[명의에게 묻다] 나이 들어 심장이 '덜컹'..수술할까? 시술할까?
(서울=연합뉴스) 윤영원 강남세브란스병원 심장내과 교수, 김길원 기자 = #. 이모(84)씨는 10여 년 전 찾았던 의사로부터 대동맥 판막 기능이 좋지 않다는 말을 들었다. 하지만 증상이 심하지 않아 치료는 필요치 않다는 말에 지병인 당뇨병과 호흡기질환 치료에만 집중해왔다. 그런데 지난해부터 조금만 걸어도 가슴이 아프고 숨이 차오르기 시작했다. 다시 병원을 찾아 심장 초음파와 관상동맥 컴퓨터단층촬영(CT) 등의 정밀검사를 한 결과 중증 대동맥 판막 협착증 및 관상동맥 협착이 동반한 것으로 진단됐다. 심장에서 온몸으로 피가 보내질 때 심장과 연결된 대동맥의 대문이 석회화 등의 이유로 막힌 것이다. 이 상태가 계속되면 심장의 혈액이 대동맥 쪽으로 잘 나가지 못해 호흡곤란과 흉통, 어지럼증 등의 증상이 생기고 심하면 사망할 수 있다는 설명이었다. 이런 경우 수술하는 게 일반적이지만, 이씨는 가슴을 절개하는 개흉 수술을 받기에 너무 고령이었다. 또 당뇨병과 호흡기질환도 있어 수술의 위험이 매우 큰 상황이었다. 이에 이씨는 수술 대신 '관상동맥 스텐트 및 경피적 대동맥 판막 치환술'을 받았다. 그는 시술 3일 만에 퇴원한 이후 지금까지 특별한 문제 없이 일상생활을 하고 있다.
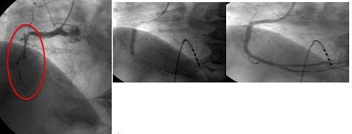
![(좌)심근경색 스텐트 시술 전 (가운데)스텐트 시술 (우)스텐트 시술 후 [강남세브란스병원 제공=연합뉴스]](https://img4.daumcdn.net/thumb/R658x0.q70/?fname=https://t1.daumcdn.net/news/201807/18/yonhap/20180718070021892jetl.jpg)
예전이라면 이씨와 같은 고령의 심혈관질환자는 위험을 무릅쓰고 수술을 받거나, 아니면 수술을 하지 않고 약물치료 등의 보존적 치료만 하는 수밖에 없었다. 보존적 치료만 시행할 경우 잔여 수명은 6개월에서 1년 정도를 넘기기 어려웠다.
그러나 최근에는 수술 외에 다른 대안이 하나 더 생겼다. 바로 가슴을 절개하지 않고 혈관을 통해 특수 기구를 넣어 치료하는 중재적 시술이다.
주로 혈관협착을 치료하기 위해 스텐트 삽입 및 풍선 확장술 위주로 시행되던 중재적 시술은 점차 적용 범위를 넓혀 이제는 인공 대동맥 판막을 이식하는 시술도 가능하게 됐다. 관상동맥 스텐트 및 경피적 대동맥 판막 치환술을 받고 건강을 되찾은 이씨가 대표적인 사례다. 경피적이란 말은 피부에 관을 넣어 목표물에 접근한다는 의미다. 피부를 절개하는 외과 수술과 달리 시술 후 큰 흉터가 없는 게 특징이다.
최근 2년간 우리나라에서는 이런 경피적 대동맥 판막 치환술이 17개 병원에서 576명에게 시술됐다. 시술 후 1년 이상 생존한 환자는 91.1%로 치료성적이 좋은 편이다. 중재적 시술의 발전으로 고령이거나 다른 질환이 동반돼 수술의 위험이 큰 경우에도 시술만으로 생명을 구할 수 있게 된 것이다.
![인공 대동맥 판막(좌)을 이용한 경피적 대동맥 판막 삽입술(우) [강남세브란스병원 제공=연합뉴스]](https://img1.daumcdn.net/thumb/R658x0.q70/?fname=https://t1.daumcdn.net/news/201807/18/yonhap/20180718070021999dluh.jpg)
혈관 스텐트 시술은 약물이 방출되는 스텐트를 이용해 시술 후 재발을 막는 치료가 보편화 돼 있다. 시술 방법 또한 기존의 사타구니 대퇴동맥을 이용하는 것보다 환자가 더 편히 시술받을 수 있도록 손목의 요골동맥을 이용해 많이 시행된다.
예전에는 혈관의 석회화나 협착이 너무 심해 완전 폐색 상태가 되면 시술이 불가능했지만 최근에는 다이아몬드 드릴을 이용해 혈관의 석회를 갈아내고 시술하거나 완전히 막힌 혈관을 특수 와이어를 이용해 뚫는 시술의 성공률이 높아지고 있다. 50% 미만이던 완전 폐색 혈관 시술의 성공률이 최근에는 80% 이상으로 높아지면서 스텐트 시술의 적용 범위가 크게 확장됐다.
