[Pick] 1.5L 콜라 10분 만에 마셨다가 사망..의사도 놀란 CT 결과
전체 맥락을 이해하기 위해서는 본문 보기를 권장합니다.
중국에서 한 남성이 콜라 1.5L를 10분 만에 마신 뒤 사망한 사건이 국제 학술지에 소개돼 주목을 받고 있습니다.
현지 시간으로 지난 24일 영국 데일리메일 등 외신들은 중국 연구진이 국제 학술지 '간과 위장병학에서의 치료 및 연구'에 '콜라로 인한 간 팽창'이라는 제목으로 논문을 발표했다고 보도했습니다.
논문에 따르면 22살 중국 남성 A 씨는 더운 날씨에 갈증을 느껴 콜라 1.5L를 10분 만에 다 마셨습니다.
이 글자크기로 변경됩니다.
(예시) 가장 빠른 뉴스가 있고 다양한 정보, 쌍방향 소통이 숨쉬는 다음뉴스를 만나보세요. 다음뉴스는 국내외 주요이슈와 실시간 속보, 문화생활 및 다양한 분야의 뉴스를 입체적으로 전달하고 있습니다.

중국에서 한 남성이 콜라 1.5L를 10분 만에 마신 뒤 사망한 사건이 국제 학술지에 소개돼 주목을 받고 있습니다.
현지 시간으로 지난 24일 영국 데일리메일 등 외신들은 중국 연구진이 국제 학술지 '간과 위장병학에서의 치료 및 연구'에 '콜라로 인한 간 팽창'이라는 제목으로 논문을 발표했다고 보도했습니다.
논문에 따르면 22살 중국 남성 A 씨는 더운 날씨에 갈증을 느껴 콜라 1.5L를 10분 만에 다 마셨습니다. 이후 6시간이 지나자 그는 심한 복통과 함께 배가 부풀어오르는 증상을 겪었습니다.
평소 기저질환이 없던 A 씨는 곧장 베이징에 있는 차오양 병원을 찾아갔습니다. 검사 결과 A 씨의 심장 박동수는 급격히 상승한 반면, 혈압은 떨어지고 있었습니다.
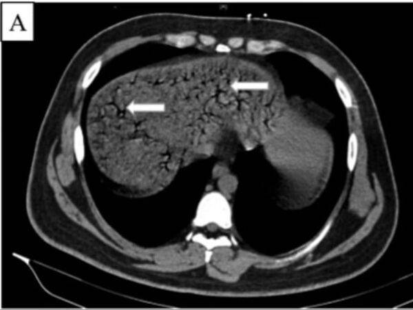
의료진은 컴퓨터 단층 촬영(CT)을 통해 A 씨의 장과 간문맥(장과 간 사이 혈관)에 가스가 비정상적으로 가득 차 있는 것을 확인했습니다.

그러나 A 씨의 간은 이미 심각한 손상을 입은 뒤였으며, 갈수록 상태는 악화했습니다. 결국 A 씨는 병원에서 치료를 받은 지 18시간 만에 숨졌습니다.
의료진은 A 씨가 많은 양의 콜라를 급하게 마신 것이 사망 원인이라고 판단했지만, 일각에서는 콜라보다 '박테리아 감염'이 사망 원인일 수 있다는 반론을 제기했습니다.
생화학자인 네이선 데이비스 영국 유니버시티 칼리지 런던 교수는 "1.5L 양의 콜라가 치명상을 입힐 가능성은 매우 낮다"며 "박테리아가 A 씨 장에 가스 주머니를 만들어 이 가스가 간문맥으로 들어갔을 것"이라고 주장했습니다.
다만 그는 "A 씨 사망 원인에 대해 확고한 결론을 내리려면 논문에서 제공된 것보다 더 많은 정보가 필요하다"고 덧붙였습니다.
🎧 아래 주소로 접속하시면 음성으로 기사를 들을 수 있습니다.
[ https://news.sbs.co.kr/d/?id=N1006479338 ]
(사진=Elsevier 홈페이지)
Copyright © Copyright ⓒ SBS. All rights reserved. 무단 전재, 재배포 및 AI학습 이용 금지
- 1억 받고 '빈 액자' 보낸 예술가…작품 제목이 '돈 갖고 튀기'
- “마술로 로또 1등 맞힌 뒤로…” 최현우가 밝힌 마술사의 애환
- 노엘, 전속계약 해지…아버지 장제원은 尹 캠프 사퇴
- 잘못 배송된 택배, 먹거나 사용하면 '형사처벌 대상'
- 헌혈 뒤 확진 334명…'코로나 피' 수혈 모르는 환자들
- 모자 하나 썼을 뿐인데 옷이 '뽀송'…미래형 우산 등장
- 안젤리나 졸리-위켄드 열애?…지난 6월 이어 또 목격
- “125명분이 25명에 투여”…타이완서 화이자 백신 접종 '황당 사고'
- 영종도서 피 흘리는 중고차 유튜버 발견…뇌 수술에도 중태
- “휴지통 비웠는데?” 폰에 남은 개인정보 지우려면