준으로 육종암은 국내에서 약 500명이 진단됐다. 각각의 육종은 병리학적 검사를 통해 종양세포가 어떤 세포를 기원으로 하는지에 따라 진단이 이뤄지는데, 매우 다양한 아형이 있고 또 그에 따라 호발하는 연령과 위치도 다양하다. 희귀암임에도 종양의 종류만큼 발생 부위가 다양하기 때문에 그에 따라 신경이나 혈관, 주요 관절 등을 절제하고 재건해야 하는 등 치료 방법 역시 모두 달라진다. 따라서 집도의의 지식과 경험이 무엇보다 중요하다고 볼 수 있다.
골육종의 경우에는 호발 연령과 위치가 비교적 잘 알려져있는 편이다. 남녀노소 누구에게서나 발병할 수 있지만 주로 10대 성장기 남성 청소년에게서 많이 발병하며, 흔히 발생하는 부위는 무릎 주변의 뼈이다. 주된 증상은 통증과 부종으로, 뼈 구조가 약화하면서 통증이 발생하게 된다. 일반적인 가벼운 타박상에도 통증이 오래 가고 밤에 통증이 심해지는 경향이 있다. 김 교수는 “특정 부위에 통증이 2주 이상 지속하고 악화한다면, 우선 정형외과를 찾아 단순 방사선 검사를 통해 통증 부위에 병변이 없는지 확인해보는 것이 좋다”고 말했다.
반면에 연부조직육종은 증상이 없는 경우가 많다. 혹이 만져져야 병원을 찾는 경우가 많은데 허벅지나 골반강, 복부 깊은 부위에 발생할 경우에는 종양이 크게 자랄 때까지 알아차리기가 쉽지 않다. 종양이 커지면 그제야 주위 조직을 압박하면서 통증이 나타날 수 있다. 발생하는 아형에 따라 호발 연령은 매우 다양하며, 발생부위도 천차만별이다.
희귀암에 지속적 관심 필요
김 교수는 “안타깝게도 육종암의 발병 원인은 아직 정확하게 알려진 바가 없다”고 했다. 암 유발에 관여하는 중요한 유전자가 일부 육종에서 알려지긴 했으나, 유방암·대장암과 같이 주요 발생 기전이 알려진 육종은 거의 없다. 다만, 김 교수는 “많은 연구자들이 최근 유전체 분석을 이용해 육종을 분석하는 연구가 비교적 활발히 이뤄지고 있는 추세”라고 덧붙였다.
발생기전을 정확히 알지 못하는데다 희귀질환이다 보니, 치료와 관련한 연구에 제약이 있다. 양성 종양일 경우에는 특별히 치료를 하지 않고 정기적으로 경과를 관찰하게 된다. 하지만 양성 종양이라 할지라도 통증이 있거나 악성화할 가능성이 높은 경우, 골절이 일어날 경우에는 수술로 제거해야 한다.
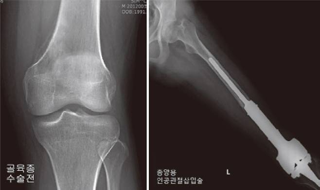
반면에 육종이 확진되면 수술적 치료는 필수다. 과거에는 육종암이 사지에 발생하면 해당 부위를 대부분 절단해 치료했다. 하지만 1970년대 항암 및 방사선 치료를 보조적으로 사용하게 되면서 요즘은 절단까지 시행하는 사례는 5% 미만으로 알려져있다. 현재 대부분 수술은 종양을 제거하면서도 사지 기능은 최대한 살리되 생존율을 높이는 ‘사지구제술’을 시행하고 있다.
사지구제술은 먼저 암세포 병변을 광범위하게 절제하고, 결손된 뼈와 연부 조직을 재건하는 순서로 진행한다. 재건이란 말 그대로 결손된 구조물을 대치물로 채워 넣는 방법이다. 금속으로 만들어진 인공관절을 삽입할 수도 있고, 또는 자신의 뼈를 재이용하는 자가골 이식, 다른 사람의 뼈를 이용하는 동종골 이식 등의 방법이 있다. 최근에는 3D 프린팅을 이용해 자기 뼈에 최적화된 대치물을 제작해 넣는 수술이 새롭게 각광 받고 있다.
수술 후에는 조직검사결과에 맞춰 방사선이나 항암치료를 시행하면서 정기적으로 추시하는 것이 중요하다. 수술 후 5년 동안 추시하는 것이 일반적이지만 육종암의 경우는 종류에 따라서 수술 10년까지 추시하는 경우가 많다. 김 교수는 “특히 소아 청소년 골육종 환아들의 경우 암이 완치가 되었다 하더라도, 그 이후에 지속적으로 정형외과적 치료와 관리를 받아야 한다”고 강조했다. 성장이 끝날 때 불가피하게 다리 길이가 차이가 난다든지, 절제한 골결손 부위에 삽입한 대치물의 유지 및 관리를 위해서다.

이순용 (sylee@edaily.co.kr)
Copyright © 이데일리. 무단전재 및 재배포 금지.
- `사퇴론` 입장 밝힌 이준석 "난 관대해…이런 게 민주주의"
- 김영희 "이재명 부부 `캐롤 뮤비`, `나가수` 보다 힘들었다"
- "손님 안 올 각오했다"…간판 끄고 '소등시위' 나선 자영업자들
- 윤석열 '도리도리'에 김건희 '목덜미'…SNL, 매운맛 정치풍자
- "아내 역할만 충실" 김건희에 고민정 "영부인 선택영역 아냐"
- 50년 전 얻어먹은 홍합 한그릇…수표로 갚은 70대 노인
- 거래 안되고 매물 쌓이는데...호가 안 떨어지는 이유
- 손흥민, 모우라 제치고 크리스탈 팰리스전 KOTM 선정
- 여자골프 줄잇는 억대 계약..김수지 재계약, 안나린·김지현 새 둥지로
- "우울한 시국 말한 건데"…전현무, 이혜성과 애정전선 이상무