뷰노, 삼성전자 천장형 엑스레이에 AI 영상 판독 솔루션 탑재
전체 맥락을 이해하기 위해서는 본문 보기를 권장합니다.
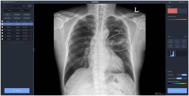
뷰노(338220)는 삼성전자의 천장 고정형 디지털 엑스레이 촬영 장비 'GC85A'에 회사의 '뷰노메드 체스트 엑스레이'를 탑재하는 계약을 체결했다고 1일 밝혔다.
뷰노메드 체스트 엑스레이는 인공지능(AI) 기반 흉부 엑스레이 영상 판독 솔루션이다.
뷰노메드 체스트 엑스레이는 폐 질환 진단을 돕는 AI 솔루션이다.
회사에 따르면 뷰노메드 체스트 엑스레이는 AI 알고리즘의 연산 최적화로 장비를 경량화한다.
이 글자크기로 변경됩니다.
(예시) 가장 빠른 뉴스가 있고 다양한 정보, 쌍방향 소통이 숨쉬는 다음뉴스를 만나보세요. 다음뉴스는 국내외 주요이슈와 실시간 속보, 문화생활 및 다양한 분야의 뉴스를 입체적으로 전달하고 있습니다.

뷰노(338220)는 삼성전자의 천장 고정형 디지털 엑스레이 촬영 장비 ‘GC85A’에 회사의 ‘뷰노메드 체스트 엑스레이’를 탑재하는 계약을 체결했다고 1일 밝혔다.
뷰노메드 체스트 엑스레이는 인공지능(AI) 기반 흉부 엑스레이 영상 판독 솔루션이다. 뷰노는 지난 6월 같은 제품을 삼성전자의 이동형 촬영 장비 ‘GM85′에 공급하는 계약을 체결했다. 이동형에 이어 천장형으로 탑재 제품을 확대했다.
뷰노는 이를 통해 글로벌 디지털 엑스레이 시장을 공략한다는 계획이다. 세계 의료기기 기업과 뷰노메드 솔루션을 탑재하는 협력관계를 구축한다는 것이다.뷰노메드 체스트 엑스레이는 폐 질환 진단을 돕는 AI 솔루션이다. 흉부 엑스레이 이상소견을 탐지하고 위치와 소견을 제시한다. 2019년 8월 식품의약품안전처의 허가를 받았다.
지난해 6월에는 유럽 제품인증(CE)을 획득해 국내 및 주요 유럽 국가에 판매 중이다.회사에 따르면 뷰노메드 체스트 엑스레이는 AI 알고리즘의 연산 최적화로 장비를 경량화한다. 이로 인해 다양한 엑스레이 장비에 탑재할 수 있다.
- Copyright ⓒ 조선비즈 & Chosun.com -
Copyright © 조선비즈. 무단전재 및 재배포 금지.
- [단독] “엄마 숨 못 쉬겠어”… 급박했던 은마아파트 화재, 위층 들어가 보니
- 오락가락 규제 헛발질에 고사 위기…원지 90%가 수입산, 종이컵 산업 ‘흔들’
- “로직 다이 수율은 안정권”… 삼성전자, HBM4용 D램 수율 제고 ‘총력전’
- 경쟁사보다 2000만원 싸다… 中 파격 공세에 유럽 전기차 시장 ‘비상’
- LNG선보다 고수익… ‘해양플랜트 강자’ 삼성重, FLNG 수주로 실적 개선 전망
- 서초 아파트 10억 낮춘 매물도… 매도·매수자 눈치싸움 치열
- 지금 주가 4만원인데… 4만5000원에 주식 사는 ‘교환사채’ 투자하는 증권사들, 왜?
- 서울 빌라 10년 만에 최고치 찍었는데… 임대사업자 규제 예고에 ‘급랭’
- 서울 강남 은마아파트 화재...1명 사망·3명 부상
- “컴백하면 오르던 시대 끝났다”…방탄도 못 살린 K콘텐츠, 상승률 ‘꼴찌’