[건강 팁] 관상동맥 질환, CT촬영 통한 '칼슘 수치'로 심혈관 위험 예측 가능
이상 소견땐 추가 정밀검사 고려
무증상자들 고지혈증 약 등 처방
운동·식습관 개선 등 병행해가야

심장은 혈액을 전신으로 보내주는 근육 기관이다. 평생 펌프질을 계속 한다. 지속적인 운동을 위해서는 끊임없이 에너지가 공급돼야 한다. 심장 역시 몸의 다른 장기와 같이 혈액을 받아 그 안에 있는 산소와 영양분을 사용한다. 이 때 심장에 혈액을 공급하는 통로가 관상동맥이다. 흔히 알려진 관상동맥질환은 이 관상동맥이 좁아져 상대적으로 심장 근육에 공급돼야 할 혈액의 양이 부족해지는 경우를 말한다.
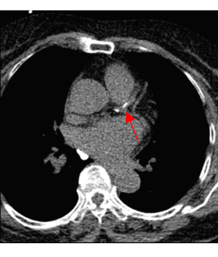
관상동맥질환을 일으키는 주된 원인은 동맥경화증이다. 인체의 상수도에 해당하는 동맥이 각종 원인에 의해 통로가 좁아져 혈액의 흐름에 장애가 발생하는 상태라고 할 수 있다. 협심증과 심근경색이 대표적인 질환이다. 관상동맥질환의 위험도를 볼 수 있는 가장 간편한 방법은 관상동맥 칼슘(석회화) 수치를 측정하는 것이다. 동맥경화가 발생, 진행하는 과정에서 칼슘이 생성 혹은 침착되기 때문이다. 관상동맥 칼슘은 컴퓨터단층촬영(CT)으로 발견 및 정량화가 가능하다. 1회 측정할 때 방사선량은 0.9~1.1밀리시버트(mSv)다. 방사선수치가 높은 만큼 관상동맥 칼슘의 유병률이 매우 낮은 40세 미만의 남자와 50세 미만의 여자에게는 일반적으로 관상동맥 칼슘 측정을 위한 CT 촬영은 권하지 않는다.
관상동맥 칼슘 수치는 무증상 성인에서 향후 심혈관계 사건을 예측할 수 있는 것으로 알려져 있다. 고지혈증, 고혈압, 당뇨 및 흡연과 같은 전통적인 위험 인자에 더해 추가적인 예측 능력을 제공할 수 있는 것이다. 관상동맥 칼슘수치가 0인 경우에는 향후 3~5년 동안 관상동맥질환으로 인한 사망이나 심근경색의 발생률이 0.4%에 불과하지만, 관상동맥 칼슘수치가 100~400인 사람들은 관상동맥 칼슘수치가 0인 사람들을 기준으로 상대위험도가 4.3배 높다. 400~1,000인 사람들은 7.2배, 1,000이 넘는 경우 10.8배 증가되는 것으로 알려져 있다. 관상동맥 칼슘수치가 높으면 높을수록 심혈관질환이 발생할 위험이 높은 것이다.
최근에는 건강검진에서 관상동맥 칼슘수치를 측정하는 경우가 점점 늘어나고 있고, 칼슘수치가 높아 병원을 찾는 환자들을 드물지 않게 접하고 있다. 증상이 없는 사람에게 적극적인 추가 검사는 권고되지 않는다. 하지만 노인, 여성 환자, 당뇨 환자 등 증상이 비전형적으로 나타나거나 증상을 잘 느끼지 못할 가능성이 있는 경우에는 증상 유무를 판단하기 위해 자세한 병력 청취가 필요하다.

관상동맥 칼슘 수치가 400 이상인 경우에는 단일광자단층촬영(SPECT) 등 심근관류영상 검사를 고려할 수 있다. 일부 연구에서는 관상동맥 칼슘수치가 400 이상인 환자들 중 많게는 3분의 1이 심근 허혈이 있었다고 보고되고 있다. 환자의 연령, 성별, 활동 능력, 병원의 검사 정도 관리, 담당 의사의 선호도에 따라 심근관류영상 대신 운동부하 검사나 부하 심초음파 검사를 시행하는 것도 고려할 수 있다. 조영제를 사용하는 관상동맥 CT 혈관조영술을 촬영하는 것도 고려할 수는 있으나 석회화가 심한 경우 정확한 평가가 어려울 수 있으며 병변의 기능적 유의성에 대한 정보를 얻기 어려운 단점이 있다. 400 미만이라 할지라도 칼슘의 분포나 환자의 동반 질환 혹은 위험인자에 따라 검사를 진행하는 경우도 많이 있다. 이렇게 시행한 추가검사에서 이상 소견이 발견된다면 순환기내과 혹은 심장내과 전문 의사를 찾아야 한다.