스텐트의 재질 또한 많이 발전했다.
예전의 금속 스텐트는 영구적으로 혈관 속에 남게 되지만 최근에는 시간이 지나면 녹아서 흡수되는 스텐트도 개발돼 사용 중이다. 물론 아직은 더 적합하고 안전한 스텐트 재료의 개발이 필요하지만, 마그네슘 합금을 이용한 녹는 스텐트 등 최근 다양한 연구개발이 진행되고 있어 앞으로 몇 년 안에 많은 발전이 있을 전망이다.
관상동맥 질환 외에도 판막이 좋지 않거나 심방중격결손, 심실중격결손과 같은 구조적 심장질환도 경피적 중재적 시술이 수술을 많이 대신하고 있다.
판막질환의 치료에서는 앞서 언급한 대동맥 판막 외에 승모판막 질환도 경피적인 치료법이 개발돼 사용되기 시작했고, 심방중격결손, 심실중격결손, 동맥관 개존증 등의 선천성 심장질환은 형상기억합금인 니티놀을 이용한 기구를 경피적으로 삽입해 수술하지 않고 치료한다. 물론 모든 환자를 시술할 수 있는 것은 아니고 심장질환의 구조가 시술에 적합해야 한다.
![심방중격결손(빨간 원) 부위에 대한 경피적 중재 시술 [강남세브란스병원 제공=연합뉴스]](https://img3.daumcdn.net/thumb/R658x0.q70/?fname=https://t1.daumcdn.net/news/201807/18/yonhap/20180718070022110wbda.jpg)
아직도 심장질환의 치료는 가슴을 여는 수술이 필요한 경우가 많다. 하지만 최근의 심장질환 치료 방향은 가급적이면 상처 부위를 최소화하고 회복이 빠른 방법을 선호한다.
이 때문에 전에는 수술해야 했던 질환 중 일부는 수술하지 않고 치료가 가능해졌다. 또 새로운 중재적 시술법이 계속 연구, 개발되고 있다.
그러나 수술이나 시술 모두 치료 후 적절한 약물치료와 생활습관 관리가 지속돼야 심혈관 건강을 계속 유지할 수 있다. 평소 주기적인 유산소 운동과 체중 관리를 하면서 고지방식을 피하고 신선한 채소와 과일을 섭취하는 게 좋다. 또 혈압 및 혈당 관리를 비롯해 정기적으로 전문의를 찾아 건강 상태를 점검받는 것을 권한다.
![윤영원 강남세브란스병원 심장내과 교수 [강남세브란스병원 제공=연합뉴스]](https://img2.daumcdn.net/thumb/R658x0.q70/?fname=https://t1.daumcdn.net/news/201807/18/yonhap/20180718070022248ytpm.jpg)
◇ 윤영원 교수는 연세의대를 졸업하고 동 대학원에서 석박사 학위를 취득했다. 미국 샌디에이고 캘리포니아대학교(UCSD)에서 방문 교수로 연수했다. 현재 연세대학교 강남세브란스병원 심장내과 교수 및 통합내과장으로 재임 중이다. 대외적으로는 대한심장학회, 중재시술학회, 대한고혈압학회, 임상노인의학회 등에서 활동하고 있다.
bio@yna.co.kr
- ☞ 20대 독거남 방문 열어보니…넉달 만에 백골 상태
- ☞ '한국말 쓴다고 해고당해' 델타항공 한인직원들
- ☞ 벌떼 수만마리에 200군데 넘게 쏘인 여성 중태
- ☞ '150조 금괴 소문' 러시아 침몰선 울릉 앞바다서 발견
- ☞ 52시간 근무하려면 근면성공 신화부터 깨라
▶연합뉴스 앱 지금 바로 다운받기~
<저작권자(c) 연합뉴스, 무단 전재-재배포 금지>
Copyright © 연합뉴스. 무단전재 -재배포, AI 학습 및 활용 금지
- '신격호 장녀' 신영자 롯데재단 의장 별세…향년 85세(종합2보) | 연합뉴스
- 브라질 영부인 "피아노 치시나" 金여사 "남편 정치 여정에 기회 없어" | 연합뉴스
- 산불조심 기간에 '음주운전' 청장 공석사태…산림청 내부 '당혹' | 연합뉴스
- 고객 금 3천돈 챙겨 달아난 금은방 주인, 경찰에 자진출석 | 연합뉴스
- 美1심법원, 테슬라 '자율주행' 사망사고 배상액 3천500억원 확정 | 연합뉴스
- 엡스타인 의혹에 왕자칭호 뺏긴 앤드루, 왕위계승권도 박탈위기 | 연합뉴스
- [샷!] "우리가 손흥민 팬이었지 토트넘 팬이었냐" | 연합뉴스
- 똑같은 사기인데…경찰 7년 전엔 유죄, 지금은 무혐의? | 연합뉴스
- "접근금지 처분도 무시"…흉기 들고 스토킹한 20대 체포 | 연합뉴스
- 개 훈련시켜 쓰레기 투기…이탈리아서 '기발한 범행' 덜미 | 연합뉴스