- 2025 유럽 비만 회의 발표, 청소년 뇌 영역별 부피 비교
- 뇌 크기가 정상범위보다 클 때 우려할 수 있는 요소들

스페인 말라가에서 진행 중인 ‘2025 유럽 비만 회의(ECO 2025)’에서, 비만 청소년의 주요 뇌 영역 일부가 정상보다 더 클 수 있다는 연구 결과가 나왔다. 뇌 크기와 건강 문제가 어떤 관련이 있을지에 대한 내용을 살펴본다.
비만과 뇌 인지 발달 연구
미국 텍사스 대학 산하 휴스턴 공중보건대학 연구팀은 미국의 어린이 및 청소년 약 3천3백 명을 대상으로 한 연구를 진행했다. 대주제는 비만과 뇌 발달로, 비만으로 인한 뇌 크기와 건강 문제가 있는지, 비만이 뇌 구조 및 인지 기능에 어떤 영향을 미치는지를 알아보고자 했다.
연구팀은 2015년부터 실시했던 ‘청소년 뇌 인지 발달(ABCD) 연구’에 참여했던 어린이들 중 연구 대상자들을 선정했다. 미국 내 17개 주의 도시 지역에 거주하는 어린이들로 선정됐으며, 지난 2016년부터 2018년까지 추적 관찰됐다. 연구 당시 시점을 기준으로 참가자들의 평균 연령은 9.9세였고, 남녀 성비는 비슷했다.
선정된 참가자들은 비만 상태를 기준으로 1차 분류를 거친 다음, 허리둘레를 측정해 복부 비만도에 따라 2차 분류를 진행했다. 추적 관찰을 시작하는 시점에 전체 대상자 중 복부 비만으로 분류된 인원은 약 34.6%로, 대략 3분의 1에 해당했다.
복부 비만 있으면 일부 뇌 영역 더 커
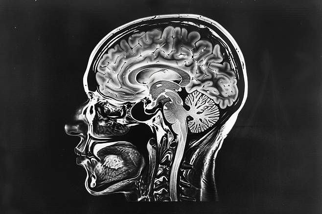
연구팀은 ‘구조적 자기공명영상(Structural MRI)’을 활용해, 참가자들의 편도체, 해마, 꼬리핵, 측핵, 창백핵, 피질핵, 시상 등 뇌의 다양한 영역별 부피를 측정했다. 구조적 MRI는 뇌의 활동을 측정하는 기능적 MRI(fMRI)와 달리, 뇌의 해부학적 구조를 상세하게 보여주기 위한 촬영 방식이다.
측정 결과, 복부 비만이 있는 어린이·청소년들의 뇌 영역 중 일부가 상대적으로 더 크게 나타났다. 차이가 두드러진 영역은 해마와 편도체였다. 해마는 기억과 학습에 주로 관여하는 영역이며, 편도체는 각종 감정을 조절하는 영역으로 알려져 있다.
연구팀이 분석한 바에 따르면 복부 비만이 있는 참가자의 해마는 약 6.6% 더 컸고, 편도체는 약 4.3% 더 컸다. 특히 편도체의 경우, 복부 비만 정도가 심한 청소년의 경우 한층 더 컸다. 연구팀은 과도한 체지방이 뇌의 감정 처리 방식에 영향을 미칠 수 있다는 우려를 제기했다.
한편, 연구팀의 연구 결과에 따르면 오감을 통한 감각 정보를 전달하는 시상, 그리고 움직임을 제어하는 데 관여하는 꼬리핵 역시 비만인 어린이·청소년들에게서 약간 더 크게 나타났다.

뇌 크기와 건강 문제
단순하게 생각해봤을 때, 뇌 크기가 큰 것이 왜 문제가 되는지 의아할 수 있다. 실제로 뇌 크기와 건강 문제에 대해서는 무엇이든 단정적으로 말하기 어렵다. 그만큼 복잡한 요소라는 뜻이다. 특정 뇌 영역이 정상 범위보다 크다고 해서, 반드시 어떤 건강상 문제로 이어진다고 볼 수는 없다.
다만, 뇌 크기와 건강 문제를 연관지을 수 있는 기존 발표 및 연구 사례들이 있다. 편도체의 경우, 편도체 부피가 정상 범위보다 크거나 작을 경우, 특정 감정 반응이 비정상적으로 나타날 수 있다는 가능성을 제기한 바 있다. 또, 특정 영역의 신경세포 수나 시냅스가 비정상적으로 많을 경우, 해당 기능이 과도하게 활성화되거나 비효율적으로 작동할 가능성도 있다.
명확하게 확인된 것은 아니지만, 연구팀은 이러한 기존 결과들을 바탕으로 “비만이 청소년의 학습 능력, 기억력, 감정 조절 능력을 저해할 수 있다”라는 결론을 내렸다. 구체적인 해로움을 입증하기까지는 추가 연구가 필요하겠지만, 비만으로 인해 뇌의 특정 영역 부피가 더 커질 수 있다는 점은 확인됐기 때문에 어떤 식으로든 영향이 있을 것으로 볼 수 있다.
한편, 비만 여부와 별개로 연구팀은 지역별 사회경제적 여건에 따라서도 뇌 영역 발달에 차이가 나타났다는 점을 지적했다. 사회경제적으로 열악한 지역의 어린이·청소년들은 해마, 편도체 등 주요 영역의 뇌 발달이 상대적으로 덜한 경향이 있다는 것이다.

Copyright © 본 콘텐츠는 카카오 운영지침을 준수하며, 저작권법에 따른 보호를 받습니다.