"뼈 손상 시기 다 달라"..분리 치료받자 '방긋'
<앵커>
태어난 지 석 달 된 아기가 온몸 곳곳에 뼈가 부러질 정도로 부모에게 학대를 받았다는 소식 어제(19일) 이 시간에 전해 드렸습니다. 당시 신고를 했었던 의사는, 아기의 뼈가 손상된 시기가 다 다르다며 오랜 시간에 걸쳐 학대가 이뤄졌을 가능성이 매우 크다고 말했습니다.
그때 아기 상태는 어땠는지, 또 지금은 건강이 어떤지, 정반석 기자가 취재했습니다.
<기자>
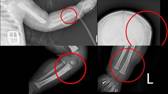
다급하게 병원에 도착한 생후 3개월 아기에게서는 무려 16가지 문제가 발견됐습니다.
머리뼈와 갈비뼈, 어깨뼈 등 모두 11곳에 골절이 있었고 뇌출혈까지 일어난 상태였습니다.
[배기수/아주대병원 소아청소년과 교수 : 이 정도면 전치 몇 주 정도가 아니라 죽을 뻔한 건데. 내원했을 당시에 보면 뭐 전신에 안 부러진 데가 거의 없고요.]
주치의는 뼈마다 부러진 시기가 다르고 심각한 영양실조로 볼 때 장기간 학대가 이뤄졌을 것으로 추정했습니다.

[배기수/아주대병원 소아청소년과 교수 : 간염 수치도 굉장히 높았거든요. 이런 거는 오래 굶어도 이렇게 돼요. 맞아도 이렇게 되고. 저혈당이 심했고 영양실조가 아주 심하게 있는 거죠. 아마 분리 안 했으면 100% 죽었을 거예요.]
그런데도 아기 엄마는 경찰 조사에서 '아이가 뼈가 잘 부러지는 특이체질'이라며 학대 사실을 강하게 부인했습니다.
결국 검찰이 유전자 검사까지 해 엄마의 주장이 거짓임을 밝혀냈는데, 의사는 최초 골절 상태만 봐도 알 수 있었다며 아쉬움을 나타냈습니다.
[배기수/아주대병원 소아청소년과 교수 : 선천성으로 뼈가 약해서 부러지고 그런 말을 들었는데 저는 소아정형외과 전문가고 이렇게 본 결과 그건 아니다. 뼈 자체의 질환은 없는 거다, 이렇게 판단이 됐습니다.]
한 달간 집중 치료를 받은 아이는 다행히 빠르게 회복했습니다.
[배기수/아주대병원 소아청소년과 교수 : 처음에는 사람이 만져도 쳐다보지도 않아요. 한 일주일 되니까 살짝 눈을 맞췄다 말다 하다가 한 달 돌보니까 아주 방긋방긋 웃고 아주 정이 들더라고요.]
19개월이 된 아이는 현재 양육시설에서 지내고 있고 건강 상태도 양호한 것으로 전해졌습니다.
이번 사건에 대해서도 적극적인 대응을 하지 않았다는 비판을 받고 있는 경찰은 뒤늦게 전국 경찰청에 아동학대 전담 수사팀을 만들고 아동학대 사건은 경찰서장이 직접 모든 과정을 지휘 감독하도록 했습니다.
(영상취재 : 양현철, 영상편집 : 하성원)
▶ 분리 조치했지만…'방임' 아빠 친권 주장하면
[ https://news.sbs.co.kr/news/endPage.do?news_id=N1006179167 ]
정반석 기자jbs@sbs.co.kr
Copyright © Copyright ⓒ SBS. All rights reserved. 무단 전재, 재배포 및 AI학습 이용 금지