
"요즘 이유 없이 몸이 무겁고 여기저기 아플 때가 많으신가요?"
염증은 감기처럼 바로 확 드러나는 증상과는 다르게, 천천히 몸 곳곳에서 다양한 신호를 보냅니다. 알아차리지 못하면 만성 피로부터 큰 질병까지 이어질 수 있어 평소 내 몸이 보내는 작은 SOS 신호를 반드시 눈여겨봐야 합니다.

염증이 가득 찼다는 대표적인 신호들
1. 이유 없는 만성 피로와 무력감
밤에 푹 자도 피곤이 풀리지 않고, 몸에 힘이 쭉 빠진다면 만성 염증의 신호일 수 있습니다. 활동량이 줄고, 특별한 원인 없이 항상 처지는 듯한 느낌도 대표적입니다.
2. 여기가 찌뿌듯, 저기가 통증… 원인 모를 전신 통증
특정 부위가 아닌, 여기저기 몸이 아프고 결리는 증상도 자주 나타납니다. 명확하게 ‘어디가 아프다’기보다는 몸 전체가 무겁고, 결린 느낌(등, 허리, 어깨, 근육통 등)이 반복된다면 의심해보세요.

3. 잦은 두통, 복부 불편감, 소화불량
설명하기 어려운 두통이나 소화장애, 복부팽만(더부룩함) 등도 전신 염증과 연관 있을 수 있습니다.
4. 손발 붓거나 부종, 몸이 잘 붓는 경우
몸 전체 혹은 특정 부위(특히 눈 밑·손발)가 붓고, 자고 일어나면 부기가 심해져 있다면 체내 수분 대사가 원활하지 못한 염증 신호일 수 있습니다.

5. 미열이나 열감, 하지만 손발은 차가움
특별히 열이 나지 않는데도 미열(37.5도 미만)이 반복되거나, 몸은 더운데 손·발은 시린 느낌은 만성 염증의 대표적 증상입니다.
6. 피부 트러블·건조·뾰루지 등 갑작스런 피부 변화
피부가 거칠어지거나 트고, 건조하거나 갑자기 뾰루지가 많이 생기면 피부장벽이 망가진 염증 신호일 수 있습니다. 눈 밑 부종, 늘어진 피부, 멍 등이 함께 나타나기도 합니다.

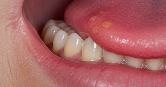
7. 입안·잇몸 트러블, 입냄새/구내염/잇몸 붓기
특별한 이유 없이 잇몸이 붓고 피나거나, 입안 염증(구내염)이 자주 생길 때도 체내 염증 의심이 필요합니다.
8. 체중 변화와 식욕 감소, 지속적 피로
체중이 별다른 이유 없이 줄거나, 식욕 없이 기운이 없는 날이 반복될 때도 주의하세요.

왜 꼭 알아둬야 할까?
이런 신호들이 한두 개 반복되면 스트레스, 과로 탓으로 치부하기 쉽지만, 장기간 이어지면 만성 염증 → 고혈압, 당뇨, 비만, 심혈관질환, 암 등 만성질환 위험이 대폭 증가합니다.
자주 반복되는 위 증상 중 2~3개 이상 해당한다면, 병원에서 혈액검사(CRP, ESR 등 염증 마커)로 확인해 보기를 권합니다.
내 몸이 보내는 염증 신호, 절대 무시하지 마세요! 증상이 자주 반복된다면 생활습관 개선과 전문의 진단이 건강을 지키는 첫걸음입니다.
Copyright © 반딧불