관상동맥 칼슘 수치가 높은 무증상 성인들에 대한 치료법에 대해서는 연구가 많이 없다. 다만 당뇨나 고혈압이 있다면 보다 적극적인 치료를 고려해야 하고, 금연이나 운동 등의 생활 양식 개선을 권고한다. 약 중에서 가장 고민되는 것이 콜레스테롤을 낮추어 주는 스타틴과 혈전이 생기는 것을 막아주는 아스피린이다. 확실한 결론을 내릴 수 있는 연구는 아직까지 진행되어 있지 않지만 스타틴이 소규모 무작위 연구나 일부 관찰 연구에서 관상동맥 칼슘수치가 상승돼 있는 환자들을 대상으로 보호 효과를 보여 주었기 때문에 실제 진료에서 흔히 처방되고 있다. 하지만 아스피린의 경우 이득이 있었다는 연구 결과가 거의 없고, 심혈관계 질환의 위험이 높지 않은 군에서는 허혈성 사건의 예방으로 인한 위험보다 출혈의 위험성이 더 크기 때문에 신중하게 복용 여부를 판단해야 한다.
환자들이 또 궁금하게 여기는 것이 칼슘 섭취가 관상동맥 칼슘수치에 어떤 영향을 미치는지 하는 문제다. 음식으로 칼슘을 충분히 섭취하는 것은 장기간에 걸쳐 동맥경화의 발생이나 진행의 위험을 낮출 수 있는 것으로 보고되고 있지만, 칼슘 보충제는 관상동맥의 석회화에 악영향을 미칠 수 있어 주의가 필요하다. 관상동맥 칼슘 수치를 측정할 때 고민거리는 측정을 반복할 것인지, 반복 한다면 얼마나 자주 할 것인지의 문제다. 45세 이상의 성인인 경우 관상동맥 칼슘이 해마다 10%~20% 정도 증가하는 것으로 알려져 있다. 또 관상동맥 칼슘수치가 1년에 15% 이상 증가하는 경우 심근경색 발생이 유의하게 증가하는 것으로 보고된다. 측정을 단기간에 반복하는 것은 일반적으로 권고되고 있지 않는다.
관상동맥 칼슘 CT는 심혈관계 위험을 평가하는 데 도움을 줄 수 있고, 위험도가 낮으면서도 짧은 시간 안에 시행할 수 있는 편리한 검사다. 하지만 이 결과를 맹신하거나 수치가 상승돼 있다고 지나치게 걱정할 필요는 없다. 고지혈증, 고혈압 등 동반 질환을 잘 관리하고 흡연자의 경우 금연하며 적절한 식이와 운동이라는 모범 답안으로 전체 혈관을 튼튼히 하는 것이 건강을 지키는 핵심이다.
Copyright © 서울경제. 무단전재 및 재배포 금지.
- '빵 먹게 해 미안해'…학교로 돌아온 조리원들의 ‘특별한 점심’
- 베트남서 1억개 넘게 팔렸다…제2의 초코파이 등극한 '안(An)'
- '진실 묻혀선 안돼' 김선호 지인 주장 네티즌, 폭로 예고 '파장'
- 식당 가는척 하더니 비밀통로로 '쓱'…은밀한 그곳의 실체
- 文대통령 '국산전투기 FA-50' 탑승에 탁현민 '심장 쫄깃했다'
- 신도시 신축 30평 vs 서울 30년 20평…수억 가른 '부부의 선택'
- '25톤 트럭과 충돌, 무사'…하준맘 탄 차, 박지윤 가족 지킨 '볼보 XC90'
- '제 2 전두환 될거냐' 질타에... 尹 “경선 끝나면 광주 달려가겠다”
- '생수병 미스테리' 결근하고 숨진 직원 집에서 독극물 발견…사전 검색도
- 퇴행성으로 착각하기 쉬운 류마티스 관절염, 젊은층도 안심 못해