혈장, '코로나19 치료' 대안될까.. 세브란스병원 환자 2명 완치

이번 완치자 혈장치료 경험으로 코로나19 중증환자 치료를 위한 혈장 기증자의 효율적 관리와 혈장 확보를 위한 시스템 구축의 필요성이 높아지고 있다.
7일 세브란스병원에 따르면 본원 최준용 감염내과 교수팀은 국내 처음으로 위중한 코로나19 환자 두 명을 대상으로 완치자의 혈장을 주입한 결과 증세가 호전됐다. 혈장치료를 받은 두 명 모두 완치됐으며, 그중 한 명은 퇴원했다. 이번 연구결과는 Journal of Korean Medical Science(대한의학회지) 최신호에 게재됐다.

━
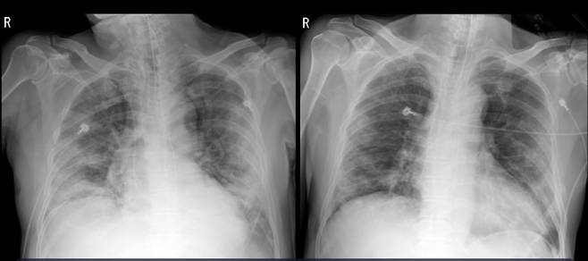
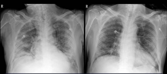
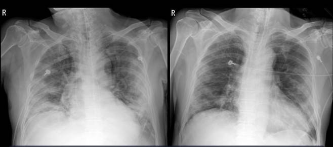
연구팀은 완치 판정을 받고 2주가 지난 남성의 회복기 혈장 500ml를 김씨에게 12시간 간격으로 두 번에 걸쳐 투여했고, 동시에 스테로이드 치료도 시작했다. 혈장치료와 스테로이드 치료를 받은 김씨의 경우 열이 떨어지고 CRP는 5.7mg/L로 정상범위로 떨어졌다. 흉부 X-ray 검사상 양쪽폐도 더 이상 나빠지지 않았다. 혈장을 투여받는 동안 특별한 부작용도 없었다. 현재 김씨는 인공호흡기를 제거했고, 코로나19 검사에서 음성 반응으로 완치 판정을 받았다.
━
면역결핍(림프구감소증)과 함께 CRP 역시 314 mg/L까지 상승했고, 심각한 호흡곤란 증세로 인공호흡기를 부착했다. 이씨에게도 말라리아 치료제와 에이즈 치료제를 투여했고, 산소 수치를 높이기 위해 몸을 뒤집는 치료를 시도했지만 림프구감소증과 고열이 지속됐다. 스테로이드 치료에도 불구하고 림프구감소증이 지속되고 바이러스 농도는 증가하고 있었다.
이씨의 경우 역시 완치자의 회복기 혈장을 12시간 간격으로 두 번에 걸쳐 투여했다. 혈장 투여와 스테로이드 치료를 시행한 후 림프구수가 회복되고 바이러스 농도가 감소했다. 흉부 X-ray 검사에서 폐의 침윤이 몰라보게 좋아졌으며, CRP 역시 정상 수준을 회복했다. 이씨는 이후 완치 판정을 받고 3월 말 퇴원했다.
━
최준용 교수는 “완치자가 항체를 가지는 기간이 있을 것인데 완치자들로부터 혈장을 충분히 확보하기 위해 혈장 기증자들을 효율적으로 관리하고 이를 바탕으로 혈장을 확보할 수 있는 시스템이 구축돼야 한다”며 “혈장 기증자를 모집하고 혈장을 확보해서 적절히 배분할 수 있는 컨트롤타워가 필요하다”고 강조했다.
회복기 혈장 속에 있는 중화 항체를 통해 바이러스 증식을 억제하는 것이 같이 들어가면 도움이 될 수 있으며, 이런 조합이 위중한 코로나19 환자에게 시도될 수 있다는 이유에서다.
최준용 교수는 “두 환자 모두 회복기 혈장 투여와 스테로이드 치료 후 염증 수치, 림프구수 등 각종 임상 수치가 좋아졌다”면서 “중증 폐렴을 치료하기 위해 바이러스 증식과 과도한 염증 반응을 모두 잡아야 하는데 스테로이드 치료는 염증 반응을 호전시키지만, 바이러스 증식에는 악영향을 미친다”고 설명했다.
☞심은하 근황, 남편 지상욱 유세장 등장… 미모 어디로?
☞혼밥 사진 올렸을 뿐인데… 난리난 BJ 꾸뿌의 셀카
☞"이혼했는데"… 송중기·송혜교 신혼집 왜 재건축?
☞이 장면을 직접?… 김희애 노출신, 대역없이 소화했다
☞'싱크로율 100%' 즐라탄·신현준 곧 만날 분위기?
☞‘코로나 시대’ 미국에서 한국인으로 살아남는 법
☞'강하늘 열애설' 뮤지컬 배우 이태은 누구?
☞'미스터트롯' 김호중, 결국 개별활동 나선다
☞최희 결혼발표… 4월말 일반인 사업가와 백년가약
☞'강타♥' 정유미, 물오른 미모… "연애하면 예뻐져"
한아름 기자 arhan@mt.co.kr
<저작권자 ⓒ '성공을 꿈꾸는 사람들의 경제 뉴스' 머니S, 무단전재 및 재배포 금지>
Copyright © 동행미디어 시대 & sidae.com, 무단 전재 및 재배포 금지